OPIS PRZYPADKU
Rozległa torbiel zawiązkowa żuchwy
Extensive dentigerous cyst of mandible – a case report
Paulina Adamska, Maria Mikołajska, Anna Janowska, Anna Starzyńska
Streszczenie
Torbiel zawiązkowa jest powszechnie występującą zmianą w obrębie kości szczęk, najczęściej związaną z zatrzymanymi trzecimi zębami trzonowymi żuchwy. Zmianę zazwyczaj wykrywa się przypadkowo, podczas rutynowych badań radiologicznych. W niniejszej pracy przedstawiono opis leczenia pacjentki z rozległą torbielą zawiązkową zlokalizowaną w trzonie, kącie i gałęzi żuchwy za pomocą wyłuszczenia zmiany.
Abstract
A dentigerous cyst is a common lesion within the jaw bones, most commonly associated with impacted mandibular third molars. The cyst is usually found incidentally during routine radiological examinations. This paper presents a case of the treatment of a patient with an extensive dentigerous cyst located in the body, angle and ramus of the mandible.
Hasła indeksowe: torbiel zawiązkowa, wyłuszczenie torbieli, CBCT, tomografia komputerowa wiązki stożkowej
Key words: dentigerous cyst, enucleation of the cyst, CBCT, cone beam computed tomography
Wstęp
Torbiel zawiązkowa (dentigerous cyst – DC) jest drugą co do częstości występowania torbielą kości szczęk po torbieli korzeniowej. Najczęściej jest rozpoznawana między 10. a 40. r.ż. (1, 2). Torbiel zawiązkowa jest związana głównie z zatrzymanym zębem. Lokalizacja DC w tym przypadku dotyczy w większości trzecich zębów trzonowych żuchwy, następnie górnych kłów, dolnych zębów przedtrzonowych i górnych zębów mądrości. Zapalną torbiel zawiązkową notuje się przede wszystkim w 1. dekadzie życia. Jest spowodowana zakażeniem mieszka zęba stałego, do którego dochodzi w następstwie martwicy miazgi zęba mlecznego. Do rozwoju tej postaci dochodzi najczęściej przy zębach przedtrzonowych żuchwy (1, 2).
Do wzrostu DC dochodzi zazwyczaj bezobjawowo, a zmiana jest wykrywana przypadkowo w badaniach radiologicznych, może się powiększać i powodować rozdęcie kości, a nawet patologiczne złamania. Innym objawem może być brak stałego zęba w łuku. W diagnostyce obrazowej torbiel zawiązkowa przedstawia się jako jednokomorowy ubytek ograniczony osteosklerotyczną otoczką i obejmujący koronę zęba zatrzymanego (2-4). Do oceny rozległości zmiany oraz ewentualnej destrukcji blaszki zbitej powinna być stosowana tomografia komputerowa wiązki stożkowej (cone beam computed tomography – CBCT) (5-7).
Leczeniem z wyboru jest wyłuszczenie zmiany. W przypadku torbieli rozwojowej, obejmującej trzeci ząb trzonowy, wykonuje się wyłuszczenie torbieli wraz z usunięciem zęba. Gdy zmiana obejmuje zęby, które mają pozostać w jamie ustnej, po wyłyżeczkowaniu torbieli należy przez 3 miesiące obserwować postęp erupcji zęba, a w przypadku niepowodzenia – wdrożyć próbę ortodontycznego wprowadzenia zęba do łuku lub usunąć ząb przyczynowy. W sytuacji rozległej zmiany można zastosować leczenie dwuetapowe składające się z dekompresji, a następnie wyłyżeczkowania torbieli po jej uprzednim zmniejszeniu. Leczenie za pomocą marsupializacji jest niezalecane. U każdego pacjenta należy pobrać materiał do badania histopatologicznego (2, 3, 8-10).
Celem pracy jest opis leczenia poprzez wyłuszczenie zmiany u pacjentki z rozległą torbielą zawiązkową zlokalizowaną w trzonie, kącie i gałęzi żuchwy.
Opis przypadku
Do Poradni Chirurgii Stomatologicznej Uniwersyteckiego Centrum Stomatologicznego Gdańskiego Uniwersytetu Medycznego skierowano 60-letnią pacjentkę w celu leczenia rozległej zmiany w obrębie żuchwy (listopad 2020). W badaniu podmiotowym pacjentka podała, iż występują samoistne dolegliwości bólowe okolicy prawego kąta i gałęzi żuchwy.
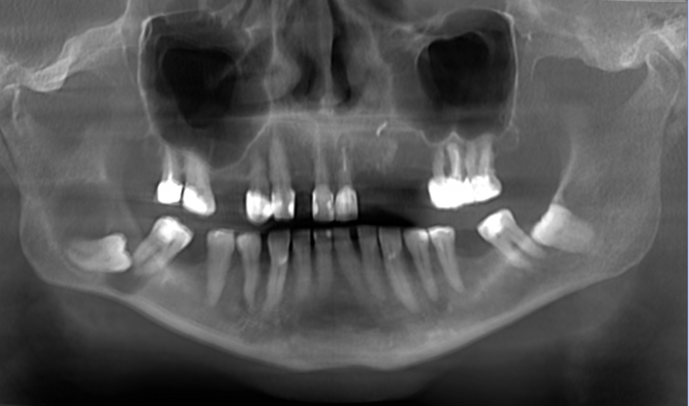
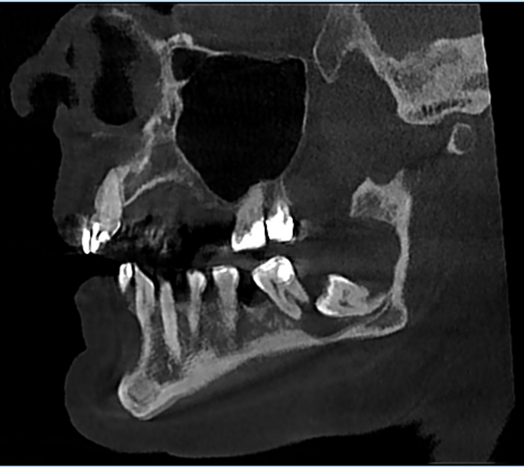
Pacjentka przyjmowała na stałe rywaroksaban i kwas acetylosalicylowy z powodu zakrzepicy żył głębokich kończyn dolnych oraz leki na nadciśnienie tętnicze – walsartan i amlodypinę. W badaniu zewnątrzustnym nie stwierdzono odchyleń od normy. W badaniu wewnątrzustnym stwierdzono chełbotanie wyczuwalne od strony przedsionkowej i językowej po stronie prawej żuchwy. W badaniu CBCT stwierdzono zmianę o charakterze osteolitycznym wielkości 43 mm × 41 mm × 12 mm (w największym wymiarze), która zajmowała prawy trzon, kąt i gałąź żuchwy oraz obejmowała drugi (ząb 47) oraz trzeci ząb trzonowy (ząb 48). Zmiana perforowała blaszkę zbitą od strony przedsionkowej i językowej (ryc. 1). Zaplanowano zabieg w znieczuleniu miejscowym. Dobę przed zabiegiem u pacjentki wdrożono antybiotykoterapię w postaci klindamycyny (300 mg), stosowanej co 8 godzin.


Ryc. 1. Badanie CBCT: a) rekonstrukcja pantomograficzna; b) przekrój poprzeczny; c) przekrój strzałkowy – widoczna zmiana o charakterze osteolizy, związana z zatrzymanym zębem 48 (listopad 2020).
W znieczuleniu nasiękowym i przewodowym z zastosowaniem dentocaine 4% (podano 4 ampułki) usunięto minimalnie inwazyjnie ząb 47. Następnie wykonano płat śluzówkowo-okostnowy i dotarto do jamy torbieli. Usunięto ząb 48 oraz wyłuszczono zmianę, którą następnie oddano do badania histopatologicznego. Ranę zaopatrzono szwami 4-0 oraz opatrunkiem chirurgicznym (ryc. 2).
Ryc. 2. Zdjęcia śródzabiegowe: a) okolica operowana; b) stan po usunięciu zęba 47; c) wykonanie płata śluzówkowo-okostnowego, widoczny ząb 48; d) wyłuszczenie zmiany, obecna gruba torebka łącznotkankowa; e) loża pozabiegowa; f) usunięte zęby 47 i 48; g) stan pozabiegowy; h) aspirat ze zmiany (grudzień 2020).
Pacjentce założono taśmy Kinesio po stronie operowanej w celu zmniejszenia obrzęku pozabiegowego. Zalecono kontynuację antybiotykoterapii oraz leki przeciwbólowe. W razie krwawienia zlecono kwas traneksamowy – 100 mg/ml do stosowania w przymoczkach.
Badanie histopatologiczne wykazało obecność tkanki łącznej, nabłonka paraepitelialnego oraz nasilony odczyn zapalny, co odpowiada obrazowi torbieli zawiązkowej w przewlekłym stanie zapalnym.
W trzeciej dobie pacjentka stawiła się na wizytę kontrolną. Pacjentka zgłaszała niewielkie dolegliwości bólowe. W okolicy gałęzi, kąta żuchwy oraz szyi po stronie operowanej występowało podbiegnięcie krwawe. Gojenie przebiegało prawidłowo, czucie po stronie zabiegu nie było zaburzone. W 7. dobie po zabiegu chora w dalszym ciągu zgłaszała niewielkie dolegliwości bólowe.
Po 6 miesiącach od zabiegu w badaniu klinicznym nie stwierdzono dolegliwości bólowych, a w badaniu pantomograficznym obserwowano gojenie loży po wyłuszczonej torbieli (ryc. 3).
Ryc. 3. Kontrolne badanie pantomograficzne wykonane 6 miesięcy od zabiegu – widoczne gojenie kości po stronie prawej (maj 2021).
Na kolejne badanie kontrolne pacjentka zgłosiła się po 1,5 roku od zabiegu. Nie zgłaszała żadnych dolegliwości bólowych. W badaniu klinicznym stwierdzono ciągłość blaszki zbitej gałęzi, trzonu i kąta żuchwy po stronie prawej. Wykonano badanie CBCT, które wykazało prawidłowe utkanie tkanki kostnej w obrębie gałęzi, kąta i trzonu żuchwy (ryc. 4 i 5).
Ryc. 4. Badanie CBCT, rekonstrukcje pseudotrójwymiarowe: po stronie lewej badanie przedzabiegowe (listopad 2020), po stronie prawej – badanie kontrolne po 1,5 roku od zabiegu (maj 2022).
Ryc. 5. Rekonstrukcje transsektalne: po stronie lewej badanie CBCT przedzabiegowe (listopad 2020), po stronie prawej badanie kontrolne po 1,5 roku od zabiegu (maj 2022) – pełne wygojenie kości.
Podsumowanie
Leczenie chirurgiczne pacjenta z rozległą torbielą w obrębie kości szczęk powinno być zaplanowane na podstawie badania tomografii komputerowej wiązki stożkowej. Dzięki temu zabieg może zostać wykonany precyzyjnie. Pacjenci muszą zostać poddani rutynowym kontrolom klinicznym i radiologicznym w celu oceny postępu gojenia.
Piśmiennictwo
- Thompson LD. Dentigerous cyst. Ear Nose Throat J. 2018; 97(3): 57.
- Quiroz-Quiroga MJ, González Valdivia H, Palazón Cabanes A i wsp. Amblyopia due a dentigerous cyst. Case report and literature review. J Fr Ophtalmol. 2021; 44(8): 1249-1255.
- Nahajowski M, Hnitecka S, Antoszewska-Smith J i wsp. Factors influencing an eruption of teeth associated with a dentigerous cyst. A systematic review and meta-analysis. BMC Oral Health. 2021; 21(1): 180.
- Lee JY. Dentigerous cyst associated with a supernumerary tooth. Ear Nose Throat J. 2020; 99(1): 32-33.
- Bonardi JP, Gomes-Ferreira PH, de Freitas Silva L i wsp. Large dentigerous cyst associated to maxillary canine. J Craniofac Surg. 2017; 28(1): e96-e97.
- Kim KS, Mun SK. Extensive dentigerous cyst associated with a mesiodens. CT findings. Ear Nose Throat J. 2013; 92(8): E6-E8.
- Daley TD, Wysocki GP. The small dentigerous cyst. A diagnostic dilemma. Oral Surg Oral Med Oral Pathol Oral Radiol Endod. 1995; 79(1): 77-81.
- Harada H, Kihara T, Abe H i wsp. Dentigerous cyst exhibiting prominent mucous cell metaplasia. Report of a unique case mimicking central mucoepidermoid carcinoma. Med Mol Morphol. 2021; 54(3): 253-258.
- Cury SE, Cury MD, Cury SE i wsp. Bilateral dentigerous cyst in a nonsyndromic patient. Case report and literature review. J Dent Child (Chic). 2009; 76(1): 92-96.
- Aoki N, Ise K, Inoue A i wsp. Multidisciplinary approach for treatment of a dentigerous cyst – marsupialization, orthodontic treatment, and implant placement. A case report. J Med Case Rep. 2018; 12(1): 305.