Halitoza – aktualne zalecenia diagnostyczne

Do mojego gabinetu zgłasza się coraz więcej pacjentów z powodu utrzymującego się nieprzyjemnego zapachu z ust. Chciałbym zapewnić im kompleksową opiekę stomatologiczną, ale nie mam pewności, jakie są aktualne zalecenia dotyczące diagnozowania i leczenia halitozy. 

Opublikowano dnia : 10.09.2025

Jak AI wspiera pracę stomatologa?

Pracując jako lekarz stomatolog, staram się być na bieżąco z nowinkami technologicznymi. Ostatnio zainteresował mnie temat sztucznej inteligencji. Jakie są możliwości i perspektywy zastosowania opartych na niej rozwiązań w mojej codziennej praktyce?

Opublikowano dnia : 12.06.2025

Pacjent z zespołem Ehlersa-Danlosa w gabinecie stomatologicznym

Do mojego gabinetu zgłosiła się 13-letnia pacjentka z objawami ciężkiego zapalenia przyzębia i dysfunkcji stawu skroniowo-żuchwowego. Zaniepokoiły mnie liczne blizny zlokalizowane na brodzie i czole dziewczynki. W przeprowadzonym wywiadzie uzyskałem informację, że cierpi ona na zespół Ehlersa-Danlosa. Na jakie kwestie należy zwrócić uwagę, sprawując opiekę stomatologiczną nad osobą dotkniętą tym schorzeniem?

Opublikowano dnia : 17.05.2025

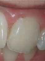
SPECJALISTA RADZI: Wybielanie zębów przebarwionych pastą trójantybiotykową

Podczas jednego z kursów dowiedziałam się, że trójantybiotykową pastę dezynfekującą (TAP) używaną w procedurze rewitalizacji do dezynfekcji kanałów można z powodzeniem stosować w trakcie leczenia zainfekowanych kanałów z zakończonym rozwojem korzenia. Użyłam jej w dwóch przypadkach i w jednych z nich doszło do przebarwienia korony. Czy można taką koronę wybielić i jak to zrobić?

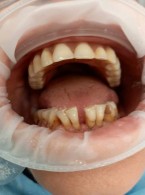
SPECJALISTA RADZI: Pacjent z anoreksją

Do mojego gabinetu zgłosiła się 29-letnia kobieta ze zmianami erozyjnymi szkliwa. W wywiadzie pacjentka podała, że od dłuższego czasu przestrzega restrykcyjnej, niskokalorycznej diety i intensywnie uprawia sport. Czy lekarz dentysta może wysnuć podejrzenie anoreksji? Jakie objawy stomatologiczne mogą towarzyszyć temu schorzeniu?

SPECJALISTA RADZI: Nieskuteczna apikotomia wierzchołka korzenia – ponowna resekcja czy powtórne leczenie kanałowe?

Zgłosiła się do mnie 60-letnia pacjentka z nieszczelną i nieestetyczną koroną protetyczną osadzoną na zębie siecznym szczęki. Pacjentka poinformowała, iż ząb był poddany przed laty zabiegowi resekcji. Wykonane zdjęcie potwierdziło wcześniej wykonaną apikotomię oraz obecność niewielkich zmian zapalnych w tkankach okołowierzchołkowych. W kanale stwierdzono dobrze kontrastujący się ćwiek (prawdopodobnie srebrny); w części koronowej kanału był widoczny krótki indywidualny wkład koronowo korzeniowy. Co mogę zasugerować pacjentce? Jakie są możliwości leczenia?