Zachowawcze leczenie rozległej torbieli korzeniowej

Zachowawcze leczenie rozległej torbieli korzeniowej

Dostęp do tego artykułu jest płatny.
Zapraszamy do zakupu!

Cena: 24.00 PLN (z VAT)

Po dokonaniu zakupu artykuł w postaci pliku PDF prześlemy bezpośrednio pod twój adres e-mail.

Kup artykuł
MS 2023; 9: 8-17.

OPIS PRZYPADKU
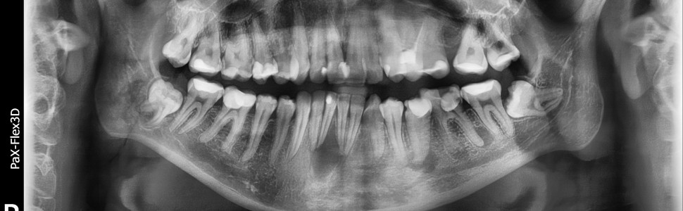
Zachowawcze leczenie rozległej torbieli korzeniowej zębów siecznych w żuchwie z użyciem lasera diodowego o długości fali 940 nm


Non-surgical treatment of extensive root cyst of incisors in the mandible using a diode laser with a wavelength of 940 nm

Kamila Kozak-Jastrzębska, Zuzanna Świerszcz

Streszczenie
Zmiany osteolityczne o charakterze torbieli korzeniowych są spowodowane zakażeniem pochodzenia bakteryjnego. Głównymi patogenami wywołującymi torbiele są bakterie kompleksu czerwonego oraz zielonego o dużym potencjale osteolitycznym. Zmiany okołowierzchołkowe mają szanse na wygojenie podczas zastosowania antyseptycznego protokołu endodontycznego skierowanego na konkretne patogeny. Znajomość patomechnizmu działania osteolitycznego bakterii beztlenowych oraz endotoksyn bakteryjnych pozwala na wykorzystanie skutecznych metod zachowawczych w celu wyleczenia procesu zapalnego. Poza koniecznym antyseptycznym leczeniem endodontycznym ogromne znacznie ma terapia wspomagająca. Torbiele korzeniowe mogą ulec regresji poprzez mechanizm apoptozy w sposób podobny do ustępowania pozostałych zmian okołowierzchołkowych bez konieczności wdrażania inwazyjnego leczenia chirurgicznego.

Abstract
Osteolytic lesions of the nature of root cysts are caused by infection of bacterial origin. The main pathogens causing cysts are red and green complex bacteria with high osteolytic potential. Periapidermal lesions have a chance of healing when using an antiseptic endodontic protocol directed at specific pathogens. Knowledge of pathomechnism of osteolytic action of anaerobic bacteria and bacterial endotoxins allows the use of effective conservative methods to cure the infl ammatory process. In addition to the necessary antiseptic endodontic treatment, supportive therapy is extremely important. Root cysts may regress by apoptosis in a manner similar to the resolution of other peri-apex lesions without the need for invasive surgical treatment.

Hasła indeksowe: torbiel korzeniowa, laser diodowy, regeneracja kości

Key words: root cyst, diode laser, bone regeneration

Piśmiennictwo
1. Nainani P, Sidhu GK. Radicular Cyst – An Update with emphasis on Pathogenesis. J Adv Med Dent Scie Res. 2014;2(3):97-101.
2. Karamifar K, Tondari A, Saghiri MA. Endodontic periapical lesion: an overview on the etiology, diagnosis and current treatment modalities. Eur Endod J. 2020;5(2):54-67.
3. Olcay K, Ataoglu H, Belli S. Evaluation of Related Factors in the Failure of Endodontically Treated Teeth:A Cross-sectional Study. J Endod. 2018;44(1):38-45.
4. Tek M, Metin M, Sener I i wsp. The predominant bacteria isolated from radicular cysts. Head Face Med. 2013;9:25.
5. Pitcher B, Alaqla A, Noujeim M i wsp. Binary Decision Trees for Preoperative Periapical Cyst Screening Using Cone-beam Computed Tomography. J Endod. 2017;43(3):383-388.
6. Kaiwar A, Usha HL, Meena N i wsp. The efficiency of root canal disinfection using a diode laser: in vitro study. Indian J Dent Res. 2013;24(1):14-18.
7. Sarda RA, Shetty RM, Tamrakar A i wsp. Antimicrobial efficacy of photodynamic therapy, diode laser, and sodium hypochlorite and their combinations on endodontic pathogens. Photodiagnosis Photodyn Ther. 2019;28:265-272.
8. Afkhami F, Akbari S, Chiniforush N. Entrococcus Faecalis Elimination in Root Canals Using Silver Nanoparticles, Photodynamic Therapy, Diode Laser, or Laser-activated Nanoparticles: An In Vitro Study. J. Endod. 2017;43(2):279-282.
9. Shaktawat AS, Verma KG, Goyal V i wsp. Antimicrobial efficacy of 980 nm diode laser on Enterococcus feacalis in conjunction with various irrigation regimes in infected root canals: An in vitro study. J Indian Soc Pedod Prev Dent. 2018, 36(4), 347-351.
10. Bordea IR, Hanna R, Chiniforush N i wsp. Evaluation of the Outcome of Various Laser Therapy Applications in Root Canal Disinfection: A Systematic Review. Photodiagnosis Photodyn Ther. 2020;29:101611.
11. Yadwad KJ, Veena HR, Patil SR i wsp. Diode laser therapy in the management of chronicperiodontitis – A clinico-microbiological study. Interv Med Appl Sci. 2017; 9(4):191-198.
12. Plotino G, Cortese T, Grande NM i wsp. New Technologies to Improve Root Canal Disinfection. Braz Dent J. 2016; 27(1):3-8.
13. Gutknecht N, Franzen R, Schippers M i wsp. Bactericidal effect of a 980-nm diode laser in the root canal wall dentin of bovine teeth. J Clin Laser Med Surg. 2004; 22(1):9-13.
14. Ruiz XF, Duran-Sindreu F, Shemesh H i wsp. Development of Periapical Lesions in Endodontically Treated Teeth with and without Periodontal Involvement: A Retrospective Cohort Study. J Endod. 2017; 43(8):1246-9.
15. Martin SA. Conventional endodontic therapy of upper central incisor combined with cyst decompression: a case report. J Endod. 2007;33(6):753-7.
16. Silva Garcez A, Núñez SC, Lage-Marques JL i wsp. Efficiency of NaOCl and laser-assisted photosensitization on the reduction of Enterococcus faecalis in vitro. Oral Surg Oral Med Oral Pathol Oral Radiol Endod. 2006;102(4):e93-8.
17. Sippus J, Gutknecht N. Deep disinfection and tubular smear layer removal with Er:YAG using photon-induced photoacoustic streaming (PIPS) contra laser-activated irrigation (LAI) technics. Laser in Dental Science. 2019;3:37-42.
18. Esteves-Oliveira M, de Guglielmi CAB, Ramalho KM i wsp. Comparison of dentin root canal permeability and morphology after irradiation with Nd:YAG, Er:YAG, and diode lasers. Lasers Med Sci. 25(5);755-760.
19. Dembowska E. Lasery w stomatologii. Lublin: Wyd. Czelej; 2015.
20. Segura-Egea JJ, Gould K, Şen BH i wsp. Antibiotics in Endodontics:a review. Int Endod J. 2017;50(12):1169-84.

poprzedni artykuł