Skuteczna odbudowa przedtrzonowców przy użyciu SimpliShade
Angelo Putignano
Opis przypadku
65-letni pacjent zgłosił się z istniejącymi, nieszczelnymi wypełnieniami kompozytowymi, które wymagały wymiany w celu usunięcia zmian próchnicowych i odbudowy struktury zęba (ryc.1).
Po założeniu koferdamu usunięto stare wypełnienia i uzyskano dwa ubytki klasy II (ryc. 2).

Po przygotowaniu ubytków, do każdego z nich umieszczono dwie sekcyjne matryce, aby uzyskać jak najściślejszy kontakt, a następnie zabezpieczono je pomarańczowym drewnianym klinem (ryc. 3).

Następnie odłamano zewnętrzną część klina, tak aby w strefie międzyzębowej pozostała tylko jego część (ryc. 4).
W ten sposób pierścień zamknął matrycę tak ciasno, jak to możliwe, na powierzchni zęba, odtwarzając właściwe proporcje obu zębów. Ważne jest, aby prawidłowo uszczelnić matrycę w przestrzeni ubytku klasy II (ryc. 5).


Przeprowadzono selektywne trawienie szkliwa przez 30 sekund (ryc. 6).
Po wypłukaniu i osuszeniu przez tyle samo czasu, ile zajęło trawienie, nałożono OptiBond™ Universal firmy Kerr w celu uzyskania adhezji (ryc. 7).

W ostatnim etapie protokołu adhezji nałożono cienką warstwę kompozytu o płynnej konsystencji (SimpliShade™ Bulk Fill Flow firmy Kerr), aby pokryć i zabezpieczyć warstwę hybrydową oraz wyrównać dno ubytku. Odtwarzając wszystkie ściany międzyzębowe, uzyskano dwa ubytki klasy I (ryc.8).

Aby zakończyć procedurę wypełnienia użyto do każdego ubytku jednej porcji kompozytu (SimpliShade™ Bulk Fill Composite), a po zagęszczeniu i dostosowaniu materiału poprzez usunięcie nadmiaru ukształtowano morfologię okluzyjną (ryc. 9).
Podstawowe linie każdego przedtrzonowca zostały narysowane zgodnie z anatomią zęba (ryc. 10).

Na zakończenie odbudowy zastosowano charakteryzację (ryc.11).
Następnie użyto Medium OptiDisc™ do wykończenia odbudów przy niskiej prędkości (ryc. 12).

Polerowanie przeprowadzono przy użyciu systemu HiLuster™ Polishing System przy niskiej prędkości (ryc. 13).
Na zakończenie wypolerowano odbudowy przy użyciu Occlubrush™, co zostało wykonane podczas tej samej wizyty (ryc. 14).


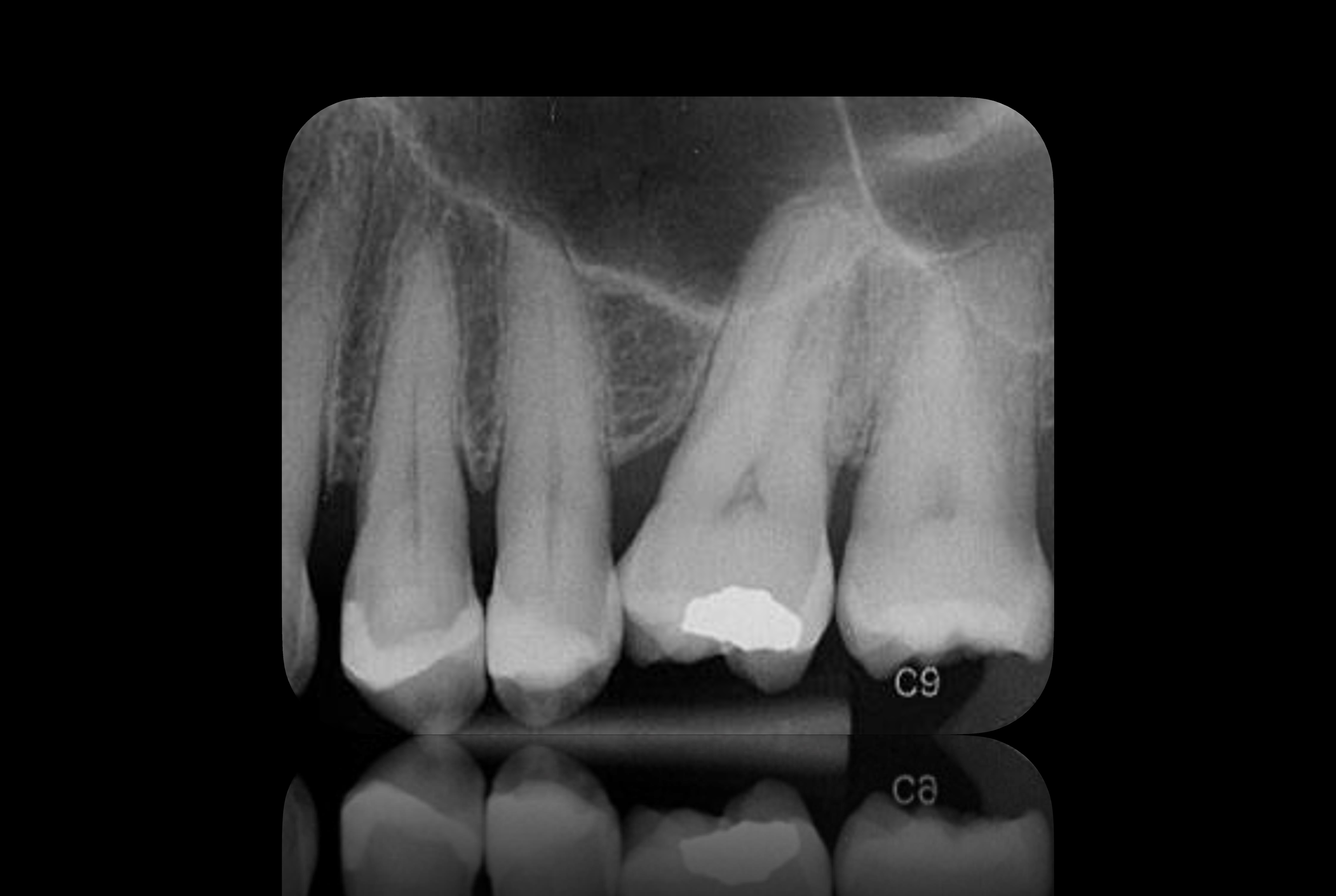
Badanie rentgenowskie nie wykazało żadnych przejaśnień okołowierzchołkowych w okolicy dwóch przedtrzonowców, co oznacza, że po miesiącu obserwacji miazga zachowała żywotność (ryc.18).

Podsumowanie
Najlepsza strategia uzyskania optymalnych wyników polega na wyborze najprostszej techniki, która najlepiej sprawdzi się w twoich rękach. Odpowiedni dobór matrycy i klina ma kluczowe znaczenie w odbudowach klasy II. Najnowsza generacja kompozytów typu bulk-fill posiada doskonałe właściwości optyczne, które poprawiają efekt estetyczny. Technika linii podstawowych (Essential lines) oferuje alternatywną metodę szybkiego i skutecznego zakończenia odbudowy, zapewniając uzyskanie satysfakcjonującego wyniku.
Angelo Putignano
Uzyskał tytuł M.D. oraz D.D.S. (dyplom lekarza dentysty) na Uniwersytecie w Ankonie we Włoszech. Profesor zwyczajny w dziedzinie Stomatologii Odtwórczej na Wydziale Stomatologii Politechniki w Marche, Ankona, Włochy. Kierownik Katedry Stomatologii Zachowawczej i Endodoncji na Wydziale Stomatologii Politechniki w Marche, Ankona, Włochy. Dziekan Wydziału Higienistów Stomatologicznych Politechniki w Marche, Ankona, Włochy. Aktywny członek Włoskiego Towarzystwa Stomatologii Odtwórczej (SIDOC). Członek i założyciel Międzynarodowej Akademii Stomatologii Estetycznej (IAED). Aktywny członek Europejskiej Akademii Stomatologii Estetycznej (EAED). Prywatna praktyka w Ankonie, Włochy.
Współautor książki „Adhesive Dentistry: The Key to Success” oraz „Indirect Conservative Restoration of Posterior Teeth”.
WIĘCEJ o SimpliShade: https://to.kerrdental.com/pl/smpliishadebulkfill 
Piśmiennictwo:
1. Bailey O. Sectional matrix solutions: the distorted truth. Br Dent J. 2021 Nov;231(9):547-555. doi: 10.1038/ s41415-021-3608-5. Epub 2021 Nov 12. PMID: 34773017; PMCID: PMC8589656.
2. Chiodera G, Orsini G, Tosco V i wsp. Essential Lines: a simplified filling and modeling technique for direct posterior composite restorations. Int J Esthet Dent. 2021 May 10;16(2):168-184. PMID: 33969973.
3. Hardan L, Sidawi L, Akhundov M i wsp. One-Year Clinical Performance of the Fast-Modelling Bulk Technique and Composite-Up Layering Technique in Class I Cavities. Polymers (Basel) 2021 Jun 4;13(11):1873
4. Monterubbianesi R, Tosco V, Orilisi i wsp. Surface evaluations of a nanocomposite after different finishing and polishing systems for anterior and posterior restorations. Microsc Res Tech. 2021;10.1002/jemt.23850. doi:10.1002/jemt.23850.
*Prof. Angelo Putignano jest konsultantem firmy Kerr. Opinie i techniki wyrażone w tym artykule opierają się na doświadczeniu prof. Angelo Putignano. Kerr jest producentem urządzeń medycznych i nie udziela porad medycznych. Klinicyści powinni kierować się własnym profesjonalnym osądem przy leczeniu swoich pacjentów.