REPORTAŻ KLINICZNY
Odbudowa zębów przednich z wykorzystaniem innowacyjnej technologii ORMOCER®. Opis przypadku klinicznego
Reconstruction of front teeth using the innovative ORMOCER® technology. Clinical case report
Hanke Faust
Artykuł ukaże się w Dental Magazin 2023; 42(5).
Wstęp
Odbudowy bezpośrednie zapewniają nieskomplikowany zabieg, funkcjonalne rozwiązania oraz estetyczne rezultaty. Planując leczenie, należy wziąć pod uwagę życzenia pacjenta, z uwzględnieniem jego możliwości finansowych. Innowacyjna technologia ORMOCER® Admira Fusion 5 pozwala uzyskać bardzo estetyczne rezultaty z wykorzystaniem zaledwie pięciu odcieni, dzięki zoptymalizowanemu rozpraszaniu światła. Brak zawartości monomerów zapewnia doskonałą biozgodność preparatu.
Opis przypadku
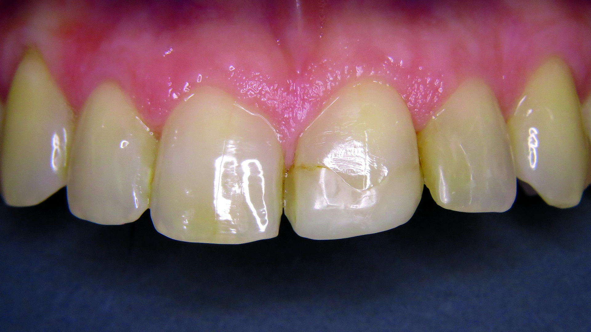
48-letnia pacjentka cierpiąca na alergię wywoływaną przez wiele czynników oraz z historią ataków padaczki w wywiadzie zgłosiła się z życzeniem szybkiego zaplanowania i wykonania estetycznej odbudowy zęba 21, leczonego 10 lat wcześniej (ryc. 1). Zaproponowano pacjentce wykonane analogowo lub cyfrowo uzupełnienie protetyczne lub odbudowę z wykorzystaniem kompozytu opartego na technologii ORMOCER®. Uwzględniając choroby towarzyszące, zdecydowano się zastosować izolację względną. Właściwym dla pacjentki rozwiązaniem okazała się bezpośrednia odbudowa zachowawcza z wykorzystaniem Admira Fusion 5 (VOCO GmbH, Niemcy), gdyż preparat ten nie zawiera klasycznych monomerów. Oczekiwania pacjentki dotyczące estetycznej odbudowy w jak najkrótszym czasie mogły zostać spełnione dzięki wzmocnionemu efektowi kameleona.
Ryc. 1. Pierwotna sytuacja kliniczna – wadliwa rekonstrukcja.
Diagnoza
W aspekcie klinicznym stwierdzono w zębie 21 wadliwe wypełnienie z przebarwieniem brzegów i szczeliną brzeżną. Ząb charakteryzował się I stopniem ruchomości, nie był wrażliwy na opukiwanie i nie wykazywał zmian w przyzębiu.
Leczenie
Z gamy odcieni klastrowych wybrano odcień A2 (ryc. 2). Następnie pobrano wycisk masą V-Posil Putty Fast (VOCO GmbH, Niemcy) w celu stworzenia modelu gipsowego. Z materiału Registrado Clear (VOCO GmbH, Niemcy) wykonano indywidualny klucz silikonowy do nadbudowy powierzchni podniebiennej (ryc. 3). 
Ryc. 2. Łatwy dobór odcienia.
Ryc. 3. Wykonanie indeksu silikonowego.
Podano miejscowe znieczulenie nasiękowe preparatem Ultracain D bez adrenaliny (Sanovi-Aventis GmbH, Niemcy), po czym oczyszczono zęby przednie pastą Cleanic bez fluoru (KERR GmbH, Niemcy). Wadliwe wypełnienie usunięto wiertłem z nasypem diamentowym i różyczką, kontrolując dostęp wilgoci (ryc. 4).
Ryc. 4. Stan po usunięciu odbudowy.
Ząb opracowano zgodnie z zasadami techniki adhezyjnej ze ścięciem pod kątem krawędzi stycznych szkliwa i zapewnieniem ochrony tkanek twardych. Następnie zastosowano technikę całkowitego wytrawiania z zastosowaniem 35% kwasu fosforowego Vococid (VOCO GmbH, Niemcy). Kwas nałożono na powierzchnię szkliwa na ok. 15 sekund (ryc. 5), a następnie na zębinę przez kolejne 15 sekund.
Ryc. 5. Wytrawiacz umieszczony na szkliwie.
Kwas fosforowy oraz wytrawione pozostałości wypłukano sprayem wodno-powietrznym przez 20 sekund. Ubytek następnie osuszono strumieniem powietrza (ryc. 6). Aby uzyskać wysoką siłę łączenia i uniknąć powstania szczeliny brzeżnej, zastosowano preparat Admira Bond (VOCO GmbH, Niemcy). System wiążący wtarto równomiernie w powierzchnię szkliwa i zębiny przez 30 sekund, stosując mikrobrush (ryc. 7), a następnie osuszono delikatnym strumieniem powietrza i utwardzono światłem lampy przez 20 sekund.
Ryc. 6. Wytrawiony ubytek przed nałożeniem systemu wiążącego.
Ryc. 7. Nakładanie systemu wiążącego aplikatorem microbrush.
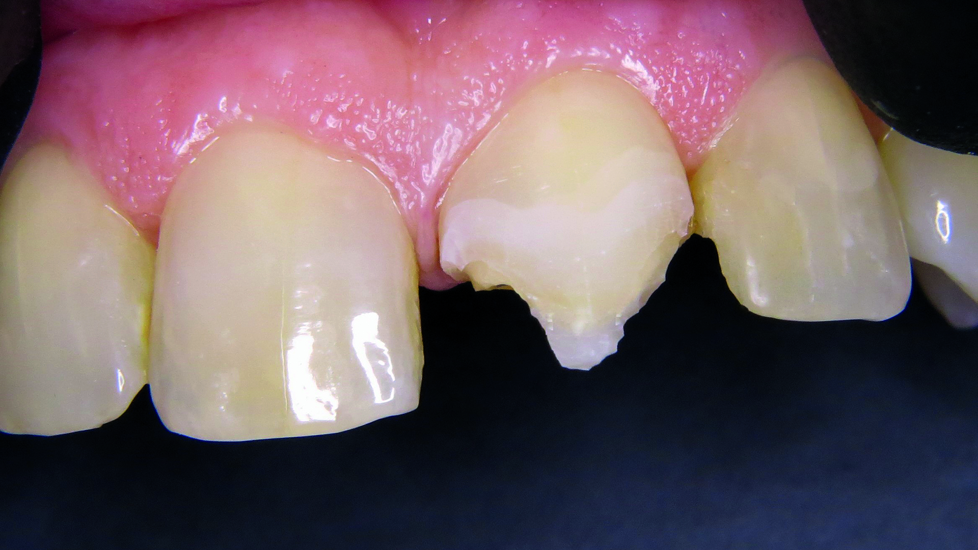
Przed nałożeniem materiału do wypełnień Admira Fusion 5 sprawdzono, czy powierzchnie ubytku zostały równomiernie pokryte Admira Bond, zwracając uwagę na równomierny połysk warstwy systemu wiążącego. Widoczne, matowe powierzchnie należy wybiórczo pokryć dodatkową warstwą systemu wiążącego, aby uniknąć nadwrażliwości pozabiegowej.
Przy wykonaniu odbudowy zastosowano klucz silikonowy (ryc. 8). Wyjątkowa plastyczność Admira Fusion 5 zapewnia precyzję przy posługiwaniu się materiałem. Oznacza to łatwość nadania kształtu anatomicznego ścianie podniebiennej. Przy kształtowaniu wypełnienia w przestrzeniach międzyzębowych zastosowano przezroczyste paski, które zabezpieczono klinami. W trakcie zabiegu wykorzystano wyłącznie odcień A2 preparatu Admira Fusion 5, przy czym materiał nakładano warstwami o grubości 2 mm. Każdą warstwę utwardzono światłem lampy polimeryzacyjnej (1200 mW/cm2) przez 10 sekund. W trakcie utwardzania końcówkę światłowodu umieszczono maksymalnie blisko powierzchni materiału, aby zapewnić rekonstrukcji optymalne właściwości.
Ryc. 8. Nałożony indeks silikonowy.
Po wykonaniu odbudowy sprawdzono jej kształt i powierzchnię (ryc. 9). Wypełnienie opracowano wiertłami z nasypem diamentowym (czerwony i żółty pasek) (ryc. 10). Następnie przeprowadzono polerowanie wstępne z użyciem bardzo elastycznych krążków polerskich i pasków ściernych grubo- i drobnoziarnistych (Super-Snap, SHOFU Dental GmbH, Niemcy) przy jednoczesnej kontroli powierzchni stycznych oraz artykulacji z wykorzystaniem kalki Hanel Shimstock (Coltene Whaledent AG, Szwajcaria) (ryc. 11).
Ryc. 9. Ukształtowana odbudowa.
Ryc. 10. Opracowanie wiertłem z nasypem diamentowym.
Ryc. 11. Konturowanie krążkiem polerskim.
Polerowanie na wysoki połysk wykonano gumkami Dimanto (VOCO GmbH, Niemcy) przy prędkości 5000 obr./min. z chłodzeniem wodnym, stosując delikatny nacisk. Na koniec odbudowę dodatkowo wypolerowano pastą polerską CleanJoy (VOCO GmbH, Niemcy) (ryc. 12).
Ryc. 12. Końcowe polerowanie wypełnienia.
Rezultat
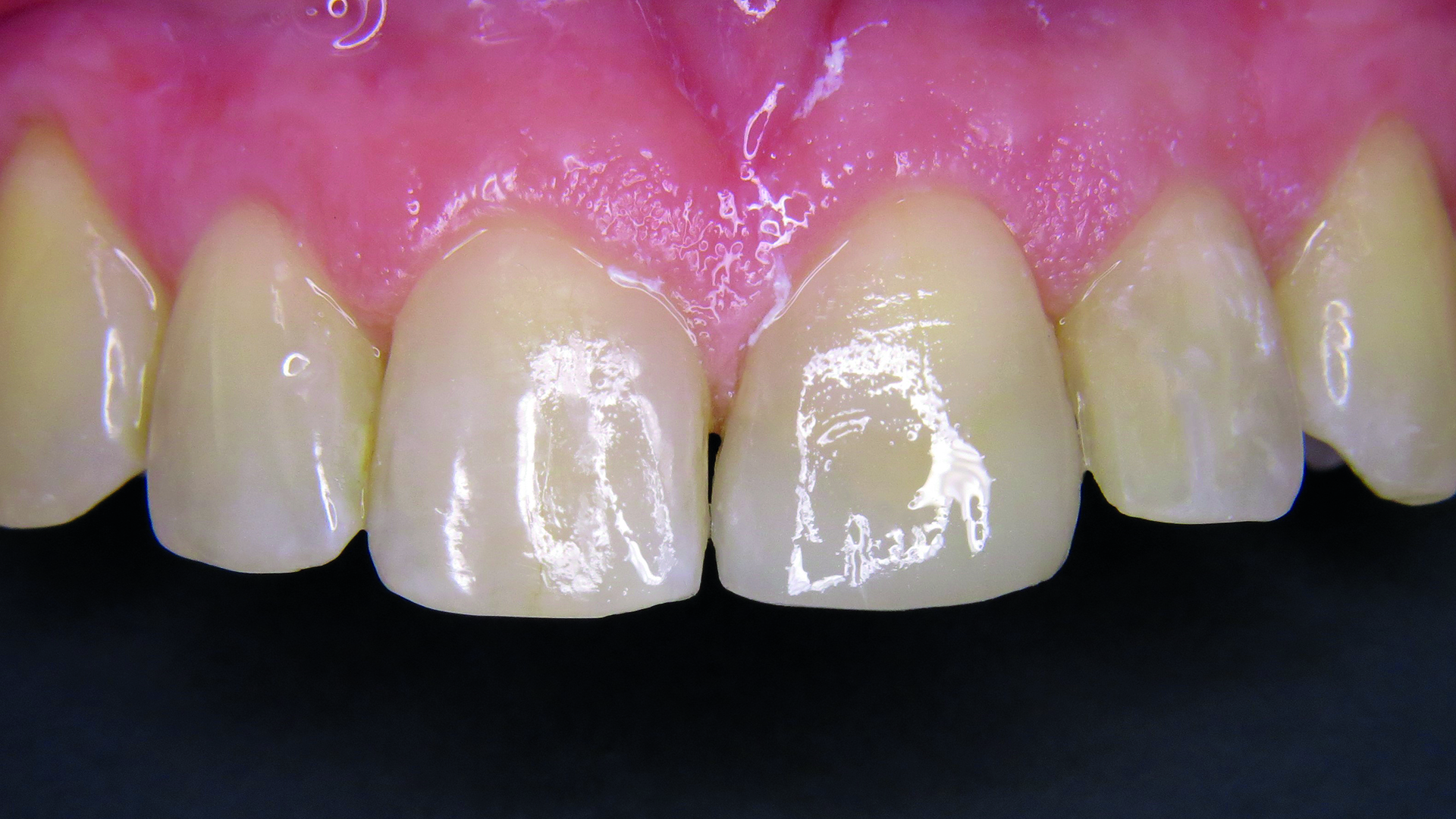
Pacjentka była bardzo zadowolona z uzyskanego efektu (ryc. 13). Przed leczeniem w zębie 21 znajdowało się wadliwe, przebarwione wypełnienie. Ze względu na choroby towarzyszące pacjentki konieczna była szybka i jednocześnie estetyczna odbudowa zęba przedniego, którą uzyskano dzięki zastosowaniu systemu Admira Fusion 5 z wykorzystaniem zaledwie jednego odcienia, bez zastosowania warstw o różnej przezierności. Po wypolerowaniu na wysoki połysk i fluoryzacji preparatem Bifluorid 10 (VOCO GmbH, Niemcy) uzyskano naturalny wygląd rekonstrukcji.
Ryc. 13. Efekt ostateczny – rekonstrukcja wykonana z użyciem Admira Fusion 5.
Omówienie
Pacjentka życzyła sobie szybkiej, niedrogiej, lecz estetycznej odbudowy zęba 21. W celu ochrony tkanek twardych zęba zdecydowano o zastosowaniu kompozytu/systemu ORMOCER® zamiast leczenia protetycznego.
Określenie prawidłowego odcienia zęba jest niezbędne, aby uzyskać estetyczne rekonstrukcje, co nie jest łatwym zadaniem w codziennej praktyce.
Na wybór odcienia mają wpływ różne czynniki, jak:
- kolorniki z tworzywa, zawierające ograniczoną gamę kolorów,
- indywidualne warunki oświetlenia,
- percepcja wzrokowa,
- a także różne gradienty koloru tkanek twardych zęba.
Admira Fusion 5 to całkowicie ceramiczny ORMOCER® oferujący zaledwie 5 odcieni, z których każdy zastępuje kilka odcieni Vita. Właściwości materiału zapewniają uzyskanie estetycznych rekonstrukcji w zębach przednich i bocznych. Jest to możliwe dzięki szczególnej adaptacji żywicy do wielkości i właściwości optycznych cząstek wypełniacza nanohybrydowego, które wpływają na optymalne rozpraszanie światła i wzmocnienie efektu kameleona. Zmieniając rozproszenie światła, można jednocześnie skrócić czas polimeryzacji.
Właściwości plastyczne są wyjątkowe – omawiany materiał można łatwo adaptować, bez nadmiernego klejenia się do instrumentu. Mały skurcz polimeryzacyjny (1,25% obj.) oraz jednoczesne małe naprężenia skurczowe zapewniają wyjątkową siłę łączenia oraz stabilność kolorystyczną, a także optymalną integrację brzeżną. Materiał umożliwia szybkie i łatwe polerowanie na wysoki połysk.
Stomatolog otrzymuje nowoczesny materiał do odbudowy, który istotnie ułatwia codzienną pracę.
Wniosek
Pacjentka była bardzo zadowolona z uzyskanego efektu. Pomimo rozległego ubytku udało się uniknąć dużych nakładów czasowych i finansowych w porównaniu z leczeniem metodami pośrednimi. W przypadku spełnienia wymogów stomatologii adhezyjnej można oczekiwać zadowolenia pacjenta w długim okresie ze względu na fizyczne i estetyczne właściwości materiału.
Nowy preparat Admira Fusion 5 jest – zdaniem autora – szczególnie wart polecenia ze względu na rosnącą presję ekonomiczną oraz coraz droższe leczenie, a także rosnące potrzeby związane z leczeniem szybkim, rzetelnym i wysokiej jakości. Analiza kosztów i korzyści przemawia wyraźnie za korzyściami wynikającymi z oszczędności czasu i materiałów; niezbędnych jest jedynie 5 odcieni materiału, które zastępują wszystkie odcienie w skali Vita.