Dostęp do tego artykułu jest płatny.
Zapraszamy do zakupu!
Cena: 24.00 PLN (z VAT)
Kup artykuł
Po dokonaniu zakupu artykuł w postaci pliku PDF prześlemy bezpośrednio pod twój adres e-mail.
MS 2022; 9: 32-39.
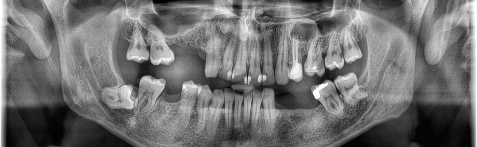
Leczenie zainfekowanej torbieli zęba 24. Trudności diagnostyczne. Rola rentgenodiagnostyki w postawieniu rozpoznania. Opis przypadku
Treatment of infected cyst associated with tooth 24 – case report. Diagnostic difficulties. The role of X-ray diagnosis in making a diagnosis
Katarzyna Morawska, Urszula Kołodziej, Katarzyna Kozioł, Anna Zalewska
Streszczenie
Torbiel korzeniowa (cystis radicularis) jest najczęściej diagnozowaną torbielą prawdziwą występującą w obrębie kości szczękowych. Jej rozwój jest zazwyczaj powolny i bezobjawowy. Objawy bólowe i obrzęk mogą pojawić się w następstwie zainfekowania torbieli oraz powikłań zapalnych. Celem przedstawionego poniżej opisu przypadku leczenia zainfekowanej torbieli jest zwrócenie uwagi na trudność diagnostyczną torbieli przy współistnieniu objawów zapalnych oraz przydatności diagnostyki radiologicznej w postawieniu prawidłowego rozpoznania i wdrożenia właściwych metod terapeutycznych.
Abstract
The root cyst (cystis radicularis) is the most commonly diagnosed true cyst occurring in the jaw bones. Its development is usually slow and asymptomatic. Pain symptoms and swelling may appear as a result of infection of the cyst and inflammatory complications. The purpose of the description of the infected cyst treatment presented below is to draw attention to the diagnostic difficulty of the cyst with coexisting inflammatory symptoms and the usefulness of radiological diagnostics in establishing the correct diagnosis and implementing appropriate therapeutic methods.
Hasła indeksowe: rentgenodiagnostyka, torbiel korzeniowa, zapalenie
Key words: X-ray diagnosis, cystis radicularis, inflammation
Treatment of infected cyst associated with tooth 24 – case report. Diagnostic difficulties. The role of X-ray diagnosis in making a diagnosis
Katarzyna Morawska, Urszula Kołodziej, Katarzyna Kozioł, Anna Zalewska
Streszczenie
Torbiel korzeniowa (cystis radicularis) jest najczęściej diagnozowaną torbielą prawdziwą występującą w obrębie kości szczękowych. Jej rozwój jest zazwyczaj powolny i bezobjawowy. Objawy bólowe i obrzęk mogą pojawić się w następstwie zainfekowania torbieli oraz powikłań zapalnych. Celem przedstawionego poniżej opisu przypadku leczenia zainfekowanej torbieli jest zwrócenie uwagi na trudność diagnostyczną torbieli przy współistnieniu objawów zapalnych oraz przydatności diagnostyki radiologicznej w postawieniu prawidłowego rozpoznania i wdrożenia właściwych metod terapeutycznych.
Abstract
The root cyst (cystis radicularis) is the most commonly diagnosed true cyst occurring in the jaw bones. Its development is usually slow and asymptomatic. Pain symptoms and swelling may appear as a result of infection of the cyst and inflammatory complications. The purpose of the description of the infected cyst treatment presented below is to draw attention to the diagnostic difficulty of the cyst with coexisting inflammatory symptoms and the usefulness of radiological diagnostics in establishing the correct diagnosis and implementing appropriate therapeutic methods.
Hasła indeksowe: rentgenodiagnostyka, torbiel korzeniowa, zapalenie
Key words: X-ray diagnosis, cystis radicularis, inflammation
PIŚMIENNICTWO
- Preuss O, Aniko-Włodarczyk M, Trybek G. Torbiel korzeniowa szczęki – opis przypadku. Stomatol Dypl. 2018; 2: 34-37.
- Shear M. Cysts of the oral and maxillofacial regions. Wyd. 3. Oxford: Blackwell Publishing; 1992.
- Panaś M. Torbiele. W: Bartkowski B. (red.). Chirurgia szczękowo-twarzowa. Kraków: Collegium Medicum UJ; 1996, s. 155-162.
- Sciubba JJ, Fantasia JE, Kahn LB. Tumors and cysts of the jaw. Atlas of tumor pathology. Washington: Amer Registry of Pathology; 2001.
- Różyło-Kalinowska I. Zastosowanie tomografii stożkowej w ortodoncji. Med Prakt Stomatol. 2015; 3: 8-13.
- Różyło-Kalinowska I. Zastosowanie tomografii stożkowej w stomatologii – wskazania mniej oczywiste. Med Prakt Stomatol. 2015; 4: 24-30.
- Różyło-Kalinowska I. Zastosowanie tomografii stożkowej w implantologii stomatologicznej. Med Prakt Stomatol. 2015; 2: 27-30.
- Daley TD, Wysocki GP, Pringle GA. Relative incidence of odontogenic tumors and oral and jaw cysts in a Canadian population. Oral Surg Oral Med Oral Pathol. 1994; 77(3): 276-280.
- Daley TD, Wysocki GP. The small dentigerous cyst. A diagnostic dilemma. Oral Surg Oral Med Oral Pathol Oral Radiol Endod. 1995; 79(1): 77-81.
- Piekarczyk J, Siemińska-Piekarczyk B, Samolczyk-Wanyura D i wsp. Ocena wyników leczenia oraz odległych następstw zabiegów chirurgicznych wykonywanych u dzieci z powodu torbieli szczęk. Czas Stomatol. 2000; 53: 794-799.
- Chabrzyk-Antosik O, Lewandowska M. Torbiele zębopochodne w materiale Kliniki Chirurgii Szczękowo-Twarzowej Akademii Medycznej w Poznaniu. Dental Forum. 2001; 1: 67-71.
- Grzesiak-Janas G, Mieczkowska A, Maciąg M i wsp. Torbiele szczęki i żuchwy. Mag Stomatol. 2002; 11: 62-63.
- Kamprowska B, Nowak-Przybylska I. Torbiele zębopochodne w materiałach Zakładu Chirurgii Stomatologicznej w Poznaniu w latach 1980-1992. Czas Stomatol. 1993; 46: 670-674.
- Kozarzewska M, Popowski W, Wojtowicz A. Częstość występowania torbieli zębopochodnych w materiale Zakładu Chirurgii Stomatologicznej IS AM w Warszawie w latach 1996-1999. Nowa Stomatol. 2001; 16: 15-18.
- Różyło-Kalinowska I. Zastosowanie tomografii stożkowej w endodoncji: podsumowanie stanowisk European Society of Endodontology oraz American Association of Endodontists i American Academy of Oral and Maxillofacial Radiology. Med Prakt Stomatol. 2015; 1: 5-8.