Artykuły w wolnym dostępie
Błędy diagnostyczne oraz techniczne w leczeniu…
Aneta Neskoromna, Aneta Mamos, Dawid Zagaki
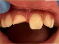
Technika Injection Flowable i technika stempla. Odbudowa…
REPORTAŻ KLINICZNY
Michał Jaczewski
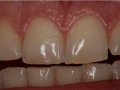
Bezpośrednia licówka kompozytowa w odcinku przednim wykonana…
Prof. dr hab. Jürgen Manhart
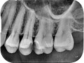
Augmentacja boczna wąskich wyrostków zębodołowych z…
Damian Dudek, Maciej Jagielak, Aldona Chloupek, Oliwia Warmusz, Edyta Reichman-Warmusz
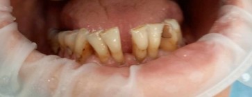
Jednostronne podniesienie zgryzu z zastosowaniem mostu…
Florian Zwiener
Zmodyfikowana technika ściany z tkanek miękkich (soft tissue…
Agnieszka Droździk
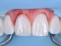
Rekonstrukcja protetyczna utraconej estetyki uśmiechu
Bassem Jaidane
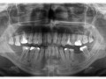
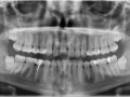
Rozległa torbiel zawiązkowa żuchwy
Paulina Adamska, Maria Mikołajska, Anna Janowska, Anna Starzyńska
Flowable Injection Technique – kompozytowa alternatywa dla…
Michał Jaczewski
Odbudowa zębów po leczeniu kanałowym (...)
Katarzyna Olczak
Magazyn Stomatologiczny nr 4/2026
Temat numeru: Nowoczesna odbudowa: regeneracja, funkcja, estetyka
W numerze:
- OPIS PRZYPADKU. Typowe powikłania w mikrochirurgii endodontycznej- ponowne leczenie z zastosowaniem dwufazowego siarczanu wapnia
- OPIS PRZYPADKU. Fotobiomodulacja a osteogeneza - na podstawie autotransplantacji trzeciego zęba trzonowego
- SPECJALISTA RADZI. „Zdjęcie przylegające” i „aparat punktowy” – czy te określenia są poprawne?
- Magazyn Stomatologiczny 3/2026
- Magazyn Stomatologiczny 2/2026
- Magazyn Stomatologiczny e-1/2026
- Magazyn Stomatologiczny e-12/2025
- Magazyn Stomatologiczny 11/2025
Magazyn Stomatologiczny 3/2026
TEMAT NUMERU: Między technologią a doświadczeniem – narzędzia i metody
cena: 48.00PLN
Magazyn Stomatologiczny 2/2026
TEMAT NUMERU: Od planu do rehabilitacji – współczesne podejście do protetyki
cena: 48.00PLN
Magazyn Stomatologiczny e-1/2026
TEMAT NUMERU: Aspekty kliniczne i terapeutyczne – laseroterapia
cena: 48.00PLN
Magazyn Stomatologiczny e-12/2025
TEMAT NUMERU: Odbudowa zębów leczonych endodontycznie
cena: 48.00PLN
Magazyn Stomatologiczny 11/2025
TEMAT NUMERU: Urazy i złamania – wyzwania stomatologii
cena: 48.00PLN


