Wielospecjalistyczna rehabilitacja patologicznego starcia zębów – opis przypadku

Wielospecjalistyczna rehabilitacja patologicznego starcia zębów – opis przypadku
Jan K. Pietruski, Małgorzata D. Pietruska, Emilia Waszkiewicz-Sewastianik
POBIERZ BEZPŁATNY PDF Z PRACĄ Wielospecjalistyczna rehabilitacja patologicznego starcia zębów (opis przypadku)

Wstęp

Patologiczna utrata tkanek twardych zębów (PUTTZ) jest częstą przyczyną zgłaszania się pacjentów do lekarza dentysty. W znacznym odsetku takie przypadki wymagają wielospecjalistycznego leczenia, jako że etiologia problemu także jest złożona. Patologiczne starcie zębów jest pojęciem często nadużywanym, gdyż terminem tym określa się przypadki patologicznej utraty tkanek twardych zębów, która nie zawsze powstaje na skutek starcia. Być może wynika to z opacznego tłumaczenia angielskiego sformułowania „pathologic tooth wear”, które oznacza nie tylko starcie jako takie, ale i utratę tkanek zębów w szerszym rozumieniu.

Wśród przyczyn PUTTZ należy wymienić fizjologiczną lub patologiczną atrycję, abfrakcję, abrazję, wady wrodzone i erozję chemiczną (1-5). Niewątpliwie jednak w codziennej praktyce spotykamy się z sytuacjami, gdy uzębienie pacjentów cechuje się nadmiernym starciem, a więc patologiczną atrycją. Analizując potencjalne przyczyny takiego stanu, najczęściej wymienia się: braki zębowe, wady zgryzu, uzupełnienia protetyczne o większej twardości niż tkanki zębów oraz bruksizm. Biorąc z kolei pod uwagę przyczyny, dla których pacjenci szukają pomocy, można wymienić: nadwrażliwość zębów, problemy z żuciem, zaburzenia estetyki oraz nawracające problemy z pękaniem i odkruszaniem się fragmentów szkliwa, wypełnień bądź rekonstrukcji protetycznych.

Jedną z przyczyn utraty twardych tkanek zębów w wyniku ich nadmiernie szybkiego starcia jest dysfunkcja narządu żucia wywołana wadą zgryzu. Jeżeli na skutek wady kontakty górnego i dolnego łuku zębowego w maksymalnym zaguzkowaniu są możliwe jedynie kosztem wysunięcia głów żuchwy z pozycji relacji centralnej, należy spodziewać się nadmiernego napięcia mięśni żucia, opacznych mimowolnych ruchów żuchwy (szczególnie w nocy) i w konsekwencji przyspieszonego ścierania tkanek twardych zębów.

Odrębnym problemem klinicznym jest określenie, czy w danym momencie należy już mówić o patologii, czy też jest to jeszcze okres adaptacji niewymagający interwencji. Obecnie wyróżnia się dwa pojęcia: zaawansowanego starcia zębów (ang. severe tooth wear) i patologicznego starcia zębów (ang. pathological tooth wear). O pierwszym świadczy znacząca utrata struktury zęba z ekspozycją zębiny i utratą powyżej 1/3 korony klinicznej. Z kolei przez patologiczne starcie zębów należy rozumieć sytuację, kiedy zniszczenie zębów nie jest adekwatne do wieku, powoduje ból lub dyskomfort, problemy funkcjonalne, zaburzenia estetyki i może prowadzić do niepożądanych komplikacji o wzrastającym poziomie złożoności (6).

Takie usystematyzowanie definicji ułatwia podjęcie decyzji, czy w ogóle interweniować klinicznie, a jeżeli tak – to w jaki sposób. Zgodnie z opublikowanymi w 2017 roku wytycznymi „Severe Tooth Wear: European Consensus Statement on Management Guidelines”, klinicysta powinien rozważać interwencję u pacjenta z PUTTZ, jeżeli stwierdza poniższe objawy:

  • nadwrażliwość zębów,
  • przebarwienia, w tym zażółcenia, utratę połysku (przy częściowej utracie szkliwa),
  • ostre lub wyszczerbione zęby przednie,
  • płasko starte powierzchnie okluzyjne, błyszczące lub wyszczerbione,
  • zmiany w okluzji na skutek utraty wysokości zwarcia,
  • zęby z rekonstrukcjami wystające powyżej płaszczyzny zwarciowej pozostałych zębów,
  • obecność ubytków klinowych (6).

Podejmując decyzję o leczeniu protetycznym pacjentów z PUTTZ, klinicysta staje przed problemem prawidłowego wkomponowania uzębienia w wymiarze pionowym oraz zaplanowania odpowiedniego pionowego wymiaru zwarcia (PWZ). Z reguły jeżeli PUTTZ postępuje powoli, to PWZ nie zmienia się albo tylko nieznacznie obniża, a wysokość dolnego odcinka twarzy nie ulega zmniejszeniu. Jest to wynik tzw. kompensacji wyrostka zębodołowego (ang. dentoalveolar compensation). Mimo utraty pionowego wymiaru koron zębów w 80% przypadków zarówno szpara spoczynkowa, jak i PWZ pozostają niezmienione (7). W takich sytuacjach, przygotowując filary pod rekonstrukcje protetyczne, nie preparuje się zniszczonych powierzchni okluzyjnych (lub preparuje się je tylko w minimalnym stopniu). Musi to prowadzić do podniesienia PWZ o grubość rekonstrukcji. Nawet przy najcieńszych odbudowach jest to wymiar ok. 2 mm na zębach trzonowych, co daje prawie trzykrotnie więcej na zębach siecznych.

Innym rozwiązaniem jest przygotowanie chirurgiczne i/lub ortodontyczne, poprzedzające leczenie protetyczne. Planując powyższe etapy przygotowawcze, należy określić, czy wydłużenie koron będzie prowadzone w kierunku dowierzchołkowym, czy dokoronowym. W pierwszym przypadku wiązać się to będzie z koniecznością wykonania zabiegu chirurgicznego wydłużania koron, w drugim z podniesieniem PWZ. Dlatego konieczne jest określenie, na ile można podnieść PWZ i czy jego zwiększenie nie będzie miało negatywnego wpływu na wygląd twarzy, a jeżeli tak, to być może należy połączyć możliwości ortodontycznej zmiany pozycji zębów, a dopiero potem korekty chirurgicznej.

Najczęściej do określania PWZ stosuje się metody oparte na historycznych badaniach opublikowanych w roku 1934 przez Niswongera (metoda spoczynkowa, fonetyczna lub kontaktowa) (8). Skuteczność i powtarzalność tych metod zakwestionował w 1966 roku Atwood, który udowodnił brak ich przewidywalności i powtarzalności (9). Wiele późniejszych prac i podręczników neguje powtarzalność i sens metod spoczynkowych i wykorzystywania szpary spoczynkowej do określania PWZ. Dopiero jednak w ostatnim dziesięcioleciu standardem stało się określanie PWZ na podstawie proporcji i estetyki twarzy (10-14).

Szczególnie wartościowa w tym aspekcie jest publikacja Abduo z 2012 roku oparta na ponad 900 pozycjach literatury, w której zawarto dwa bardzo istotne wnioski:

  • Po pierwsze – przy istniejących wskazaniach stałe podniesienie PWZ o 5 mm jest bezpieczną i przewidywalną procedurą niepociągającą za sobą szkodliwych konsekwencji. Objawy, o ile w ogóle się pojawiają, ulegają zmniejszeniu z tendencją do zanikania w ciągu 2 tygodni.
  • Po drugie – podniesienie PWZ za pomocą stałych uzupełnień jest preferowane ze względu na lepszą funkcję, akceptację, adaptację i możliwość oceny estetyki. Powszechnie rekomendowane przejściowe stosowanie ruchomych szyn mających ułatwić adaptację do podniesionego PWZ powoduje więcej niekorzystnych objawów wynikających bardziej z obecności samych szyn niż z faktu podniesienia PWZ (15).

Opis przypadku

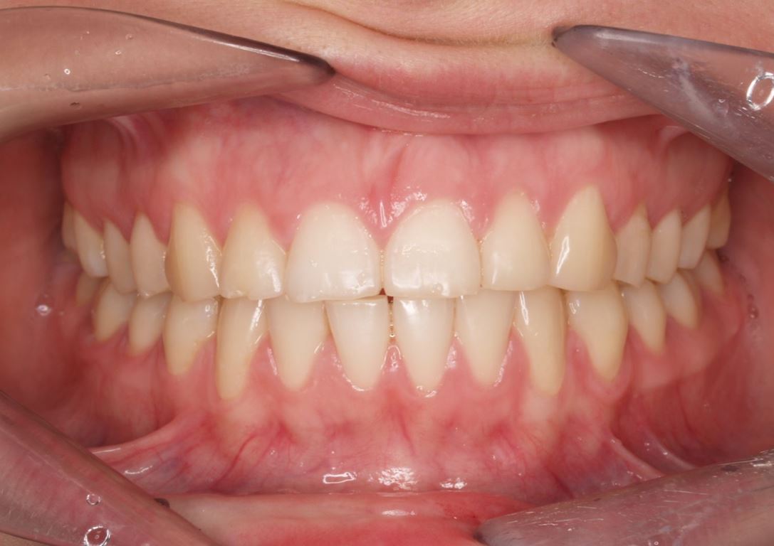
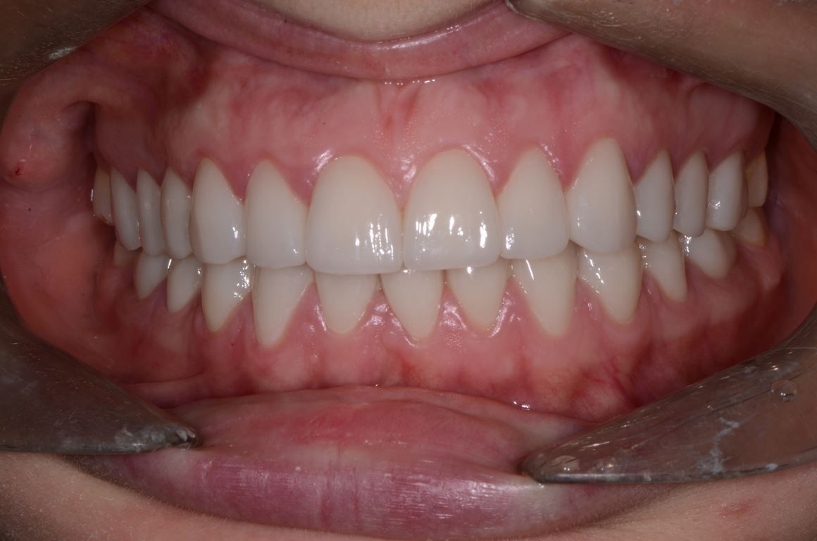
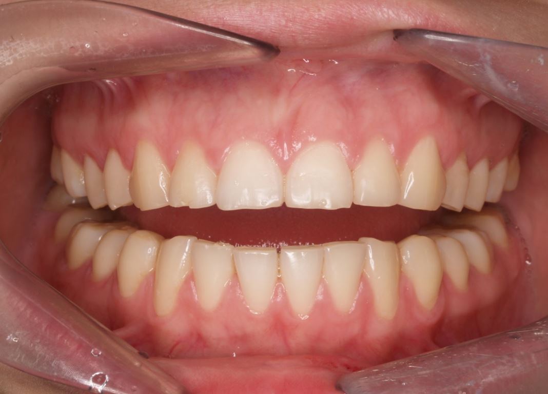
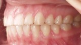
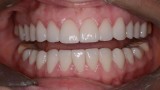
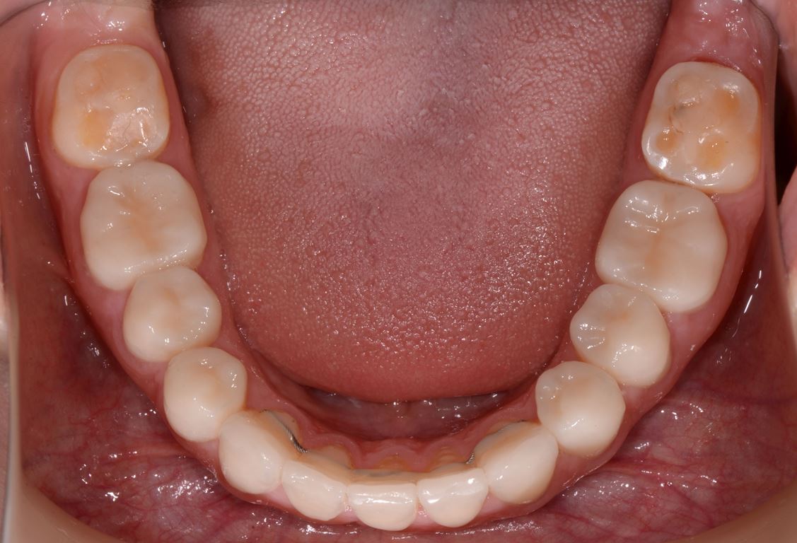
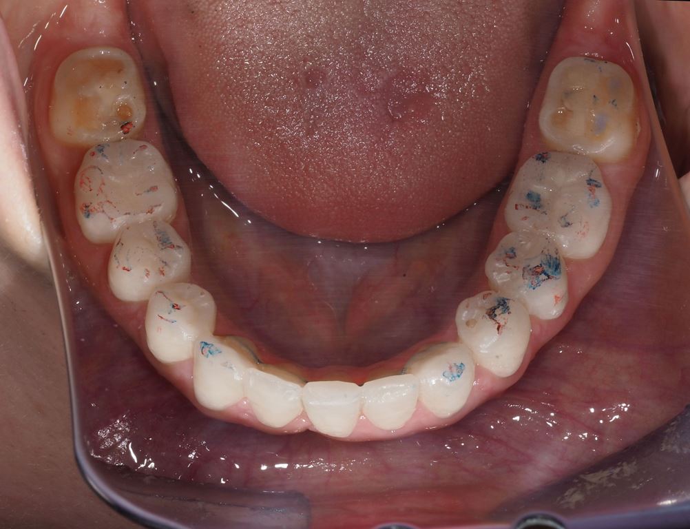
Pacjentka 21-letnia zgłosiła się do gabinetu, zaniepokojona znacznym starciem zębów. W wywiadzie podała nocne zgrzytanie zębami. Niedawno zakończyła leczenie ortodontyczne, którego celem, zgodnie z uzyskanymi od niej informacjami, miało być rozwiązanie problemu nadmiernie ścierających się zębów – nie przyniosło ono jednak spodziewanych rezultatów. Obecnie pacjentka oczekiwała przede wszystkim poprawy estetyki uśmiechu przez wydłużenie zębów przednich i zabezpieczenie ich przed pojawiającymi się odpryskami szkliwa oraz rozwiązania problemu uogólnionej nadwrażliwości.

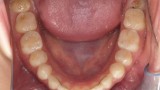
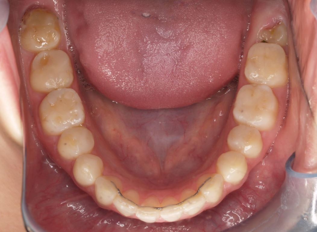
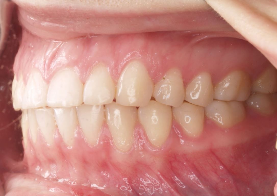
W badaniu klinicznym stwierdzono uogólnione starcie wszystkich zębów z ekspozycją zębiny, nieprawidłowe proporcje zębów przednich, liczne odpryski szkliwa na brzegach siecznych i relację tête à tête przednich zębów. W podstawowym badaniu klinicznym stwierdzono zwiększone napięcie mięśniowe bez objawów bólowych, prawidłową ruchomość oraz brak objawów patologicznych ze strony stawów skroniowo-żuchwowych.
W badaniu periodontologicznym nie stwierdzono odchyleń od normy.

W pierwszym etapie diagnostycznym wykonano zdjęcia zewnątrz- i wewnątrzustne (ryc. 1-12).


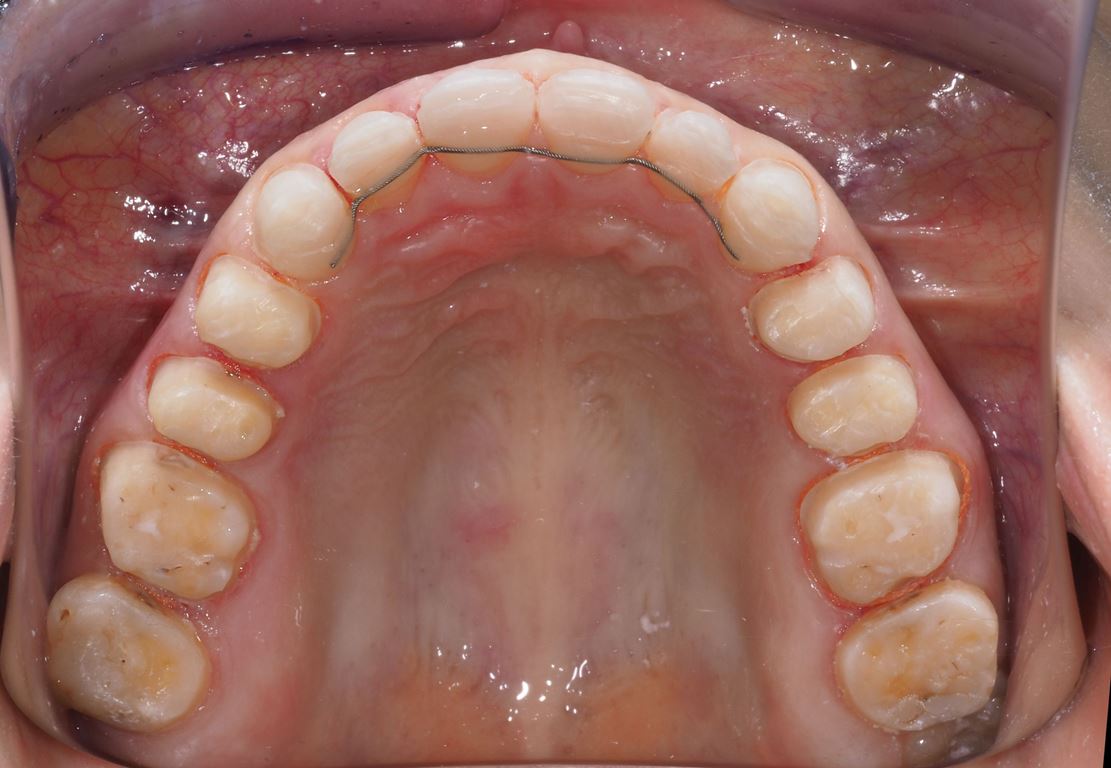
Wykonano także modele diagnostyczne zaartykulowane w relacji centralnej (RC), którą zarejestrowano ze względu na zwiększone napięcie mięśniowe z wykorzystaniem deprogramatora Koisa (ryc. 13-15), oraz zdjęcie pantomograficzne (ryc. 16) i cefalometryczne. Analiza modeli w RC wykazała przesunięcie żuchwy w kierunku doprzednim w stosunku do pozycji maksymalnego zaguzkowania i przedwczesne kontakty funkcjonalne na zębach bocznych, co tłumaczyło obecność odprysków szkliwa na brzegach siecznych górnych zębów (szczególnie wyraźne na zębie 12) (ryc. 14, 17). Na modelach wykonano studium funkcjonalne mające na celu określenie, w jaki sposób można odtworzyć prawidłową funkcję, tzn. uzyskać prawidłowy nagryz pionowy i poziomy oraz prowadzenie przednie (ryc. 18-20).

Uzyskanie prawidłowych relacji pomiędzy zębami przednimi górnego i dolnego łuku zębowego wymagało zwężenia dolnego łuku i cofnięcia zębów przednich w kierunku dojęzykowym. Zwężenie poprzez wykonanie strippingu nie byłoby wystarczające, dlatego zaplanowano usunięcie jednego z dolnych zębów siecznych przyśrodkowych. Osiągnięta w ten sposób zmiana relacji zębów umożliwiała odtworzenie warunków zwarciowych zgodnie z koncepcją okluzji wielostronnie chronionej (ang. mutually protected occlusion).

Analiza fotografii twarzy wykazała, że jej proporcje pozwalały na podniesienie PWZ, linia brzegów siecznych zębów górnych wymagała niewielkiej korekty w kierunku dokoronowym, dla zachowania prawidłowych proporcji zębów wskazane było wydłużenie koron klinicznych i przesunięcie zenitów dziąsłowych w kierunku dowierzchołkowym.
Minimalne zachodzenie pionowe, a w pozycji RC ustawienie zębów przednich w zgryzie tête à tête nasuwały podejrzenie wady gnatycznej. Analiza zdjęcia cefalometrycznego wykazała wprawdzie prognatyczny typ twarzy, jednak I klasę szkieletową, rotację i translację żuchwy w normie oraz neutralną relację sagitalną i wertykalną podstaw (ryc. 21). Pozwoliło to zaplanować poprawę relacji pomiędzy górnym i dolnym łukiem zębowym przez leczenie ortodontyczne poprzedzone ekstrakcją jednego dolnego zęba siecznego oraz dolnych zębów ósmych. Po leczeniu ortodontycznym zaplanowano chirurgiczne wydłużenie koron przednich zębów górnych i wykonanie adhezyjnych rekonstrukcji ceramicznych na wszystkich zębach szczęki i żuchwy z wyłączeniem drugich zębów trzonowych.

Bezpośrednio po usunięciu zębów rozpoczęto leczenie ortodontyczne, które trwało 15 miesięcy i pozwoliło na uzyskanie zaplanowanych wcześniej pozycji zębów (ryc. 22-24).

Następnie, po okresie stabilizacji i wstępnej korekcie okluzji, na podstawie analizy nowego kompletu zdjęć i modeli, wykonano woskowanie diagnostyczne oraz mock-up górnego łuku zębowego mający na celu potwierdzenie ostatecznego kształtu zębów i zakresu niezbędnego przygotowania chirurgicznego (ryc. 25-27).

Analiza fotografii z mock-upem potwierdziła konieczność wydłużenia koron klinicznych wszystkich zębów przednich o około 2 mm w kierunku dokoronowym oraz zębów 13-21 w kierunku dowierzchołkowym, w celu zharmonizowania poziomu zenitów dziąsłowych. W związku z tym w okolicy zębów 13-21 wykonano zabieg chirurgicznego wydłużania koron (ryc. 28, 29).

Po 6 miesiącach od zabiegu chirurgicznego rozpoczęto leczenie protetyczne mające na celu odbudowę prawidłowej anatomii zębów i odtworzenie utraconej funkcji żucia. W pierwszym etapie zaplanowano rekonstrukcję górnego łuku zębowego, wzorując się na wcześniej wykonanym woskowaniu i mock-upie. Preparacja przez mock-up pozwala na minimalnie traumatyczne szlifowanie, co jest szczególnie istotne w przypadkach takich jak przedstawiony, gdy już doszło do znacznej utraty tkanek na powierzchniach żujących zębów bocznych (16) (ryc. 30). Przed wykonaniem docelowych rekonstrukcji ceramicznych sprawdzono wyfrezowany z żywicy akrylopolimerowej (PMMA) prototyp z jednocześnie założonym na dolny łuk zębowy mock-upem (ryc. 31).

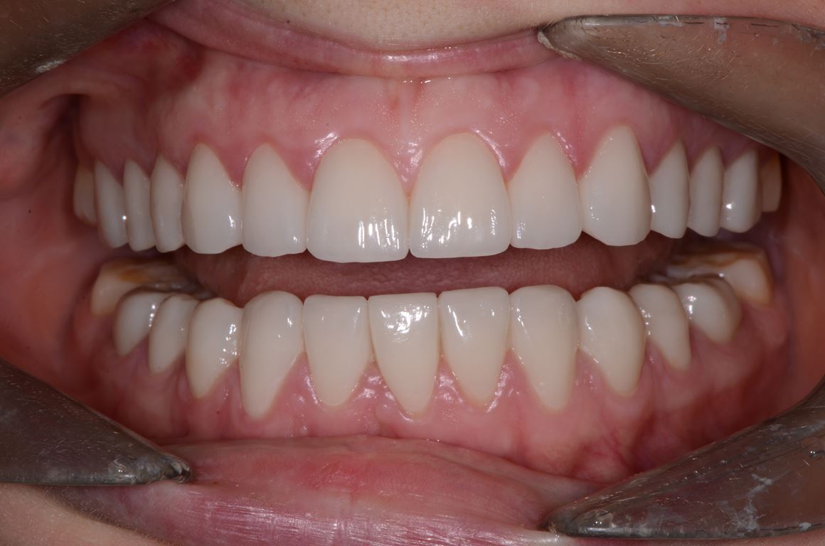
Następny etap leczenia polegał na adhezyjnym osadzeniu rekonstrukcji wykonanych z materiału E-max (Ivoclar, Liechtenstein). Po cementowaniu przystąpiono do preparacji zębów dolnego łuku zębowego. Pozostawienie wszystkich drugich zębów trzonowych w pierwotnym kształcie umożliwiło łatwą rejestrację pozycji żuchwy w RC przed rozpoczęciem preparacji, którą wykonano na twardym materiale (LuxaBite, DMG, Niemcy) (ryc. 32, 33). Po zakończeniu preparacji rejestrat zwarciowy powiększono o odcinek przedni, wykonano wyciski oraz zabezpieczono filary wcześniej przygotowanymi i podścielonymi uzupełnieniami z PMMA (ryc. 34-36). Podobnie jak w łuku górnym, w następnym etapie sprawdzono wewnątrzustnie prototyp rekonstrukcji wyfrezowany w PMMA, na którym wykonano niezbędne korekty zwarcia (ryc. 37, 38). Ostatni etap leczenia polegał na adhezyjnym cementowaniu rekonstrukcji dolnego łuku zębowego.

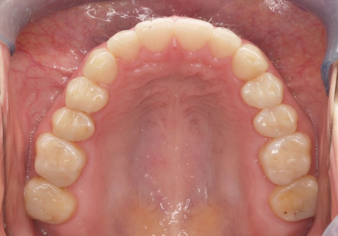
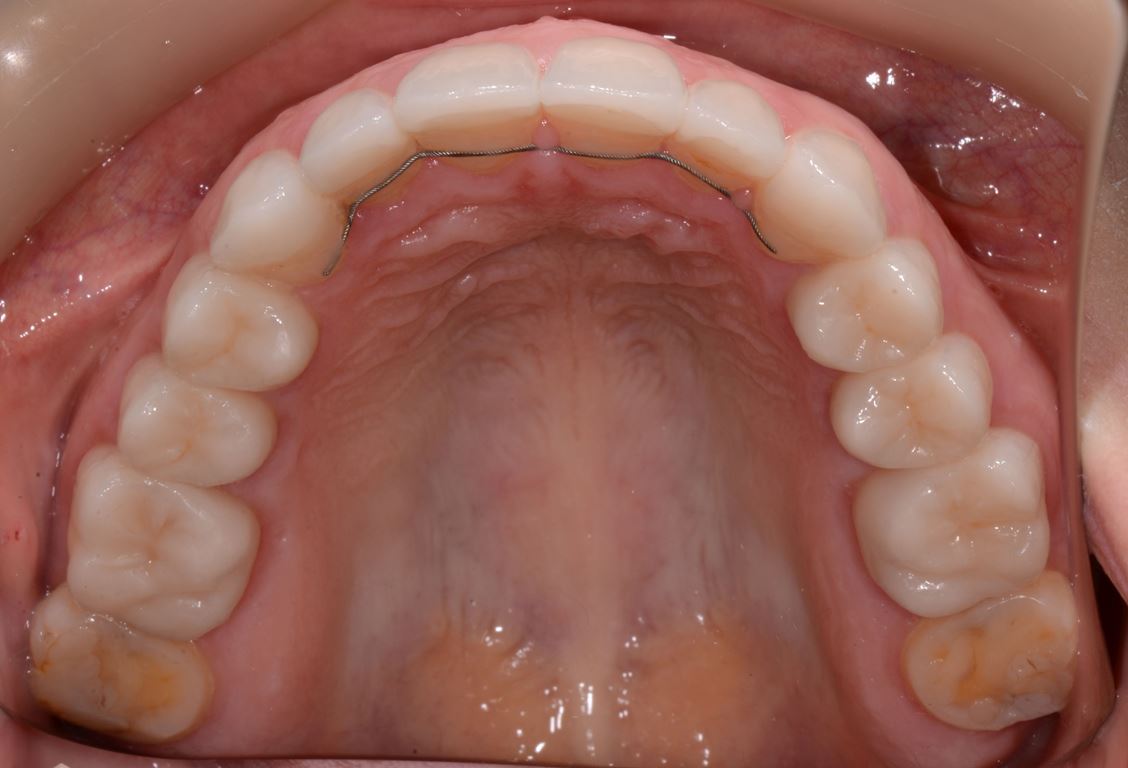
Ryciny 39-50 przedstawiają stan po zakończeniu leczenia.

Drugie zęby trzonowe nie zostały włączone w rekonstrukcję pomimo znacznej utraty wysokości koron. Dzięki temu podniesienie wysokości zwarcia mogło być zminimalizowane oraz uniknięto konieczności preparacji zniszczonych powierzchni zwarciowych tych zębów. Po przebudowie warunków zwarciowych na pozostałych zębach uzyskano prowadzenie przednie i kłowe, co potencjalnie dało ochronę zębów trzonowych przed destrukcyjnymi siłami bocznymi.

Zgodnie z danymi z piśmiennictwa żywotność precyzyjnie wykonanych stałych rekonstrukcji protetycznych może sięgać średnio około 20 lat (17-22). U pacjentów leczonych w młodym wieku należy więc założyć, że w ciągu ich życia rekonstrukcja będzie prawdopodobnie wymieniana dwa razy. W związku z tym oczywiste jest, że należy dążyć do jak najoszczędniejszego preparowania zębów filarowych, co w konsekwencji wymusza stosowanie delikatnych, cienkich rekonstrukcji.

Warunkiem długoczasowego przetrwania cienkościennych rekonstrukcji protetycznych jest stabilna sytuacja okluzyjna, dlatego tak istotna jest poprzedzająca leczenie szczegółowa diagnostyka funkcjonalna. W omawianym przypadku konieczne było przygotowanie ortodontyczne pacjentki. Jego głównym celem była zmiana relacji przestrzennej pomiędzy łukami zębowymi umożliwiająca odtworzenie prawidłowej funkcji żucia z uwzględnieniem prowadzenia przedniego.

Opisany przypadek obrazuje konieczność planowania i leczenia wielospecjalistycznego, ponieważ pierwsze leczenie ortodontyczne, po którym nie uwzględniono odbudowy zębów, nie wyeliminowało problemu ich ścierania. Należy również zwrócić uwagę na zaprezentowany pierwszy etap leczenia i różnicę w pozycji żuchwy w nawykowym zwarciu i RC. Porównanie relacji łuków zębowych na rycinach 14 i 17 wyraźnie wskazuje, że przyjęcie nawykowego zwarcia jako punktu wyjścia do planowania skazywałoby zarówno leczenie ortodontyczne, jak i protetyczne na niepowodzenie. Przyjęcie nawykowego zwarcia jako pozycji wyjściowej do diagnostyki przed rozległym leczeniem stomatologicznym jest częstą przyczyną niepowodzeń, szczególnie w przypadkach wymagających postępowania interdyscyplinarnego (23). Powikłania te dotyczą nie tylko trwałości uzupełnień protetycznych, ale często znacznie poważniejszych zaburzeń dotyczących mięśni żucia i stawów skroniowo-żuchwowych (24-26).

*Praca recenzowana, ukazała się w nr 10/2018 MS. Pacjentka wyraziła zgodę na publikację wizerunku twarzy. Copyright: Magazyn Stomatologiczny
 
PIŚMIENNICTWO
1. Verrett R.G.: Analyzing the etiology of an extremely worn dentition. J. Prosthodont., 2001, 10, 4, 224-233.
2. Grippo J.O.: Abfractions: A new classification of hard tissue lesions of teeth. J. Esthet. Restor. Dent., 1991, 3, 1, 14-19.
3. Lee W.C., Eakle W.S.: Stress-induced cervical lesions: Review of advances in past 10 years. J. Prosthet. Dent., 1996, 75, 5, 487-494.
4. Levitch L.C. i wsp.: Non-carious cervical lesions. J. Dent., 1994, 22, 4, 195-207.
5. Lussi A.: Dental erosion. Clinical diagnosis and case history taking. Eur. J. Oral Sci., 1996, 104, 2, 191-198.
6. Loomans B. i wsp.: Severe Tooth Wear: European Consensus Statement on Management Guidelines. J. Adhes. Dent., 2017, 19, 111-119.
7. Davies S.J., Gray R.J.M., Qualtrough A.J.E.: Management of tooth surface loss. Brit. Dent. J., 2002, 19, 11-23.
8. Niswonger M.E.: Rest position of the mandible and centric relation. J. Am. Dent. Assoc., 1934, 21, 9, 1572-1582.
9. Atwood D.A.: A critique of research of rest position of the mandible. J. Prosthet. Dent., 1966, 16, 5, 848-854.
10. Olsen E.S.: A radiographic study of variations in the physiologic rest position of the mandible in seventy edentulous individuals. J. Dent. Res., 1951, 30, 517-525.
11. Atwood D.A.: A cephalometric study of rest position of the mandible. Part I. J. Prosthet. Dent., 1956, 6, 4, 504-519.
12. Atwood D.A.: A cephalometric study of rest position of the mandible. Part II. J. Prosthet. Dent., 1957, 7, 4, 544-552.
13. Tallgren A.: The reduction if face height of edentulous and partially edentulous individuals during long term denture wear: a longitudinal roentgenographic cephalometric study. Act. Odontol. Scand., 1966, 24, 2, 195-239.
14. Kois J.C., Phillips K.M.: Occlusal vertical dimension: alteration concerns. Compend. Contin. Educ. Dent., 1997, 18, 12, 1169-1177.
15. Abduo J.: Safety of increasing vertical dimension of occlusion: a systematic review. Quintessence Int., 2012, 43, 5, 369-380.
16. Gurel G.: Porcelain laminate veneers: minimal tooth preparation by design. Dent. Clin. North Am. 2007, 51, 419-431.
17. Goodacre C.J. i wsp.: Clinical complications in fixed prosthodontics. J. Prosthet. Dent., 2003, 90, 31-41.
18. De Backer H. i wsp.: Single-tooth replacement: is a 3-unit fixed partial denture still an option? A 20-year retrospective study. Int. J. Prosthodont., 2006, 19, 567-573.
19. Lange R.T., Pfeiffer P.: Clinical evaluation of ceramic inlays compared to composite restorations. Oper. Dent., 2009, 34, 263-272.
20. Layton D.M, Clarke M., Walton T.R.: A systematic review and meta-analysis of the survival of feldspathic porcelain veneers over 5 and 10 years. Int. J. Prosthodont., 2012, 25, 590-603.
21. Gurel G., Calamita M.A., Coachman C.: Clinical performance of porcelain laminate veneers: outcome of the aesthetic pre-evaluative temporary (APT) technique. Int. J. Periodontics Restorative Dent., 2012, 32, 625-635.
22. Sailer I. i wsp.: All-ceramic or metal-ceramic tooth-supported fixed dental prostheses (FDPs)? A systematic review of the survival and complication rates. Part I: Single crowns (SCs). Dent. Mater., 2015, 31, 603-623.
23. Lila-Krasniqi Z.D. i wsp.: Differences between centric relation and maximum intercuspation as possible cause for development of temporomandibular disorder analyzed with T-scan III. Eur. J. Dent., 2015, 9, 573-579.
24. Dzingutė A. i wsp.: Evaluation of the relationship between the occlusion parameters and symptoms of the temporomandibular joint disorder. Acta Medica Lituanica, 2017, 24, 167-175.
25. Haralur S.B.: Digital evalutation of functional occlusion parameters and their association with temporomandibular disorders. J. Clin. Diagn. Res., 2013, 8, 1772-1775.
26. Funato M. i wsp.: Evaluation of the non-functional tooth contact in patients with temporomandibular disorders by using newly developed electronic system. J. Oral Rehab., 2014, 41, 170-176.