Codzienne przypadki krakowskiego endomaniaka (...)

Codzienne przypadki krakowskiego endomaniaka (...)

Dostęp do tego artykułu jest płatny.
Zapraszamy do zakupu!

Cena: 24.00 PLN (z VAT)

Po dokonaniu zakupu artykuł w postaci pliku PDF prześlemy bezpośrednio pod twój adres e-mail.

Kup artykuł
MS 2022; 11: 10-18.


REPORTAŻ KLINICZNY
Codzienne przypadki krakowskiego endomaniaka. Biomateriały w endodoncji, czyli gdzie leży granica regeneracji


Everyday cases of Krakow endomaniac. Biomaterials in endodontics, i.e. where is the limit of regeneration

Maciej Lepszy

Streszczenie
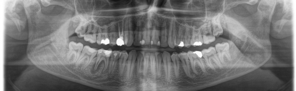
Pierwotne leczenie kanałowe w przypadku resorpcji zapalnej wewnętrznej czy resorpcji części apikalnej przy utracie prawidłowej struktury tego regionu, oraz powtórne leczenie kanałowe przy skomplikowanej, niestandardowej anatomii systemu endodontycznego może sprawiać trudności w codziennej praktyce. Wprowadzenie standardów leczenia w formie poszerzonej diagnostyki radiologicznej (CBCT) czy biozgodnych materiałów, takich jak MTA, do obturacji kanałów korzeniowych przesuwa granice możliwości utrzymania własnego uzębienia pacjenta, pozwalając przywrócić funkcję i zdrowie. W pracy opisano zastosowanie zaawansowanych technik w specjalistycznej praktyce endodontycznej. Zastosowanie biomateriału MTA (Cerkamed) w powyższym przypadku pozwoliło uzyskać szczelność wierzchołkową w leczeniu zęba 46, przy nieregularnym, zresorbowanym wierzchołku oraz połączeniu kanałów DB i DL.

Abstract
Primary root canal treatment in the case of internal inflammatory resorption or resorption of the apical part with loss of the proper structure of this region, as well as retreatment of the root canal with complicated, non-standard anatomy of the endodontic system may be difficult in everyday practice. The introduction of treatment standards in the form of extended radiological diagnostics (CBCT) or biocompatible materials such as MTA for root canal filling pushes the boundaries of the possibility of maintaining the patient’s own dentition, allowing for the restoration of function and health. The above work describes the use of advanced techniques in specialized endodontic practice. The use of MTA (Cerkamed) biomaterial in the above case allowed to obtain apical tightness in the treatment of tooth 46, with an irregular, resorbed apex and the connection of DB and DL canals.

Hasła indeksowe: przewlekłe zapalenie tkanek okołowierzchołkowych, CBCT, MTA, resorpcja zapalana wewnętrzna

Key words: chronic inflammation of the periapical tissues, CBCT, MTA, internal inflammatory resorption

Piśmiennictwo
1. Torabinejad M, Watson TF, Pitt Ford TR. Sealing ability of a mineral trioxide aggregate when used as a root end filling material. J Endod. 1993; 19(12): 591-595.
2. Thomson TS, Berry JE, Somerman MJ i wsp. Cementoblasts maintain expression of osteocalcin in the presence of mineral trioxide aggregate. J Endod. 2003; 29: 407.
3. Torabinejad M, Hong CU, McDonald F i wsp. Physical and chemical properties of a new root-end filling material. J Endod. 1995; 21(7): 349-353.

poprzedni artykuł