REPORTAŻ KLINICZNY
Jednostronne podniesienie zgryzu z zastosowaniem mostu cyrkonowego i nakładu onlay z dwukrzemianu litu
Do wykonania mostu wykorzystano KATANA™ Zirconia Block for Bridge
Unilateral bite elevation with azirconia bridge and alithium disilicate onlay With KATANA™ Zirconia Block for Bridge
Florian Zwiener
Materiały pochodzą z wewnętrznych zasobów firmy Kuraray Noritake.
Do kliniki zgłosiła się 85-letnia pacjentka po osteosyntezie wieloodłamowego złamania żuchwy, którego doznała podczas upadku. W trakcie gojenia doszło do masywnej dyskluzji w lewym, tylnym obszarze żuchwy (zęby 34 do 37; notyfikacja FDI). Pacjentka chciała odzyskać prawidłową funkcję żucia w tym obszarze. Po leczeniu endodontycznym dwóch zwichniętych zębów siecznych centralnych, które zostały replantowane w szpitalu, oraz leczeniu periodontologicznym, zaplanowano podniesienie zgryzu po lewej stronie.
Plan leczenia polegał na odbudowie zębów i podniesieniu zgryzu za pomocą trzech nakładów i korony wykonanej z dwukrzemianu litu (IPS e.max CAD, Ivoclar Vivadent). Podczas preparacji zęba wykryto jednak podłużne pęknięcie korzenia w pierwszym zębie trzonowym. Dlatego w trakcie tej sesji leczenia odbudowano tylko pierwszy ząb przedtrzonowy. W tym celu wykonano nakład onlay z dwukrzemianu litu (z wykorzystaniem systemu CEREC, Dentsply Sirona) i osadzono go za pomocą cementu PANAVIA™ V5 (Kuraray Noritake Dental™ Inc.). Pierwszy ząb trzonowy został usunięty. Tydzień później zębodół po ekstrakcji, który wciąż się goił, został wymodelowany z użyciem pętli pod owalne przęsło mostu. Drugi ząb przedtrzonowy i trzonowy zostały przygotowane jako zęby filarowe dla mostu. Most został następnie wyfrezowany z bloczka cyrkonowego KATANA™ Zirconia Block for Bridge w odcieniu A3.5 i zindywidualizowany za pomocą płynnej ceramiki CERABIEN™ ZR FC Paste Stain (Kuraray Noritake Dental Inc.). Po kolejnym tygodniu most osadzono przy użyciu samoadhezyjnego cementu PANAVIA™ SA Cement Universal (Kuraray Noritake Dental Inc.), przygotowując uprzednio powierzchnię dopreparacyjną uzupełnienia poprzez jej piaskowanie.
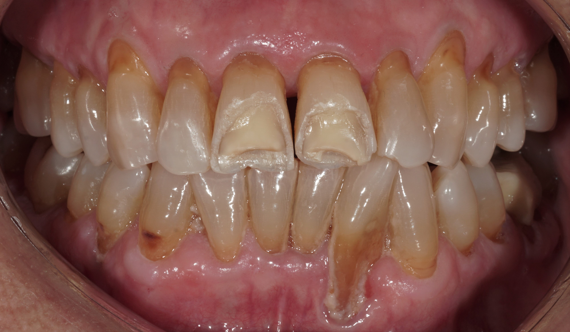
Ryc. 1. Stan przed leczeniem po złożonym złamaniu żuchwy – dyskluzja po lewej stronie. 
Ryc. 2. Stan kliniczny podczas pierwszej wizyty wgabinecie stomatologicznym. 
Ryc. 3. Zgryz otwarty w lewym, tylnym obszarze żuchwy.
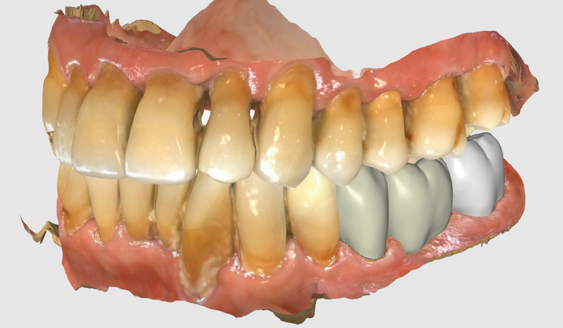
Ryc. 4. Projekt mostu... 
Ryc. 5. ...widok powierzchni żującej w oprogramowaniu CEREC. 
Ryc. 6. Ze względu na jasny odcień zębów w okolicy guzków, uzupełnienie na etapie projektu zostało umieszczone dość wysoko w wielowarstwowym bloczku z tlenku cyrkonu KATANATM.
Ryc. 7. Teksturowanie powierzchni w tzw. „green-stage” (przed ostateczną procedurą synteryzacji). 
Ryc. 8. Most po 7-godzinnym cyklu synteryzacji. 
Ryc. 9. Wygląd mostu po indywidualizacji za pomocą płynnej ceramiki CERABIEN™ ZR FC Paste Stain...
Ryc. 10. ... oraz po dwóch wypaleniach glazury. 
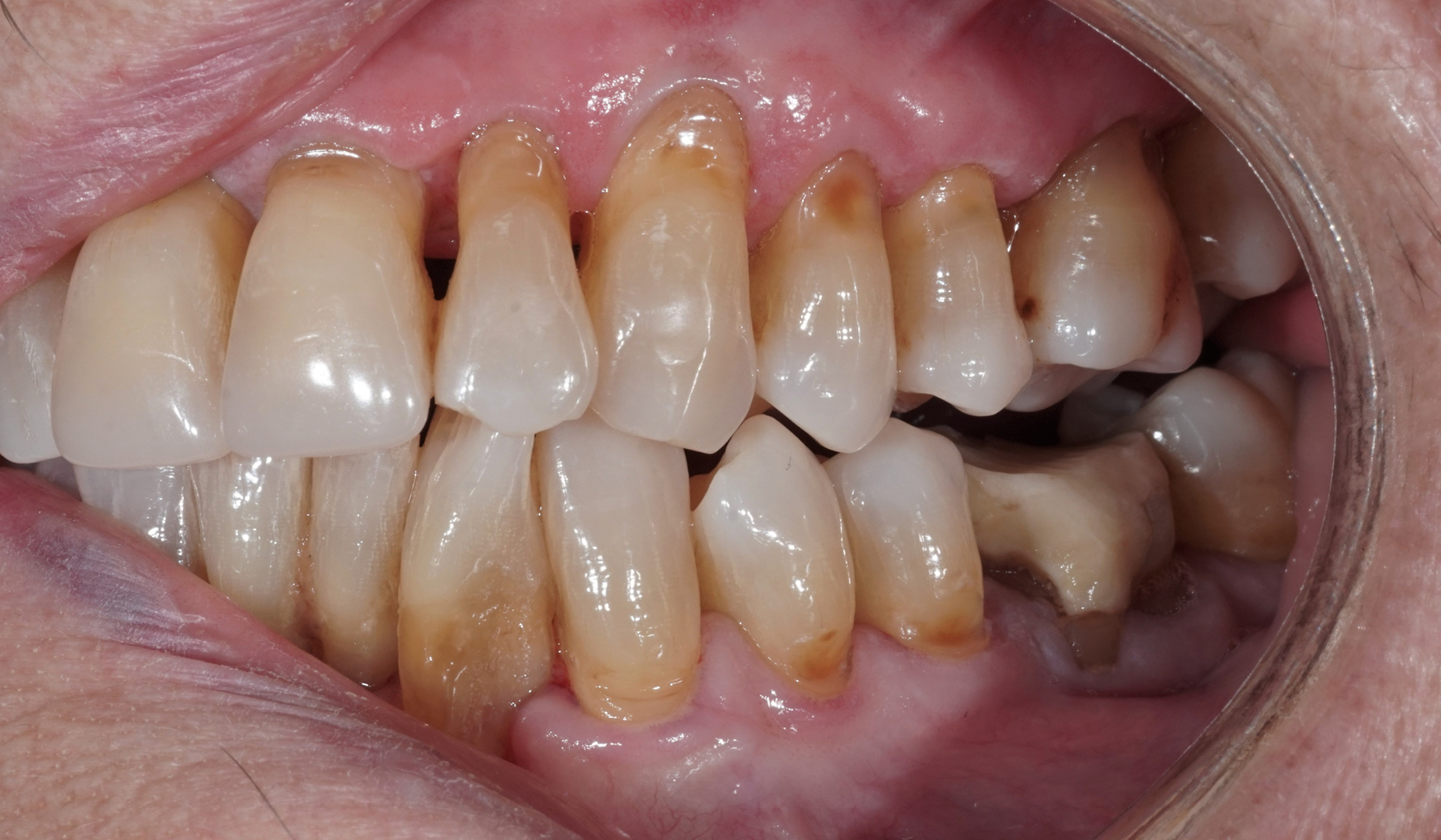
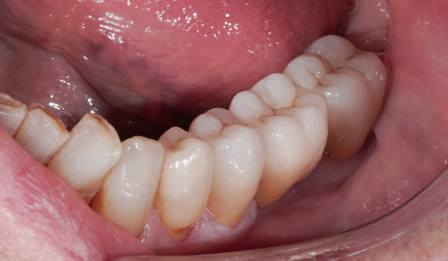
Ryc. 11. Stan kliniczny po odbudowie zębów za pomocą nakładu z dwukrzemianu litu i mostu z tlenku cyrkonu KATANA™.
Stan końcowy 
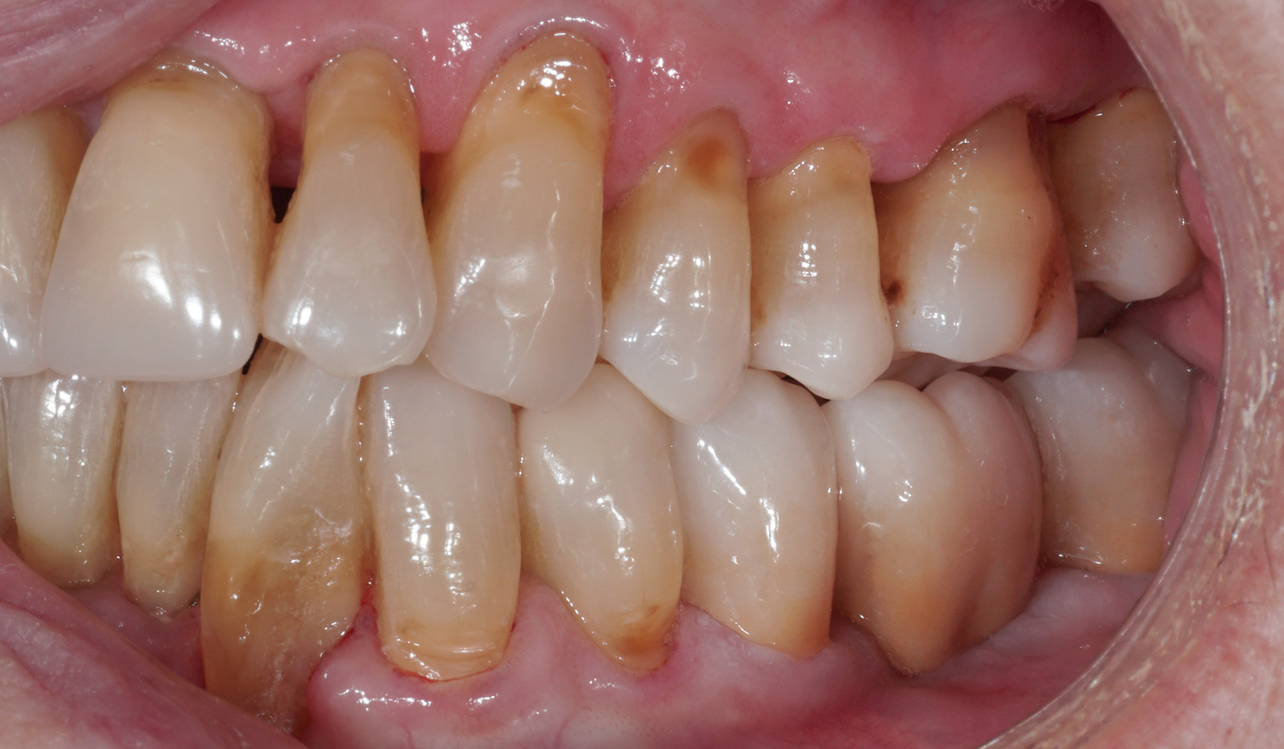
Ryc. 12. Nakład onlay i most na swoim miejscu w jamie ustnej (po adhezyjnym osadzeniu na PANAVIATM V5 i samoadhezyjnym cementowaniu na PANAVIATM SA Cement Universal).
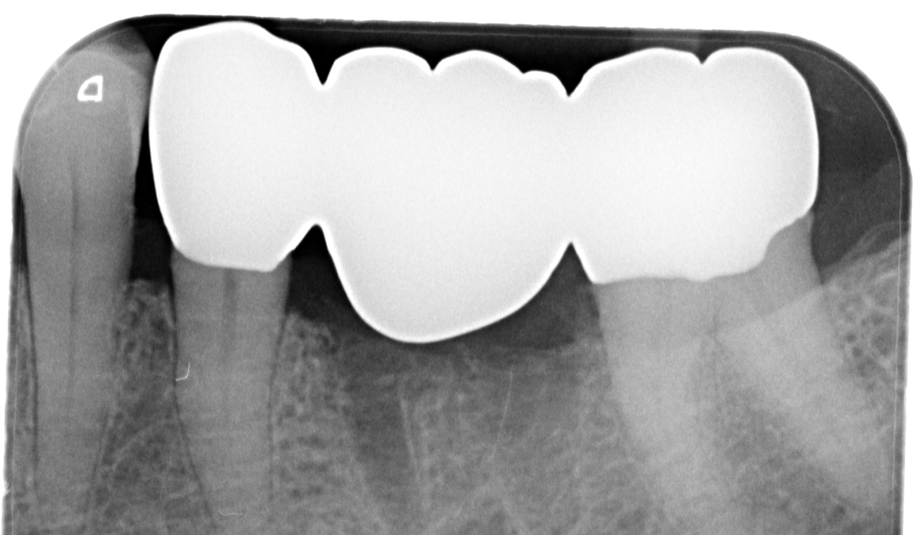
Ryc. 13. Kontrolne zdjęcie rentgenowskie, wykonane w celu sprawdzenia zalegania nadmiarów cementu wokół mostu.
Florian Zwiener
MS 2024; 4: 34-39.