Postawa ciała a TMD

Postawa ciała a TMD

Dostęp do tego artykułu jest płatny.
Zapraszamy do zakupu!

Cena: 24.00 PLN (z VAT)

Po dokonaniu zakupu artykuł w postaci pliku PDF prześlemy bezpośrednio pod twój adres e-mail.

Kup artykuł
MS 2023; 11: 38-49.

REPORTAŻ KLINICZNY
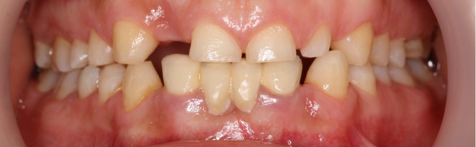
Postawa ciała a TMD – opis przypadku

Body posture and TMD – a case report

Dagmara Ptak

Streszczenie
Zaburzenia skroniowo-żuchwowe, popularnie określane terminem TMD stanowią coraz częstszy problem wśród pacjentów zgłaszających się do lekarzy dentystów. W ostatnich latach wzrosło również zainteresowanie tym tematem w ujęciu szerszym, wykraczającym poza układ stomatognatyczny. Wiele badań potwierdza istnienie korelacji między wadą postawy a nieprawidłowościami zębowymi oraz zaburzeniami mięśni i stawów. Złożoność i mechanizmy tej zależności wciąż pozostają jednak niejasne. W niniejszym artykule opisano temat tych powiązań. Nieprawidłowa postawa ciała może prowadzić do nieprawidłowego ułożenia kręgosłupa szyjnego i krzyżowego, co z kolei może mieć wpływ na napięcie mięśni twarzy i struktur stawowych. Te zmiany mogą wpływać na rozwój i funkcję szczęki i żuchwy, co może prowadzić do nieprawidłowości zgryzowych nie tylko na tle uszkodzeń przyzębia, utraty tkanek twardych zębów na skutek starcia czy abfrakcji, ale również do rozwoju wady zgryzu u najmłodszych pacjentów. Ważne jest zrozumienie mechanizmów leżących u podstaw zależności pomiędzy ułożeniem głowy przestrzennie a nieprawidłowościami układu stomatognatycznego, aby zapewnić skuteczne i zindywidualizowane podejście terapeutyczne nastawione na interdyscyplinarne rozwiązywanie problemów naszych pacjentów.

Abstract
Temporomandibular disorders, commonly known as TMD are an increasingly common problem among patients visiting a dentist. In recent years, interest in this topic has also increased in a broader sense, going beyond only: teeth and the temporomandibular joint. Many studies confirm the existence of a correlation between posture defects and dental abnormalities as well as muscle and joint disorders. However, the full complexity and mechanisms of this relationship remain unclear. In this article, I would like to discuss these connections. It is no secret that incorrect body posture can lead to incorrect positioning of the cervical and sacral spine, which in turn can affect the tension of facial muscles and joint structures. These changes may affect the development and function of the maxilla and mandible, which may lead to malocclusion not only due to periodontal damage, loss of tooth hard tissue due to abrasion or abfraction, but also to the development of malocclusion in our youngest patients. It is important to understand the mechanisms underlying the relationship between head positioning and abnormalities of the stomatognathic system to ensure an effective and individualized therapeutic approach focused on interdisciplinary problem solving of our patients.

Hasła indeksowe: doprzednia pozycja głowy, zaburzenia skroniowo-żuchwowe, hipodoncja, mikrodoncja

Key words: foward head position, TMD, hypodontia, microdontia

Piśmiennictwo

  1. The glossary of prosthodontic terms. J Prosthet Dent. 1999; 81(1): 39-110.
  2. Nakahara H, Nakasato N, Kanno A i wsp. Somatosensory-evoked fields for gingiva, lip, and tongue. J Dent Res. 2004; 83(4): 307-311.
  3. Gangloff P, Louis JP, Perrin PP. Dental occlusion modifies gaze and posture stabilization in human subjects. Neurosci Lett. 2000; 293(3): 203-206.
  4. Hellsing E, McWilliam J, Reigo T i wsp. The relationship between craniofacial morphology, head posture and spinal curvature in 8, 11 and 15-year-old children. Eur J Orthod. 1987; 9(4): 254-264.
  5. Huggare JA, Raustia AM. Head posture and cervicovertebral and craniofacial morphology in patients with craniomandibular dysfunction. 1992; 10(3): 173-177.
  6. Kritsineli M, Shim YS. Malocclusion, body posture, and temporomandibular disorder in children with primary and mixed dentition. J Clin Pediatr Dent. 1992; 16(2): 86-93.
  7. Milani RS, De Perière DD, Lapeyre L i wsp. Relationship between dental occlusion and posture. Cranio. 2000; 18(2): 127-134.
  8. Nobili A, Adversi R. Relationship between posture and occlusion. A clinical and experimental investigation. 1996; 14(4): 274-285.
  9. Lippold C, Danesh G, Schilgen M i wsp. Relationship between thoracic, lordotic and pelvic inclination and craniofacial morphology in adults. Angle Orthod. 2006; 76(5):779-85.
  10. Ishii H. A study on the relationships between imbalance of stomatognathic function and asymmetry of craniofacial morphology, and the center of gravity of the upright posture]. Osaka Daigaku Shigaku Zasshi. 1990; 35(2): 517-556.
  11. Hackney J, Bade D, Clawson A. Relationship between forward head posture and diagnosed internal derangement of the temporomandibular joint. J Orofac Pain. 1993; 7(4): 386-390.
  12. Olmos SR, Kritz-Silverstein D, Halligan W i wsp. The effect of condyle fossa relationships on head posture. 2005; 23(1): 48-52.
  13. Cuccia A, Caradonna C. The relationship between the stomatognathic system and body posture. Clinics (Sao Paulo). 2009; 64(1): 61-66.
  14. Wood DP, Elliott RW. Reproducibility of the centric relation bite registration technique. Angle Orthod. 1994; 64(3): 211-220.
  15. Slavicek R. Clinical and instrumental functional analysis for diagnosis and treatment planning. Part 5. Axiography. J Clin Orthod. 1988; 22(10): 656-667.
  16. Shildkraut M, Wood DP, Hunter WS. The CR-CO discrepancy and its effect on cephalometric measurements. Angle Orthod. 1994; 64(5): 333-342.
  17. Sigaroudi K, Knap FJ. Analysis of jaw movements in patients with temporomandibular joint click. J Prosthet Dent. 1983; 50(2): 245-250.
  18. Lim WH, Choi B, Lee JY i wsp. Dentofacial characteristics in orthodontic patients with centric relation-maximum intercuspation discrepancy. Angle Orthod. 2014; 84(6): 939-945.
  19. Haralur SB, Addas MK, Othman HI i wsp. Prevalence of malocclusion, its association with occlusal interferences and temporomandibular disorders among the Saudi sub-population. Oral Health Dent Manag. 2014; 13(2): 164-169.
  20. Okeson JP. Evolution of occlusion and temporomandibular disorder in orthodontics. Past, present, and future. Am J Orthod Dentofacial Orthop. 2015; 147(5 Suppl): S216-S223.