Diagnostyka obrazowa wrodzonego niedorozwoju szkliwa i wrodzonego niedorozwoju zębiny. Opis przypadków

Diagnostyka obrazowa wrodzonego niedorozwoju szkliwa i wrodzonego niedorozwoju zębiny. Opis przypadków

Dostęp do tego artykułu jest płatny.
Zapraszamy do zakupu!

Cena: 12.50 PLN (z VAT)

Po dokonaniu zakupu artykuł w postaci pliku PDF prześlemy bezpośrednio pod twój adres e-mail.

Kup artykuł

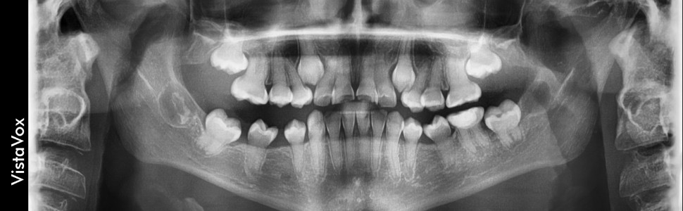
The radiological diagnosis of amelogenesis imperfecta and dentinogenesis imperfecta: case raports

Ingrid Różyło-Kalinowska, Wiktoria Stawarska, Jakub Kuryło, Magdalena Piskórz, Magdalena Kozek

Streszczenie
Do wad związanych z niedorozwojem struktur twardych zębów o charakterze dziedzicznym należą niecałkowity rozwój szkliwa (amelogenesis imperfecta) i niecałkowity rozwój zębiny (dentinogenesis imperfecta, odontogenensis imperfecta, choroba Capdeponta). Jednostki te mają charakterystyczne cechy zarówno w obrazie klinicznym, jak i radiologicznym. Diagnostyka obrazowa jest więc nieodzownym elementem w algorytmie postępowania, a opiera się na badaniach konwencjonalnych, tj. zdjęciach wewnątrzustnych i pantomograficznych oraz trójwymiarowych (tomografii stożkowej – CBCT). Daje ona możliwość zaplanowania wieloetapowego leczenia, które powinno być prowadzone przez lekarzy dentystów różnych specjalności. Celem pracy jest przedstawienie charakterystyki tych zaburzeń na podstawie przypadków pacjentów, u których stwierdzono amelogenesis imperfecta oraz dentinogenesis imperfecta.
 
Abstract
Disorders associated with congenital hypoplasia of hard tissues of teeth include amelogenesis imperfecta and dentinogenesis imperfecta (odontogenensis imperfecta, Capdepont's disease). These diseases have characteristic features in the clinical and radiological picture. Radiological diagnostics is an indispensable element in the algorithm of treatment. This is based on conventional studies, i.e. intraoral and panoramic radiographs, as well as three-dimensional-studies (cone beam computed tomography – CBCT). Proper diagnostic gives the possibility of planning a multi-stage treatment, which should be carried out by dentists of various specialties. The aim of the study is to present the characteristics of these disorders on the basis of the cases of patients with amelogenesis imperfecta and dentinogenesis imperfecta.
 
Hasła indeksowe: niedorozwój szkliwa, niedorozwój zębiny, amelogenesis imperfecta, dentinogenesis imperfecta, choroba Capdeponta
 
Key words: enamel hypoplasia, dentine hypoplasia, amelogenesis imperfecta, dentinogenesis imperfecta, Capdepont's disease

PIŚMIENNICTWO
1. Szpringer-Nodzak M., Wochna-Sobańska M.: Stomatologia wieku rozwojowego. Wydawnictwo Lekarskie, Warszawa 2010, 166-169,179-184.
2. Olczak-Kowalczyk D., Szczepańska J., Kaczmarek U.: Współczesna stomatologia wieku rozwojowego. Med Tour Press International Sp. z o.o., Otwock 2017, 102-103, 160-162, 169-171.
3. Crawford P.J., Aldred M., Bloch-Zupan A.: Amelogenesis imperfecta. Orphanet. J. Rare Dis., 2007, 4, 2, 17.
4. Stefan Levin L. i wsp.: Dentinogenesis imperfecta in the Brandywine isolate (DI type III): Clinical, radiologic, and scanning electron microscopic studies of the dentition. Oral Surg., 1983, 56, 267–274.
5. Różyło T.K., Różyło-Kalinowska I.: Współczesna radiologia stomatologiczna. Wydawnictwo Czelej, Lublin 2014, 168-170.
6. Bhesania D., Arora A., Kapoor S.: Enamel renal syndrome with associated amelogenesis imperfecta, nephrolithiasis, and hypocitraturia: A case report. Imaging Sci. Dent., 2015, 45, 181-185.
7. Poornima P. i wsp.: Amelogenesis imperfecta with bilateral nephrocalcinosis. BMJ Case Rep., 2013, 5.
8. Różyło T.K., Różyło-Kalinowska I.: Radiologia stomatologiczna. Wydawnictwo Lekarskie PZWL, Warszawa 2007, 146-147.
9. Aldred  M.J., Savarirayan R., Crawford P.J.M.: Amelogenesis imperfecta: a classification and catalogue for the 21st century. Oral Dis., 2003, 9, 19-23.
10. Rafeek R.N., Paryag A., Al-Bayaty H.: Management of dentinogenesis imperfecta: a review of two case reports. Gen. Dent., 2013, 61, 72-76.
11. Abukabbos H., Al-Sineedi F.: Clinical manifestations and dental management of dentinogenesis imperfecta associated with osteogenesis imperfecta: Case report. Saudi Dent. J., 2013, 25, 159-165.
12. Jańczuk Z., Kaczmarek U., Lipski M.: Stomatologia zachowawcza z endodoncją. Wydawnictwo Lekarskie PZWL, Warszawa 2015, 101-104.
13. Bidra A.S., Uribe F.: Successful bleaching of teeth with dentinogenesis imperfecta discoloration: a case report. J. Esthet. Restor. Dent., 2011, 23, 3-10.