Streszczenie
Etiologia mnogich recesji dziąsłowych jest przeważnie wieloczynnikowa, w związku z czym wymaga leczenia interdyscyplinarnego. W pracy przedstawiono opis przypadku zaawansowanych recesji dziąsła, którego leczenie polegało na ortodontycznym wprowadzeniu zębów w obszar koperty wyrostka zębodołowego i chirurgicznym pokryciu recesji dziąsła.
![]() |
![]() |
|
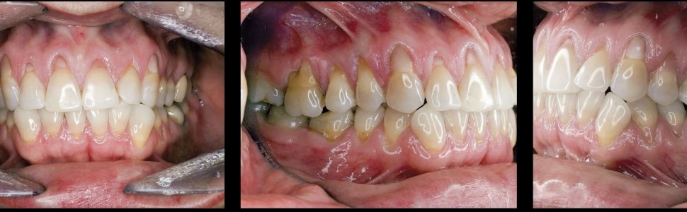
| Pacjentka w wieku 40 lat przed leczeniem. Mnogie (wysokie i szerokie) recesje dziąsła, ryc. 1 | Pacjentka w wieku 40 lat przed leczeniem. Mnogie (wysokie i szerokie) recesje dziąsła, ryc. 2 | |
![]() |
||
| Pacjentka w wieku 40 lat przed leczeniem. Mnogie (wysokie i szerokie) recesje dziąsła, ryc. 3 | ||
Abstract
The etiology of multiple gingival recession is usually multifactorial and therefore requires interdisciplinary treatment. The paper presents a case of advanced gingival recession in which treatment consisted of orthodontic teeth movement into the alveolar bone envelope and surgical coverage of gingival recession.
| Zabieg pokrycia recesji w okolicy zębów 16-26 dwoma przeszczepami tkanki łącznej. Przed zabiegiem odbudowano CEJ w tych zębach, w których doszło do jego zniszczenia |
||
![]() |
![]() |
|
| Ryc. 7 | Ryc. 8 | |
Hasła indeksowe: mnogie recesje dziąsłowe, leczenie
Key words: multiple gingival recessions, treatment
| Status tkanek miękkich po zakończeniu interdyscyplinarnego leczenia ortodontyczno-periodontologicznego | ||
![]() |
![]() |
|
| Ryc. 11 | Ryc. 12 | |
![]() |
||
| Ryc. 13 | ||







