Jan Nienartowicz, Ewa Zawiślak
Katedra i Klinika Chirurgii Szczękowo-Twarzowej
Uniwersytetu Medycznego im. Piastów Śląskich we Wrocławiu
ARTYKUŁ UKAZAŁ SIĘ W MS 11/2018
Wstęp
Podchloryn sodu (NaOCl) jest szeroko stosowanym środkiem chemicznym głównie jako preparat dezynfekujący. Występuje w formie płynnej jako roztwór wodny o odpowiednim stężeniu i silnie alkaicznym odczynie (pH 1,5-12,5). Otrzymywany jest poprzez chlorowanie wodorotlenku sodu w zakładach chemicznych lub poprzez elektrolizę soli kuchennej.
Historia podchlorynu sodowego sięga 200 lat, kiedy to francuski chemik C.L. Berthollet w XVIII wieku wytworzył pierwszy podchloryn w postaci podchlorynu potasowego (KOCl) (1). Pod koniec XIX wieku Louis Pasteur dostrzegł skuteczność podchlorynu w zwalczaniu organizmów chorobotwórczych. Podczas I wojny światowej wprowadzono 5% roztwór podchlorynu sodu, znany również jako płyn Dakina, stosowany do odkażania ran wojennych, szczególnie tych powikłanych zakażeniem zgorzelą gazową (2). W endodoncji stosowane są stężenia do 6,0% podchlorynu sodu (NaOCl) podczas chemo-mechanicznego opracowania kanałów korzeniowych (3).
Działanie bakteriobójcze występuje już w stężeniu 1%, jednak dobre właściwości lityczne (rozpuszczanie martwych tkanek) podchloryn posiada w stężeniach znacznie wyższych (4). Podchloryn sodowy ze względu na silnie alkaliczny odczyn jest substancją silnie drażniącą i uszkadzającą żywe tkanki (5).
Przygotowanie płynów do płukania kanałów korzeniowych w trakcie leczenia endodontycznego (umieszczanie ich w strzykawce) powinno odbywać się ex tempore przy pacjencie, aby uniknąć pomyłki. Ponadto obowiązuje stosowanie oznaczeń na strzykawkach ze środkami do irygacji kanałów korzeniowych oraz stosowanie igieł typu Luer-Lock z bocznym otworem płuczącym, tępo zakończonych. Tępo zakończona igła irygacyjna technicznie utrudnia omyłkową iniekcję w tkanki miękkie oraz przedostanie się środka płuczącego przez otwór wierzchołkowy korzenia zęba (6, 7).
Środki zneczulenia miejscowego stosowane obecnie w stomatologii to głównie aminoamidy w postaci chlorowodorków. Przedstawicielem grupy jest lidokaina (lignocainum), stosowana w roztworach 1% i 2% z dodatkiem lub bez środka naczyniozwężającego (noradrenaliny). Kolejnymi szeroko stosowanymi lekami znieczulenia miejscowego (LZM) są artykaina, mepiwakaina i rzadziej bupiwakaina, konfekcjonowane w ampułki do strzykawek bezpiecznych typu karpula. Jedynie lidokaina oraz bupiwakaina są dostępne w prostych ampułkach ze względu na szerokie ich zastosowanie w lecznictwie zamkniętym. Są środkami zarejestrowanymi w Polsce do znieczuleń podpajęczynówkowych stosowanych w anestezjologii (8).
Lidokaina i bupiwakaina w ampułkach wymagają przed wykonaniem znieczulenia miejscowego w warunkach ambulatoryjnych nabrania ich do strzykawki. Tutaj może dojść do pomyłki ze środkiem przygotowanym do irygacji kanałów korzeniowych.
Opis przypadku
Na ostry dyżur Szpitalnego Oddziału Ratunkowego karetką typu „P” przywieziono 29-letnią kobietę bezpośrednio z gabinetu stomatologicznego. Z wywiadu od zespołu ratowników uzyskaliśmy informację, że w gabinecie stomatologicznym doszło do iniekcji w tkanki miękkie prawego policzka substancji, która po podaniu okazała się nie być środkiem znieczulenia miejscowego. Chora trafiła na SOR bez dokładnej informacji od lekarza stomatologa, w jakiej ilości i jakim stężeniu podano omyłkowo podchloryn sodu. Pacjentka zgłosiła, że natychmiast po zaaplikowaniu pojawiły się silne dolegliwości bólowe i szybko narastający obrzęk policzka. Kilka minut po tym wydarzeniu, przy przyjęciu na oddział, w badaniu klinicznym pacjentki stwierdzono mocno nasilony obrzęk tkanek miękkich policzka, wargi górnej oraz okolicy podoczodołowej po stronie prawej. Ponadto stwierdzono niedoczulicę skóry policzka prawego i wargi górnej po tej stronie (ryc. 1a, 1b).
Ryc. 1a. Obraz kliniczny pacjentki bezpośrednio po przywiezieniu na SOR przez zespół ratowników medycznych. Widok en face.

Ryc. 1b. Obraz kliniczny pacjentki bezpośrednio po przywiezieniu na SOR przez zespół ratowników medycznych. Widok z półprofilu.
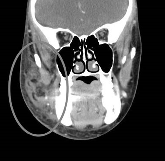
W trybie ostrego dyżuru wykonano badanie tomografii komputerowej twarzoczaszki ze wzmocnieniem kontrastowym oraz podstawowe badania laboratoryjne. W badaniach laboratoryjnych nie stwierdzono podwyższonych markerów charakterystycznych dla infekcji. Badanie tomografii komputerowej uwidoczniło naciek tkanek miękkich policzka prawego od zęba 12 do 17. Nie stwierdzono masywnych cech rozpadu tkanek ani kolekcji płynowych pochodzących z chemicznego rozpadu i upłynnienia uszkodzonych tkanek. Występowały liczne pęcherzyki powietrza w tkankach miękkich prawej strony twarzy, klinicznie wywołujące objaw krepitacji (crepitatio) (ryc. 2a, 2b, 2c).

Ryc. 2a. Wybrany przekrój czołowy tomografii komputerowej ze wzmocnieniem kontrastowym. Zaznaczono zmienione tkanki miękkie.

Ryc. 2b. Wybrany przekrój czołowy tomografii komputerowej ze wzmocnieniem kontrastowym. Zaznaczono zmienione tkanki miękkie.

Ryc. 2c. Wybrany przekrój osiowy tomografii komputerowej ze wzmocnieniem kontrastowym. Zaznaczono zmienione tkanki miękkie i pęcherzyki gazu w tkankach miękkich.
Wobec powyższego odstąpiono od leczenia chirurgicznego i zastosowano leczenie zachowawcze. Wdrożono antybiotykoetarpię – Zinacef 1,5 g i.v. co 8 h, Metronidazol 500 mg i.v. co 8 h, leczenie przeciwzapalne i przeciwbólowe – Ketonal 0,1 g co 12 h, płynoterapię 500 ml PWE co 12 h oraz zimne okłady na twarz. W kolejnych dniach obserwowano poprawę stanu ogólnego i miejscowego. Doszło do zmniejszenia obrzęku, stopniowego powrotu czucia w zakresie skóry prawej połowy twarzy, poprawy mimiki i pojawienia się podbiegnięć krwawych (ryc. 3).

Ryc. 3. Obraz kliniczny w trakcie hospitalizacji.
W kontrolnych badaniach laboratoryjnych nie stwierdzono również podwyższonego stężenia markerów stanu zapalnego, wskazujących na infekcję wtórną uszkodzonych tkanek, chora nie gorączkowała. Wobec powyższego, w 5. dobie hospitalizacji pacjentkę wypisano do domu z odpowiednimi zaleceniami. Chora kontynuowała doustną antybiotykoterapię przez 7 dni, przyjmowała leki przeciwbólowe, stosowała zimne okłady. Polecono wykonywanie ćwiczeń mimicznych twarzy przed lustrem co najmniej 5 razy dziennie przez 2 tygodnie. Ostatnia kontrola w ambulatorium kliniki odbyła się 10 dni po incydencie iniekcji NaOCl. Stan chorej był dobry, wymagała ona jednak jeszcze rehabilitacji mimicznej i leczenia zachowawczego (ryc. 4a, 4b).
Ryc. 4a. Obraz kliniczny na wizycie kontrolnej w ambulatorium kliniki po tygodniu od wypisu ze szpitala. Widok en face.
Ryc. 4b. Obraz kliniczny na wizycie kontrolnej w ambulatorium kliniki po tygodni od wypisu ze szpitala. Widok z półprofilu.
Omówienie
Podchloryn sodu (NaOCl) jest powszechnie stosowanym środkiem chemicznym do odkażania kanałów korzeniowych zęba podczas leczenia endodontycznego. Substancja w kontakcie z żywymi tkankami jest jednak środkiem silnie drażniącym i uszkadzającym tkanki żywe. Dlatego jej stosowanie wymaga należytej ostrożności.
Powikłania w formie podrażnienia tkanek okołowierzchołkowych NaOCl w trakcie irygacji systemu kanałów korzeniowych są szeroko omawiane w literaturze. Objawy uszkodzenia tkanek okołowierzchołkowych wydają się typowe i określane są kryteriami Hülsmanna.
Kryteria Hülsmanna objemują: 1) ostry ból, 2) obrzęk, 3) podbiegnięcie krwawe lub krwiak, 4) obfite krwawienie z tkanek okołowierzchołkowych, 5) parezę – zaburzenia czucia okolicy dotkniętej podrażnieniem, 6) wtórną infekcję tkanek (9).
Podanie niewłaściwego leku należy do najczęściej występujących tzw. zdarzeń niepożądanych w przebiegu leczenia pacjentów, ale jednocześnie do najrzadziej raportowanych.
Zdarzenie niepożądane należy rozumieć wg definicji Komisji Europejskiej jako szkodę wywołaną w trakcie diagnostyki i/lub leczenia, która jest niezwiązana z naturalnym przebiegiem choroby i stanem zdrowia pacjenta (11). Zdarzenia niepożądane występują na całym świecie, a ich całkowita eliminacja jest niemożliwa. Można jedynie zmniejszyć ryzyko ich wystąpienia. WHO podejmuje starania na rzecz bezpieczeństwa pacjenta od 2004 roku w formie programów edukacyjnych dla lekarzy i studentów (inauguracja programu „Bezpieczeństwo pacjenta” na studiach medycznych w Polsce 24-25.10.2016 roku).
Aby uniknąć pomyłek podczas iniekcji środka znieczulenia miejscowego, należy stosować ampułki przeznaczone do strzykawek typu karpula z roztworami środków do znieczuleń miejscowych, a nie przenosić leku do nieoznaczonych strzykawek.
Wydaje się to tak proste i oczywiste, aby zapobiegać tego rodzaju zdarzeniom. Jednak bezpieczeństwo pacjenta wymaga opracowania, wdrożenia i przestrzegania procedur, które są znane całemu personelowi. Przy występowaniu zdarzeń niepożądanych zawodzi tzw. czynnik ludzki. Pojęcie to stosuje się do opisania interakcji między osobami w pracy, ich zadaniami, wykorzystywanym przez nie sprzętem oraz systemem i środowiskiem pracy. Nierzadko to lekarz i personel stają się najsłabszym ogniwem ze względu na przemęczenie, pośpiech, brak koncentracji, nieprawidłowe nawyki i przyzwyczajenia, rutynę, brak wyobraźni, brak dobrej współpracy zespołowej. Częstość występowania zdarzeń niepożądanych świadczy o jakości opieki zdrowotnej. Im więcej różnych zdarzeń, tym gorsza jakość opieki i więcej roszczeń pacjentów.
PIŚMIENNICTWO
1. Baranowska M., Chojnowski W., Nowak H.: Nauki inżynierskie i technologie. Wydawnictwo Uniwersytetu Ekonomicznego we Wrocławiu, Wrocław 2014, 4, 15.2. Dakin H.D.: On the use of certain antiseptic substances in treatment of wounds. Br. Med. J., 1915, 2, 318-320.
3. Bystrom A., Sundqvist G.: Bacteriologic evaluation of the effect of 0.5 percent sodium hypochlorite in endodontic therapy. Oral Surg. Oral Med. Oral Pathol., 1983, 55, 307-312.
4. Siqueira J.F. i wsp.: Chemo-mechanical reduction of the bacterial population in the root canal after instrumentation and irrigation with 1%, 2.5%, and 5.25% sodium hypochlorite. J. Endod., 2000, 26, 331-334.
5. Regalado Farreras D.C., Puente C.G., Estrela C.: Oparzenie chemiczne podchlorynem sodu oka endodonty podczas wykonywania zabiegu leczenia kanałowego zęba z użyciem mikroskopu zabiegowego. J. Endod., 2014, 40, 8, 12751279.
6. Weber C.D. i wsp.: The effect of passive ultrasonic activation of 2% chlorhexidine or 5.25% sodium hypochlorite irrigant on residual antimicrobial activity in root canals. J. Endod., 2003, 29, 562-564.
7. Jeansonne M., White R.R.: A comparison of 2.0% chlorhexidine gluconate and 5.25% sodium hypochlorite as antimicrobial endodontic irrigants. J. Endod., 1997, 20, 276-278.
8. Kaczmarzyk T. i wsp.: Współczesna farmakoterapia w schorzeniach chirurgicznych jamy ustnej i tkanek okolicznych. Wydawnictwo Uniwersytetu Jagiellońskiego, Kraków 2006.
9. Hülsmann M., Hahn W.: Complications during root canal irrigation – literature review and case reports. Int. Endod. J., 2000, 33, 186-193.
10. Bowden J.R., Ethunandan M., Brennan P.A.: Life-threatening airway obstruction secondary to hypochlorite extrusion during root canal treatment. Oral Surg. Oral Med. Oral Pathol. Oral Radiol. Endod., 2006, 101, 402-404.
11. Dz.U. z 2001 r. Nr 126, poz. 1381 (art. 2, pkt 6).