Wylew krwi do miazgi zęba jako następstwo urazu zgryzowego

Wylew krwi do miazgi zęba jako następstwo urazu zgryzowego

Dostęp do tego artykułu jest płatny.
Zapraszamy do zakupu!

Cena: 24.00 PLN (z VAT)

Po dokonaniu zakupu artykuł w postaci pliku PDF prześlemy bezpośrednio pod twój adres e-mail.

Kup artykuł
MS 2023; 9: 38-44.

OPIS PRZYPADKU
Wylew krwi do miazgi zęba jako następstwo urazu zgryzowego

Pulp hemorrhage as a consequence of occlusal trauma - a case report

Małgorzata Tomasik, Ewa Marek

Streszczenie
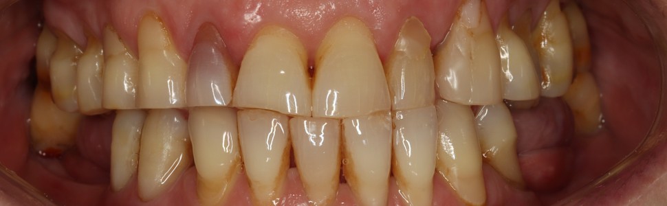
W pracy przedstawiono opis przypadku pacjentki, u której w wyniku urazu zgryzowego doszło do wylewu krwi do miazgi i przebarwienia korony zęba siecznego bocznego szczęki. Wykonano leczenie endodontyczne, a następnie wybielono koronę zęba. Był to wstępny etap leczenia. Następnie pacjentka otrzymała plan etapowego i kompleksowego leczenia stomatologicznego obejmującego uzupełnienie braków zębowych i odbudowę prawidłowego kształtu zachowanych zębów w ustalonej prawidłowej terapeutycznej pozycji żuchwy.

Abstract
The paper presents a case report of a patient who, as a result of an occlusal trauma, developed a hemorrhage into the pulp and discoloration of the crown of the maxillary lateral incisor. Endodontic treatment was performed and then the tooth crown was bleached. This was the initial stage of treatment. Next, the patient received a plan of staged and comprehensive dental treatment, including replacement of missing teeth and restoring the correct shape of the preserved damaged teeth in the established correct therapeutic position of the mandible.

Hasła indeksowe: uraz zgryzowy, wylew krwi do miazgi, wybielanie wewnątrzkomorowe

Key words: occlusal trauma, pulpal hemorrhage, internal bleaching

Piśmiennictwo
1. American Academy of Prosthodontics. The glossary of prosthodontic terms: ninth edition. J Prosthet Dent. 2017;117:e1- e105.
2. Fan J, Caton JG. Occlusal trauma and excessive occlusal forces: narrative review, case definitions, and diagnostic considerations. J Periodontol. 2018;89(Suppl 1):S214-S222.
3. Nunn ME, Harrel SK. The effect of occlusal discrepancies on periodontitis. I. Relationship of initial occlusal discrepancies to initial clinical parameters. J Periodontol. 2001;72(4):485-494.
4. Bernhardt O, Gesch D, Look JO i wsp. The influence of dynamic occlusal interferences on probing depth and attachment level: results of the Study of Health in Pomerania (SHIP). J Periodontol. 2006;77(3):506-516.
5. Goodacre CJ, Eugene Roberts W, Munoz CA. Noncarious cervical lesions: Morphology and progression, prevalence, etiology, pathophysiology, and clinical guidelines for restoration. J. Prosthodont. 2023;32(2):e1-e18.
6. Li A, Shao B, Chong DYR i wsp. The influence of maxillary incisor angles on the stress distributions of temporomandibular joints under incisal biting. Int J Numer Method Biomed Eng. 2023;39(6):e3702.
7. Campiño JI, Ríos CC, Rodriguez-Medina C i wsp. Association between traumatic occlusal forces and periodontitis: a systematic review. J Int Acad Periodontol. 2019;21(4):148-158.
8. Harrel SK, Nunn ME. The association of occlusal contacts with the presence of increased periodontal probing depth. J Clin Periodontol. 2009;36(12):1035-1042.
9. Ríos CC, Campiño JI, Posada-López A i wsp. Occlusal trauma is associated with periodontitis: A retrospective case-control study. J Periodontol. 2021;92(12):1788-1794.
10. Sarvesh R, Gowrish S. Non-Peroxide Bleaching Materials: A Review. J Pharmaceut Neg Res. 2023:503-507.