Maciej Mikołajczyk
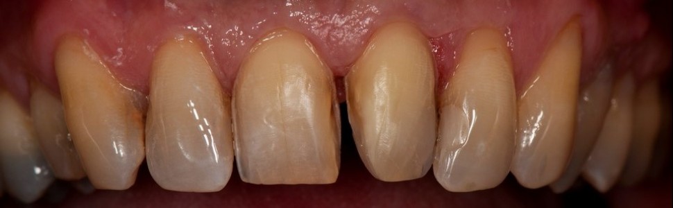
Najczęstszym urazem u osób dorosłych jest złamanie korony zęba w obrębie szkliwa i zębiny bez obnażenia miazgi. W takiej sytuacji rekonstrukcji utraconych tkanek dokonuje się najczęściej przy pomocy materiału kompozytowego. Należy jednak rozważyć, czy lepszym rozwiązaniem nie jest stosowanie licówek ceramicznych, ze względu na ich odporność mechaniczno-chemiczną. W pracy przedstawiono przypadek kliniczny, w którym uraz zębów górnych siecznych wykorzystano do wykonania korekty estetycznej ustawienia osi długich zębów w łuku zębowym.

Artykuł ukazał się w nr. 10/2015 MS
KUP ARTYKUŁ

Artykuł ukazał się w nr. 10/2015 MS
KUP ARTYKUŁ