1Zakład Technik Dentystycznych i Zaburzeń Czynnościowych Narządu Żucia GUMed
2Klinika Chirurgii Szczękowo-Twarzowej GUMed
Praca recenzowana ARTYKUŁ UKAZAŁ SIĘ W MS 4/2019
Wstęp
Pourazowy tętniak rzekomy tętnicy szyjnej zewnętrznej i jej odgałęzień występuje niezwykle rzadko (1, 2). Do tej pory opisano tylko 35 takich przypadków (3, 4). Jest on najczęściej powikłaniem zabiegów operacyjnych w obrębie stawu skroniowo-żuchwowego, wyrostka kłykciowego żuchwy, osteotomii oraz złamań w obrębie wyrostka kłykciowego lub dziobiastego żuchwy (5). Bezpośrednie sąsiedztwo pierwszego odcinka tętnicy szczękowej i wyrostka kłykciowego żuchwy powoduje, że ostre brzegi złamanej kości mogą uszkadzać ścianę naczynia. Tętniak rzekomy powstaje, gdy krew z uszkodzonej tętnicy wypływa do otaczających naczynie tkanek (6). Pierwsze objawy pojawiają się między 2. a 6. tygodniem od urazu, a u około 20% pacjentów nawet po 6 miesiącach. Główne objawy to wolno powiększający się niebolesny obrzęk tkanek miękkich okolicy przedusznej, któremu towarzyszą: napięcie powłok skórnych, uczucie zatkania przewodu słuchowego zewnętrznego i bóle głowy. Badanie osłuchiwaniem może wykazać charakterystyczny szmer naczyniowy (1). Ultrasonografia klasyczna lub dopplerowska potwierdzają rozpoznanie kliniczne. Jednak badaniem z wyboru w tych przypadkach jest angiografia, w czasie której można jednoczasowo wykonać selektywną embolizację naczynia zaopatrującego tętniak (1, 7). Jest to bezpieczna procedura redukująca do minimum ryzyko krwawienia czy uszkodzenia nerwu twarzowego. Do naczynia za pomocą mikrocewnika wprowadza się balon, spirale tytanowe lub stenty mające na celu zamknięcie światła naczynia zaopatrującego tętniak (8, 9). Ze względu na lokalizację i trudny dostęp chirurgiczny do tętnicy szczękowej zabieg operacyjny jest wskazany jedynie w przypadku, gdy embolizacja się nie powiodła, doszło do rewaskularyzacji naczynia bądź gdy ośrodek leczący nie ma odpowiedniej infrastruktury lub doświadczonego w procedurach naczyniowych radiologa (3).
Opis przypadku
Mężczyzna 20-letni został przyjęty na Oddział Chirurgii Szczękowo-Twarzowej Uniwersyteckiego Centrum Klinicznego z powodu narastającego obrzęku i asymetrii twarzy w okolicy przedusznej lewej (ryc. 1).
W wywiadzie ogólnie zdrowy, miesiąc wcześniej na skutek upadku z wysokości doznał wieloodłamowego złamania żuchwy.
Ryc. 1. Obrzęk tkanek miękkich okolicy przedusznej po stronie lewej.
Bezpośrednio po wypadku był leczony na Oddziale Intensywnej Terapii – rozpoznano wówczas złamanie obu wyrostków kłykciowych oraz dziobiastych żuchwy, wieloodłamowe złamanie trzonu żuchwy, złamanie wyrostka zębodołowego szczęki. Zastosowano leczenie zachowawczo-ortopedyczne za pomocą szyn nazębnych i elastycznego wyciągu międzyszczękowego. Pacjent w stanie ogólnym i miejscowym dobrym został wypisany do domu.
Miesiąc po hospitalizacji chory zgłosił się do Poradni Chirurgii Stomatologicznej z powodu stopniowo powiększającego się obrzęku w okolicy przedusznej po stronie lewej. Na podstawie wywiadu i obrazu klinicznego rozpoznano ropień okolicy przedusznej i podjęto próbę ewakuacji treści ropnej. Po nacięciu powłok skórnych doszło do masywnego krwotoku, który udało się zatamować, zbliżając brzegi rany szwami. Pacjent został skierowany do Kliniki Chirurgii Szczękowo-Twarzowej.
Przy przyjęciu stan ogólny chorego był dobry. Klinicznie widoczna była asymetria twarzy spowodowana obrzękiem okolicy przedusznej po stronie lewej. Rana powłok skórnych o długości około 2 cm zaopatrzona szwami. Poza tym powłoki skórne były niezmienione, bez cech stanu zapalnego. Przy palpacji wyczuwalne było wzmożone napięcie tej okolicy i tętnienie. Poza tym w badaniu klinicznym bez odchyleń od normy. Ze względu na wywiad, badanie kliniczne oraz brak możliwości obrazowania tętniaka w rutynowym badaniu TK wykonano badanie ultrasonograficzne, a następnie angiografię tomografii komputerowej, która uwidoczniła obecność tętniaka rzekomego o wymiarach 31 x 20 x 21 mm zlokalizowanego na poziomie odejścia tętnicy szczękowej od tętnicy szyjnej zewnętrznej lewej (ryc. 2). 
Ryc. 2. Angiografia tomografii komputerowej – widoczny tętniak rzekomy, złamanie wyrostka kłykciowego i dziobiastego żuchwy po stronie lewej.
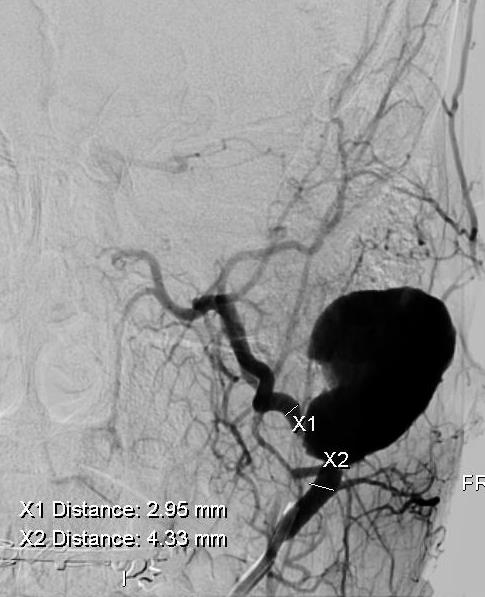
W dalszym etapie z nakłucia tętnicy udowej mikrocewnikiem przez tętnicę szyjną zewnętrzną dotarto do tętnicy szczękowej. Następnie za pomocą tytanowej sprężyny zamknięto odcinek dystalny tętnicy szczękowej (ryc. 3). 
Ryc. 3. Angiogram prezentujący tętniak rzekomy oraz naczynia zaopatrujące.
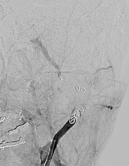
Kontrolna arteriografia potwierdziła zamknięcie naczynia, następnie nieznacznie wycofano cewnik i w ten sam sposób zamknięto światło tętnicy szyjnej zewnętrznej (ryc. 4). 
Ryc. 4. Embolizacja tętnicy szyjnej zewnętrznej. Brak przepływu krwi w tętniaku.
Pacjent w stanie ogólnym i miejscowym dobrym w drugiej dobie po zabiegu został wypisany do domu. Badanie kontrolne przeprowadzone po miesiącu wykazało ustąpienie objawów klinicznych i inwolucję tętniaka.
Wnioski
Pourazowy tętniak tętnicy szczękowej jest niezwykle rzadkim powikłaniem występującym wiele tygodni po urazie. Pojawiający się po tak długim czasie obrzęk tkanek miękkich w okolicy przedusznej może być rozpoznany jako zapalenie ślinianki lub – tak jak w opisanym przypadku – ropień. Błędne rozpoznanie, a co za tym idzie nieprawidłowe leczenie może w tej sytuacji doprowadzić do zagrażającego życiu krwotoku. W takiej sytuacji warto rozważyć zwiadowcze nakłucie potencjalnych ognisk, jakie planuje się naciąć, na szyi i w okolicy przedusznej. Warto także pamiętać, że osłuchanie guza może naprowadzić operatora na podejrzenie tętniaka.
PIŚMIENNICTWO
- El A.S. i wsp.: Pseudoaneurysm of the external carotid artery secondary to subcondylar fracture. Int. J. Oral Maxillofac. Surg., 2011, 40, 644-646.
- Bozkurt M. i wsp.: Sudden rupture of the internal maxillary artery causing pseudoaneurysm (mandibular part) secondary to subcondylar mandible fracture. J. Craniofac. Surg., 2009, 20, 1430-1432.
- Stephenson J.A. i wsp.: Endovascular treatment of a giant aneurysm of the maxillary artery. Case Rep. Vasc. Med., 2011, 2011,
- Ali Z.A., Malis D.D., Wilson J.W.: Pseudoaneurysm of the maxillary artery after a stab wound treated by endovascular embolization. J. Oral Maxillofac. Surg., 2007, 65, 790-794.
- Gerbino G. i wsp.: Pseudoaneurysm of the internal maxillary artery and Frey's syndrome after blunt facial trauma. J. Oral Maxillofac. Surg., 1997, 55, 1485-1490.
- Yeo M.S. i wsp.: Maxillary artery injury associated with subcondylar mandible fractures: a novel treatment algorithm. Craniomaxillofac. Trauma Reconstr., 2012, 5, 83-88.
- Uguz M. i wsp.: Giant external carotid artery pseudoaneurysm presenting as a parotid mass. Otolaryngol. Head Neck Surg., 2000, 122, 307-309.
- Krishnan D.G., Marashi A., Malik A.: Pseudoaneurysm of internal maxillary artery secondary to gunshot wound managed by endovascular technique. J. Oral Maxillofac. Surg., 2004, 62, 500-502.
- Barbalho J.C. i wsp.: Treatment of pseudoaneurysm of internal maxillary artery: a case report. Craniomaxillofac. Trauma Reconstr., 2010, 3, 87-89.
© Magazyn Stomatologiczny