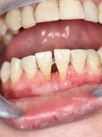
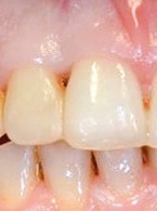
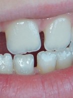
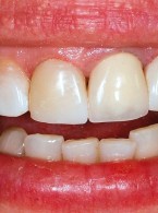
Pokrycie mnogich recesji dziąsłowych

metodą płata przesuniętego dokoronowo z wykorzystaniem przeszczepu podnabłonkowej tkanki łącznej i kolagenowego materiału ksenogennego po wcześniejszej rekonstrukcji połączenia szkliwno-cementowego - opis przypadku

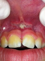
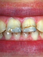
Dekoronacja

jako postępowanie zalecane w leczeniu pacjentów z postępującą pourazową infrapozycją zębów siecznych szczęki