Zastosowanie kompozytów w bezpośredniej odbudowie zębów przednich po urazie
Streszczenie
Opisano przypadek młodego pacjenta, który doznał urazu zębów przednich w wyniku wypadku komunikacyjnego. Uszkodzenia obejmowały rozległe złamania górnych siekaczy, wymagające rekonstrukcji w celu przywrócenia estetyki i funkcji. Wykonano minimalnie inwazyjne bezpośrednie odbudowy kompozytowe, wykonane zgodnie z zasadami anatomicznej techniki warstwowej, naśladując naturalne właściwości optyczne zębów. Wizyta kontrolna po kilku miesiącach potwierdziła estetyczną integrację odbudowy, przy minimalnej ingerencji w zdrowe tkanki.
Abstract
A case of a young patient who sustained trauma to the anterior teeth following a traffic accident is described. The injuries involved extensive fractures of the upper incisors, requiring reconstruction to restore aesthetics and function. Minimally invasive direct composite restorations were performed using the anatomical layering technique, imitating the natural optical properties of the teeth. A follow-up visit after several months confirmed the aesthetic integration of the restorations with minimal intervention in healthy tooth tissues.
Słowa kluczowe: bezpośrednia odbudowa kompozytowa, żywice kompozytowe, urazy zębów
Keywords: Direct composite restoration; Composite resins; Tooth Injuries
Wstęp
Urazy zębów przednich u osób dorosłych związane są przeważnie z uprawianiem sportu lub wypadkami komunikacyjnymi. Zębami najczęściej dotkniętymi urazami są górne siekacze, co rodzi poważne problemy związane zarówno z estetyką jak i z funkcją narządu żucia.(1)
Skomplikowana optyka okolicy brzegów siecznych, bogactwo struktury powierzchni zębów oraz wysokie wymagania estetyczne pacjentów sprawiają, że planowanie i wykonywanie bezpośrednich rekonstrukcji w odcinku przednim wciąż stanowi duże wyzwanie w naszej codziennej praktyce.
Mimo tych trudności, odbudowa kompozytowa jest jedną z najczęściej stosowanych metod leczenia ubytków pourazowych w zębach przednich, głównie ze względu na swoją minimalną inwazyjność oraz możliwość łatwej ponownej interwencji w przypadku wystąpienia powikłań, ze strony miazgi.(2)
Opis zastanej sytuacji
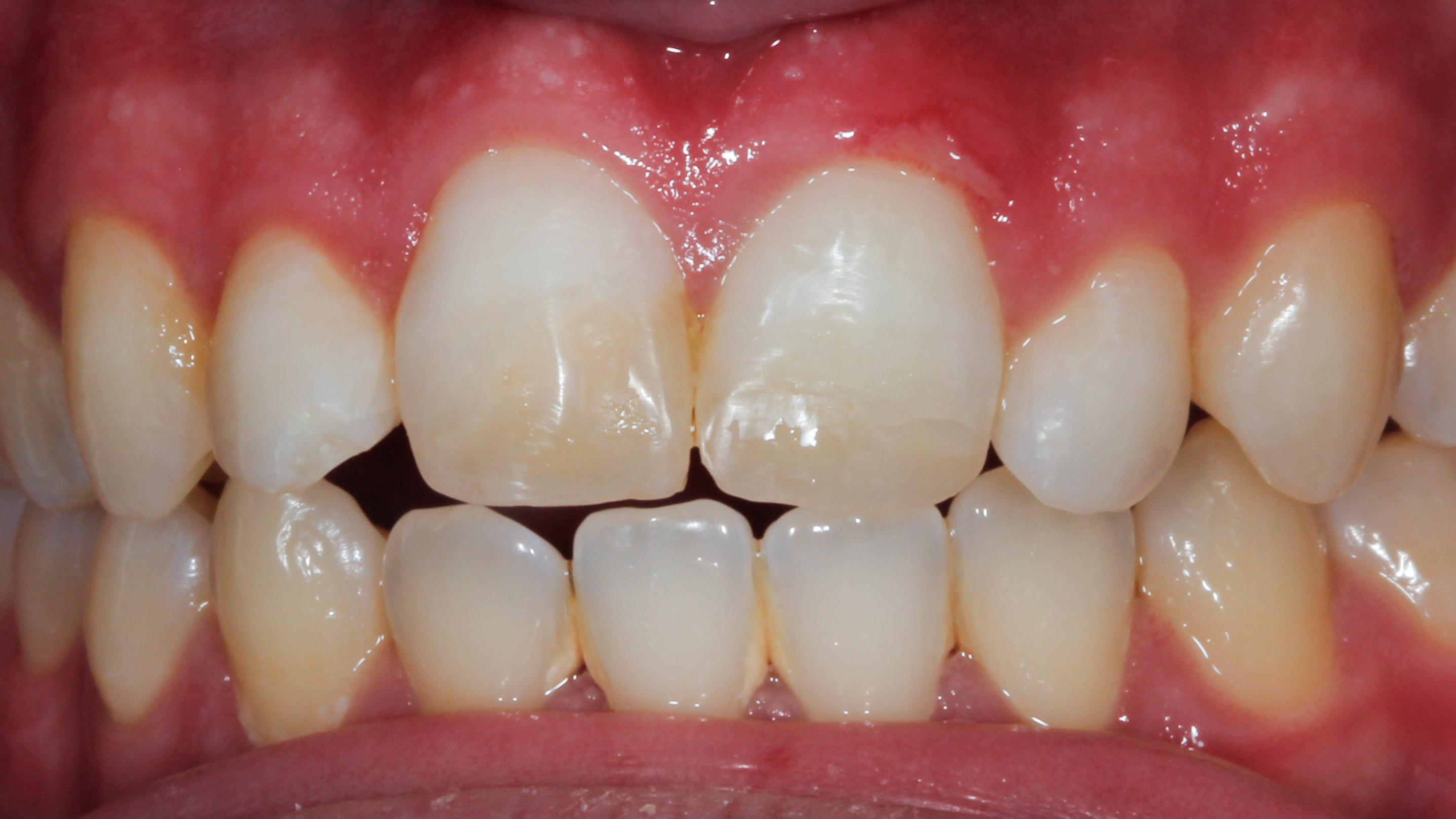
Pacjent (25 l.) zgłosił się do gabinetu kilka godzin po urazie zębów przednich powstałym na skutek upadku na twarz w trakcie jazdy elektryczną hulajnogą. Pacjent zgłaszał ból w okolicy ust wynikający z urazów tkanek miękkich, a oraz znaczną tkliwość zębów 11 i 21.
Diagnostyka
W badaniu widoczne było złamanie zębów 11 i 21 w obrębie szkliwa i zębiny bez obnażenia miazgi oraz złamanie w obrębie szkliwa zębów 12 i 22 (ryc. 1 i 2).


Zęby 11 i 21 nie reagowały na zimno, były bolesne opukowo i przy dotyku, ale nie wykazywały zwiększonej ruchomości. Zęby 12 i 22 nie wykazały odchyleń od normy przy opukiwaniu, reakcji na zimno ani w zakresie ruchomości. Pacjent podawał brak kontaktów zgryzowych na zębach przednich przed urazem i jego zdaniem nie uległy one zauważalnemu przemieszczeniu na skutek urazu.
Plan leczenia
Z racji na rozległość urazu podjęto decyzję o tymczasowej, doraźnej odbudowie zębów 11 i 21 kompozytem celem zabezpieczenia odsłoniętej powierzchni zębiny (ryc. 3).

Stan miazgi oraz ruchomość zębów były monitorowane na wizytach kontrolnych. Po 6 tygodniach od urazu przeprowadzone zostało leczenie kanałowe zęba 11 z powodu rozwoju stanu zapalnego przyzębia wierzchołkowego. Po zakończonym leczeniu kanałowym zaplanowano docelowe bezpośrednie odbudowy kompozytowe zębów 12-22.
W pierwszej kolejności dobrano kolor materiałów kompozytowych techniką „buton-check”. (ryc. 4)

Warto zaznaczyć, że należy wykonywać to na początku wizyty zanim zęby pacjenta ulegną dehydratacji i zmienią swoje parametry optyczne.(3)
Tymczasowe odbudowy posłużyły do wykonania indeksu silikonowego wewnątrzustnie z materiału Zeta Labor (Zhermack), przy pomocy którego będą odtwarzane ściany podniebiennej zębów 11 i 21. Indeks został następnie przycięty, tak aby silikon nie przykrywał powierzchni wargowej odbudowywanych zębów. (ryc. 5).

Okolice brzegów siecznych na indeksie zostały zmodyfikowane przy użyciu wiertła na turbinę z ostrzami z węglików spiekanych – usuwając część silikonu wiertłem, można łatwo dostosować kontur brzegów siecznych przyszłej odbudowy.
Po znieczuleniu miejscowym i izolacji pola zabiegowego koferdamem usunięto tymczasowe odbudowy zębów 11 i 21 z pozostawieniem kompozytu przykrywającego zębinę w najgłębszej części złamania. Na granicy złamania zębów 12-22 wykonano zukośnienie przy pomocy wiertła na turbinę w kształcie walca z czerwonym nasypem. Wszystkie krawędzie preparacji wygładzono przy użyciu krążka ściernego Soflex (3M ESPE) oraz brązowej mocno abrazyjnej gumki Epispol Braun (NTI). Ostatnim etapem przygotowania powierzchni przed odbudową było piaskowanie preparacji cząsteczkami tlenku glinu o rozmiarze 29 µm piaskarką Aquacare Twin (Velopex). (ryc. 6)

Po zakończonej preparacji przymierzono indeks silikonowy celem oceny jego pasywnego przylegania do zębów. (ryc. 7)

Protokół adhezyjny obejmował selektywne wytrawienie powierzchni szkliwa 36% kwasem ortofosforowym oraz aplikację uniwersalnego systemu wiążącego Scotchbond Universal Plus (3M ESPE) na obszarze nieznacznie wykraczającym poza zakres preparacji, aby zagwarantować pewną adhezję na krawędziach przyszłej odbudowy.
Odbudowy wykonano zgodnie z założeniami anatomicznej techniki warstwowej.(4) Z pomocą indeksu silikonowego odbudowano ścianę podniebienną materiałem szkliwnym Enamel Biofunction BF3 (Micerium) odtwarzając prawidłowy kontur zęba, następnie na matrycach sekcyjnych tym samym kompozytem odbudowano ściany styczne tworząc ramę dla dalszej odbudowy. (ryc, 8)

W następnej kolejności odtworzono zrąb zębinowy przy użyciu dwóch odcieni: bardziej nasyconego Enamel HRi UD2 (Micerium) w głębszej części ubytku i przykrywającego go, nieznacznie jaśniejszego Enamel HRi UD1 (Micerium) celem odtworzenia naturalnej zmiany nasycenia zębiny. Okolicę brzegu siecznego podkreślono z użyciem wysoce przeziernego materiału Enamel HRi OBN (Micerium). Ostatnim etapem odbudowy było wymodelowanie pow. wargowej, aplikując materiał szkliwny Enamel Biofunction BF3 (Micerium) w jednej porcji i modelując go z wykorzystaniem pędzelków zwilżonych żywicą Ena Seal (Micerium).(5) Następnie odbudowano z „wolnej ręki” ukruszone kąty zębów 12 i 22 materiałami UD1 i BF3. (ryc. 9)

Po zakończonej polimeryzacji kompozytu przystąpiono do opracowania odbudów z uwzględnieniem mikro- i makro- struktury powierzchni oraz polerowania z użyciem past diamentowych Ena Shiny A, B i pasty z tlenku glinu Ena Shiny C (Micerium). (ryc. 10)

Ocena estetycznej integracji odbudów zębów przednich pod koniec wizyty jest zawsze utrudniona ze względu na dehydratację zębów, co wpływa na ich właściwości optyczne. Finalna ocena koloru jest możliwa dopiero na następnej wizycie po kilku dniach. (ryc. 11)

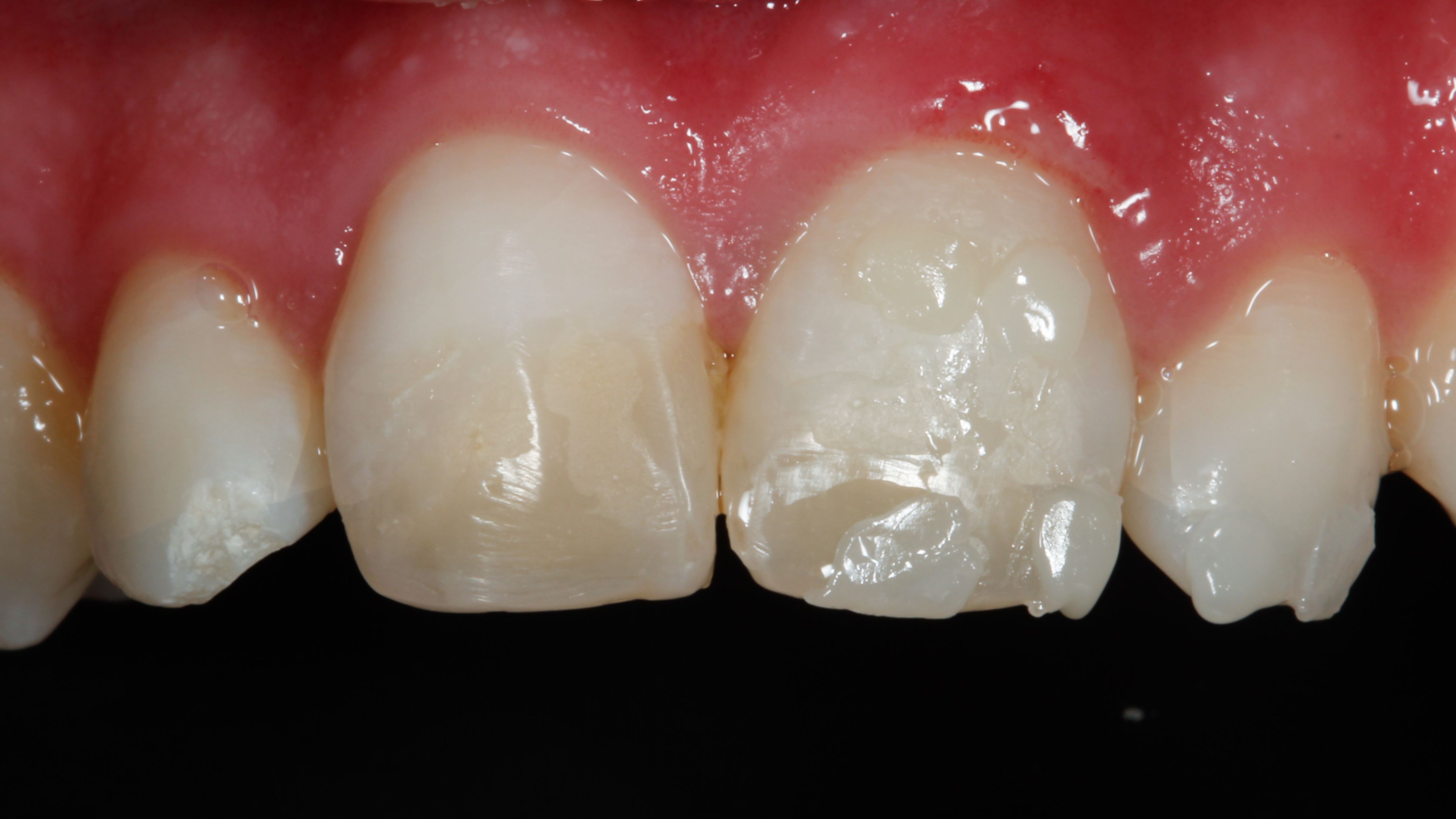
Na wizycie kontrolnej po 4 miesiącach od urazu zęby 11,12 i 22 prawidłowo reagowały na zimno. Odbudowy kompozytowe wykazały zadowalającą integrację estetyczną. (ryc. 12)

Podsumowanie

Autor:
Juliusz Kosewski, Zakład Stomatologii Zachowawczej WUM
Piśmiennictwo:
- Lam R: Epidemiology and outcomes of traumatic dental injuries: A review of the literature. Aust Dent J 2016;61 Suppl 1:4-20.
- Oliveira GM, Ritter AV: Composite resin restorations of permanent incisors with crown fractures. Pediatr Dent 2009;31(2):102-109
- Suliman S, Sulaiman TA, Olafsson VG, et al.: Effect of time on tooth dehydration and rehydration. J Esthet Restor Dent 2019;31(2):118-123.
- Vanini L: Conservative composite restorations that mimic nature. The journal of cosmetic dentistry 2010;26(3):80.
- Kosewski J, Kosewski P, Mielczarek A: Influence of instrument lubrication on properties of dental composites. Eur J Dent 2022;16(4):719-728.