Zamknięcie szerokiego otworu wierzchołkowego w zębie siecznym

Zamknięcie szerokiego otworu wierzchołkowego w zębie siecznym

Dostęp do tego artykułu jest płatny.
Zapraszamy do zakupu!

Cena: 24.00 PLN (z VAT)

Po dokonaniu zakupu artykuł w postaci pliku PDF prześlemy bezpośrednio pod twój adres e-mail.

Kup artykuł
MS 2023; 11: 28-34.

REPORTAŻ KLINICZNY
Zamknięcie szerokiego otworu wierzchołkowego w zębie siecznym centralnym szczęki u młodego pacjenta z użyciem ProRoot MTA – obserwacje 17-letnie

Closure of a wide apical opening in a maxillary central incisor in a young patient using ProRoot MTA – 17-year observation

Ewa Gawor

Streszczenie
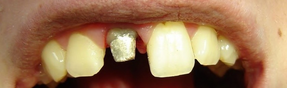
Zastosowanie materiałów bioceramicznych w leczeniu endodontycznym przynosi wiele korzyści. Właściwości biokompatybilne, hydrofi lne i bioaktywne MTA przyspieszają gojenie tkanek okołowierzchołkowych prowadząc do formowania nowego cementu i apeksyfikacji. Utwardzanie materiałów opartych na krzemianie wapnia w wilgotnym środowisku kanału korzeniowego jest ich główną zaletą. W pracy przedstawiono zastosowanie materiału Pro Root MTA do wypełnienia szerokiego kanału w zębie siecznym środkowym szczęki u młodego pacjenta po urazie. Wcześniejsze leczenie nie powiodło się i dopiero zastosowanie preparatu MTA (Dentsply) pozwoliło na szczelne zamknięcie otworu wierzchołkowego i odbudowę protetyczną. Długoterminowe, 17-letnie obserwacje udokumentowane zdjęciami RTG i fotografiami wykazały pozytywne rezultaty leczenia. Po 12 latach zaobserwowano jedynie zmianę położenia korony protetycznej i wierzchołka korzenia leczonego zęba w stosunku do zęba siecznego po stronie przeciwnej.

Abstract
The use of bioceramic materials in endodontic treatment brings many benefi ts. The biocompatible, hydrophilic and bioactive properties of MTA accelerate the healing of periapical tissues, leading to the formation of new cement and apexification. The curing of calcium silicate materials in the moist environment of the root canal is their main advantage. The paper presents the use of Pro Root MTA material to fi ll a wide canal in the maxillary central incisor in a young patient after trauma. The previous treatment failed and only the use of MTA (Dentsply) allowed for tight closure of the apical foramen and prosthetic reconstruction. Long-term, 17-year observations documented by X-rays and photos showed positive treatment results. After 12 years, only a change in the position of the prosthetic crown and the root tip of the treated tooth in relation to the incisor on the opposite side was observed.

Hasła indeksowe: szeroki otwór wierzchołkowy, leczenie kanałowe, apeksyfikacja, MTA
 
Key words: wide apical opening, root treatment, apexification, MTA

Piśmiennictwo

  1. Alhaddad Alhamoui F, Steffen H, Splieth Ch. The sealing ability of ProRoot MTA when placed as an apical barrier using three different techniques. An in-vitro apexification model. Quintessence Int. 2014; 45(10): 821-827.
  2. Demiriz L, Koçak MM, Koçak S i wsp. Evaluation of the dentinal wall adaptation ability of MTA Fillapex using stereo electron microscope. J Conserv Dent. 2016; 19(3): 220-224.
  3. Erdem AP, Sepet E. Mineral trioxide aggregate for obturation of maxillary central incisors with necrotic pulp and open apices. Dent Traumatol. 2008; 24(5): e38-e41.
  4. Stefopoulos S, Tsatsas DV, Kerezoudis NP i wsp. Comparative in vitro study of the sealing efficiency of white v grey ProRoot mineral trioxide aggregate formulas as apical barriers. Dent Traumatol. 2008; 24(2): 207-213.
  5. Tawil PZ, Duggan DJ, Galicia JC. Mineral trioxide aggregate (MTA). Its history, composition, and clinical applications. Compend Contin Educ Dent. 2015; 36(4): 247-452.