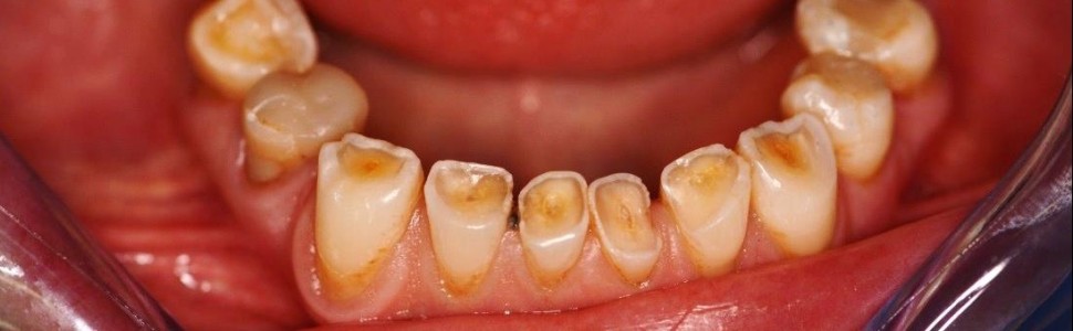
Starcie patologiczne to postępująca utrata tkanek twardych zębów przekraczająca normę przyjętą dla danego wieku, spowodowana czynnikami niepróchnicowego pochodzenia. Rehabilitacja pacjentów z patologicznym starciem zębów wymaga wiedzy i umiejętności lekarza praktyka. Ułożenie indywidualnego, często wielospecjalistycznego, dobrze przemyślanego planu leczenia ma znaczny wpływ na jego skuteczność. Istotna jest dokładna analiza etiologii schorzenia, ocena okluzji pacjenta i kwalifikacja do leczenia endodontycznego zębów ze znacznym starciem. Ważne jest również odpowiednie postępowanie protetyczne – po przeanalizowaniu wad i zalet każdego z rozwiązań.
Artykuł ukazał się w nr. 10/2015 MS
KUP ARTYKUŁ

Praca zajęła II miejsce w Konkursie „W przypadku stomatologii – wiedza w praktyce”, zorganizowanym przez Zakład Stomatologii Zintegrowanej WUM. Pierwsza autorka jest tegoroczną absolwentką studiów dziennych Wydziału Lekarsko-Dentystycznego WUM. Całe planowanie, a także etapy leczenia przedprotetycznego wykonała samodzielnie, zebrała odpowiednią dokumentację i piśmiennictwo, a także wykonała multimedialną prezentację przypadku.
Artykuł ukazał się w nr. 10/2015 MS
KUP ARTYKUŁ

Praca zajęła II miejsce w Konkursie „W przypadku stomatologii – wiedza w praktyce”, zorganizowanym przez Zakład Stomatologii Zintegrowanej WUM. Pierwsza autorka jest tegoroczną absolwentką studiów dziennych Wydziału Lekarsko-Dentystycznego WUM. Całe planowanie, a także etapy leczenia przedprotetycznego wykonała samodzielnie, zebrała odpowiednią dokumentację i piśmiennictwo, a także wykonała multimedialną prezentację przypadku.