Rekonstrukcja zwarcia

Rekonstrukcja zwarcia
 

lek. dent. Danuta Bukowska
Praktyka Prywatna w Łodzi

Opis przypadku
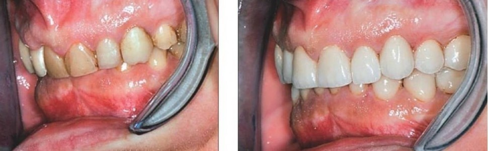
Pacjentka, lat 42, zgłosiła się do gabinetu autorki z powodu uszkodzenia licówek wykonanych w innym gabinecie stomatologicznym. Przeprowadzony wywiad ujawnił, że kilka lat wcześniej była leczona ortodontycznie. Podczas leczenia usunięto jej wszystkie cztery zęby przedtrzonowe pierwsze. Po pewnym czasie  od zakończenia leczenia ortodontycznego doszło do starcia powierzchni podniebiennych zębów siecznych  górnych oraz brzegów siecznych zębów dolnych. Na skutek starcia powierzchni podniebiennych brzegi sieczne zębów górnych uległy uszkodzeniu i pojawił się problem estetyczny. Pacjentka zgłosiła się do lekarza dentysty z prośbą o poprawę estetyki. Wykonano jej licówki ceramiczne na zęby 13‑23. Z wywiadu wynikało, że w krótkim czasie uległy one uszkodzeniu i lekarz wymieniał je sukcesywnie na licówki kompozytowe. Żywot licówek kompozytowych również nie był zbyt długi. W końcu doszło do głębokiego złamania korony zęba 12 i konieczności ekstrakcji korzenia. Podjęto decyzję o wprowadzeniu implantu. Na tym etapie pacjentka trafiła „w moje ręce”.
Po przeprowadzeniu badania wewnątrzustnego stwierdzono zgryz głęboki z retruzją zębów siecznych. Podczas badania mięśni żucia nie odnotowano ich bolesności. Badanie ruchów żuchwy w granicach normy – rozwarcie – 46 mm, ruch boczny w prawo – 11 mm, ruch boczny w lewo – 11 mm. Tylko ruch protruzyjny był ograniczony. Tor otwarcia był prosty. Pacjentce założono deprogramator na ok. pół godziny. Z uwagi na głębokie zachodzenie na siebie zębów siecznych deprogramatorem z wyboru był Lucia Jig do klasy II (Great Lakes Orthodontics). Zamocowano go na zębach pacjentki z użyciem masy do rejestracji zwarcia Correct Bite (Pentron), która po stwardnieniu jest dość sztywna. Jeśli po upływie kilkunastu minut widać, że żuchwa wykonuje płynnie ruchy otwierania i zamykania, przeprowadza się rejestrację zwarcia w pozycji relacji centralnej, prowadząc żuchwę rękoczynem Dawsona. Rejestracji dokonano z użyciem wosku Denar firmy Whip Mix. Wykonano trzy rejestraty w celu sprawdzenia poprawności wyznaczenia relacji centralnej po zamontowaniu modeli w artykulatorze. Następnie pobrano wyciski dwuwarstwowe dwuczasowe masą Correct Plus (Pentron). Łukiem twarzowym Denar Slidematic Whip Mix zarejestrowano położenie szczęki w stosunku do płaszczyzny horyzontalnej. Stan przed leczeniem i przebieg leczenia dokumentują ryciny 1‑9.



Modele zostały odlane w pracowni techniki dentystycznej z twardego gipsu klasy IV. Model górny oprawiono w artykulatorze Denar Mark 320 (Whip Mix) według rejestracji łukiem twarzowym, natomiast model dolny zgodnie z woskowym rejestratem w relacji centralnej (ryc. 10, 11, 12).



Przeanalizowano w artykulatorze kierunek poślizgu centrycznego i zaplanowano leczenie. Wykonano woskowanie na modelu i z użyciem przejrzystej masy wyciskowej TempSpan Clear Matrix (Pentron) przeniesiono zaplanowane leczenie do jamy ustnej pacjentki, wykorzystując do tego celu kompozyt dualny Build ‑It (Pentron).
Po sześciu miesiącach pacjentka zgłosiła się do gabinetu w celu wykonania pracy protetycznej ostatecznej. Użytkowana przez nią odbudowa tymczasowa pod względem funkcjonalnym okazała się komfortowa. Na jej bazie zaplanowano sporządzenie pracy ostatecznej – koron pełnoceramicznych wykonanych w technice tłoczenia i dopalania (ryc. 13, 14).



Czapeczki wytłoczono z porcelany Avante (Pentron Ceramics) z tabletek do tłoczenia, a następnie z tej samej ceramiki dopalono kolejne warstwy. Najpierw wykonano pracę protetyczną w żuchwie, a następnie w szczęce. Prace zacementowano z użyciem cementu kompozytowego Cement‑It (Pentron) w technice totalnego trawienia w połączeniu z systemem wiążącym Bond‑1 (Pentron).

Czytaj więcej: w numerze 7-8/2017 MS