– Czy używa Pan/Pani nici dentystycznej?
– Tak… ale nie codziennie.
Taki dialog często prowadzę w gabinecie stomatologicznym. Skutki rzadkiego stosowania nici dentystycznej są zwykle podobne: próchnica na powierzchniach stycznych i zdziwienie pacjentów:
– Nowy ubytek? Jak to? Przecież ja myję zęby dwa razy dziennie. Dopiero co byłam/byłem u innego dentysty i niczego nie znalazł…
No właśnie, dlaczego nie znalazł? Nawet jeśli pracuje się z powiększeniem (lupy i mikroskop), zdiagnozowanie próchnicy na powierzchniach stycznych bywa trudne (1). Na szczęście radiografia cyfrowa w gabinetach stomatologicznych jest już powszechna. Wykonuje się dwa zdjęcia skrzydłowo-zgryzowe i gotowe (2, 3). Łatwa i przyjemna diagnostyka. Ale czy na pewno?
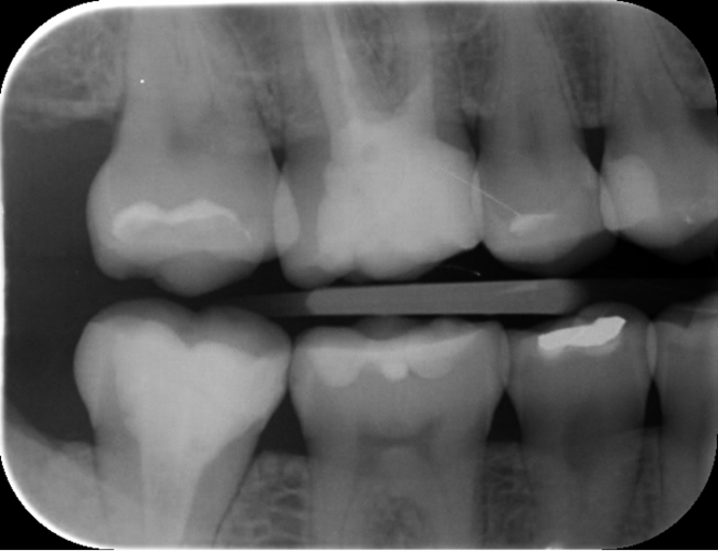
Spójrzmy na zdjęcia rentgenowskie. Na zdjęciu skrzydłowo-zgryzowym strony lewej (ryc. 1) bez trudu można zauważyć ubytek pod wypełnieniem na powierzchni mezjalnej zęba 25. 
Ryc. 1. Zdjęcie skrzydłowo-zgryzowe strony lewej.
Gdy przyjrzymy się dokładniej, dostrzeżemy także trójkątne przejaśnienie w szkliwie na powierzchni dystalnej tego zęba i nieszczelne wypełnienie na powierzchni dystalnej zęba 35. Z kolei na zdjęciu skrzydłowo-zgryzowym strony prawej (ryc. 2) zauważalne są wypełnienia, a na powierzchniach stycznych, w obrębie szkliwa zębów 45 i 46 widać trójkątne przejaśnienia, niestety przez nałożenie punktów stycznych nie do końca pewne… 
Ryc. 2. Zdjęcie skrzydłowo-zgryzowe strony prawej.
Można się zastanawiać, czy w zębie 45 dystalnie demineralizacja dotarła już do zębiny. Nie ma co liczyć, że ognisko próchnicy ulegnie remineralizacji, nawet jeśli pacjentka zacznie sumiennie oczyszczać przestrzenie międzyzębowe. Wyjście jest jedno: trzeba opracować ubytek i wykonać wypełnienie. Tylko czy można mieć pewność, że jest tam próchnica, którą należy usunąć? Czy na pewno ubytek przekroczył granicę szkliwno-zębinową?
Po analizie zdjęć rentgenowskich pora na ocenę wizualną jamy ustnej pacjentki (ryc. 3).
Ryc. 3. Obraz kliniczny zęba 45.
W zębie 45 znajduje się wypełnienie amalgamatowe I klasy – nie jest ono może idealne, ale wokół nie widać znaczących nieszczelności. Dystalna listewka szkliwna jest trochę ciemniejsza, ale czy nie wynika to z przebarwień związanych z korozją amalgamatu? Po obejrzeniu zdjęcia skrzydłowo-zgryzowego przyglądamy się powierzchniom stycznym tego zęba – niespecjalnie można stwierdzić, czy są tam ubytki. Co dalej? Przystąpić do opracowania czy obserwować? (4).
Specjalna kamera wewnątrzustna (DIAGNOcam, KaVo, ryc. 4) przy wykorzystaniu lasera tworzy obraz podobny do zdjęć rentgenowskich. Laser przenika przez tkanki zęba, a kamera rejestruje obraz (5, 6). Zdemineralizowane obszary są widoczne jako ciemniejsze plamy. Wystarczy objąć ząb kamerą o wielkości końcówek stomatologicznych, zapisać zdjęcie i oceniać. Wszystko to bez wykorzystania promieni rentgenowskich.
Ryc. 4. Badanie kamerą wewnątrzustną DIAGNOcam.
Zdjęcia skrzydłowo-zgryzowe pacjentki już widzieliśmy. Sprawdźmy teraz, jakie będą efekty badania kamerą DIAGNOcam. W pierwszej kolejności obejrzymy ząb 25 z wypełnieniem klasy II. Pod wypełnieniem, na powierzchni mezjalnej nic niepokojącego nie widać (ryc. 5) – plus dla zdjęcia rentgenowskiego. 
Ryc. 5. Obraz z kamery DIAGNOcam. Ząb 25.
Ale już na powierzchni dystalnej, w obrębie szkliwa, w obrazie kamery można dostrzec ciemniejszy trójkąt. Na zdjęciu skrzydłowo-zgryzowym zresztą też… Obraz z kamery tylko potwierdził obserwacje dokonane na podstawie tego zdjęcia. Demineralizacja nie przekracza granicy szkliwno-zębinowej, pozostawiamy więc do obserwacji i udzielamy pacjentce odpowiednich instrukcji.
Przechodzimy jednak do zęba 45. Zdjęcie rentgenowskie (ryc. 2) nie daje jednoznacznej odpowiedzi na odwieczne pytanie nurtujące lekarzy dentystów: preparować czy nie? Jednak obraz z kamery DIAGNOcam zupełnie zmienia sytuację (ryc. 6).
Ryc. 6. Obraz z kamery DIAGNOcam. Ząb 45.
Ubytek na powierzchni dystalnej okazuje się całkiem duży, obejmuje znaczną część zębiny. Teraz nie ma już wątpliwości, że bez wypełnienia się nie obejdzie, a więc podajemy znieczulenie, zakładamy koferdam (ryc. 7) i przystępujemy do opracowania. Po usunięciu amalgamatu w dystalnej części ubytku widać ciemniejszą zębinę (ryc. 8). Usuwamy dystalną listewkę szkliwa i już widać wyraźne odwapnienie (ryc. 9). Dalej jest tylko ciemniej i głębiej (ryc. 10 i 11).
Ryc. 7. Ząb 45 przed usunięciem wypełnienia amalgamatowego.
Ryc. 8. Ząb 45 po usunięciu wypełnienia amalgamatowego.
Ryc. 9. Ząb 45 po częściowym otwarciu ubytku.
Ryc. 10. Ząb 45 z częściowo opracowanym ubytkiem próchnicowym kl. II D.
Ryc. 11. Ząb 45 po opracowaniu ubytku kl. II D.
W przypadku zęba 45 wyraźnie widać, że DIAGNOcam się sprawdził, gorzej ze zdjęciem skrzydłowo-zgryzowym. Teraz pozostało już tylko założenie formówki (ryc. 11), wypełnienie ubytku, w tym przypadku nanohybrydowym materiałem kompozytowym Harmonize (Kerr) (ryc. 12 i 13), dostosowanie wypełnienia i wypolerowanie (ryc. 14). Chociaż to jeszcze nie wszystko. Ostatnią czynnością powinno być zmotywowanie pacjentki do codziennego stosowania nici dentystycznej. Obrazy z DIAGNOcamu świetnie się do tego nadają.
Ryc. 12. Ząb 45 po założeniu formówki jednościennej i klina.
Ryc. 13. Odtworzenie ściany stycznej w zębie 45 nanohybrydowym materiałem kompozytowym Harmonize Enamel A3.
Ryc. 14. Ubytek w zębie 45 bezpośrednio po wypełnieniu materiałem Harmonize Enamel A3.
Ryc. 15. Ząb 45 po leczeniu.
Ubytki próchnicowe, które powstają na powierzchniach stycznych, mogą stanowić wyzwanie diagnostyczne. Sama ocena wizualna, nawet z powiększeniem, bywa niewystarczająca. Również zdjęcia skrzydłowo-zgryzowe mogą nie rozwiać wątpliwości. Jeśli tylko istnieje taka możliwość, warto skorzystać z kamery DIAGNOcam z technologią DIFOTI, diagnostyka próchnicy stanie się prostsza i dokładniejsza.
PIŚMIENNICTWO
- Tagliaferro E. i wsp.: Diagnosis in dental practices: results from dentists in a Brazilian community. Oper. Dent., 2018. doi: 10.2341/18-034-C
- Signori C. i wsp.: Decision-making of general practitioners on interventions at restorations based on bitewing radiographs. J. Dent., 2018, 76, 109-116.
- Pakbaznejad Esmaeili E. i wsp.: Low reproducibility between oral radiologists and general dentists with regards to radiographic diagnosis of caries. Acta Odontol. Scand., 2018, 76, 5, 346-350.
- Abdelaziz M., Krejci I.: DIAGNOcam--a Near Infrared Digital Imaging Transillumination (NIDIT) technology. Int. J. Esthet. Dent., 2015, 10, 1, 158-165.
- Schaefer G. i wsp.: Evaluation of occlusal caries detection and assessment by visual inspection, digital bitewing radiography and near-infrared light transillumination. Clin. Oral Investig., 2018. doi: 10.1007/s00784-018-2512-0.
- Söchtig F., Hickel R., Kühnisch J.: Caries detection and diagnostics with near-infrared light transillumination: clinical experiences. Quintessence Int., 2014, 45, 6, 531-538.