Wieloletnie obserwacje zmian w cherubizmie na podstawie zdjęć rentgenowskich (...)

Wieloletnie obserwacje zmian w cherubizmie na podstawie zdjęć rentgenowskich (...)

Dostęp do tego artykułu jest płatny.
Zapraszamy do zakupu!

Cena: 12.50 PLN (z VAT)

Po dokonaniu zakupu artykuł w postaci pliku PDF prześlemy bezpośrednio pod twój adres e-mail.

Kup artykuł
MS 2021; 6: 70-77.


Wieloletnie obserwacje zmian w cherubizmie na podstawie zdjęć rentgenowskich. Opis przypadku i przegląd piśmiennictwa

Ewa Wasiak, Małgorzata Daszkowska, Grażyna Śmiech‑Słomkowska


Streszczenie
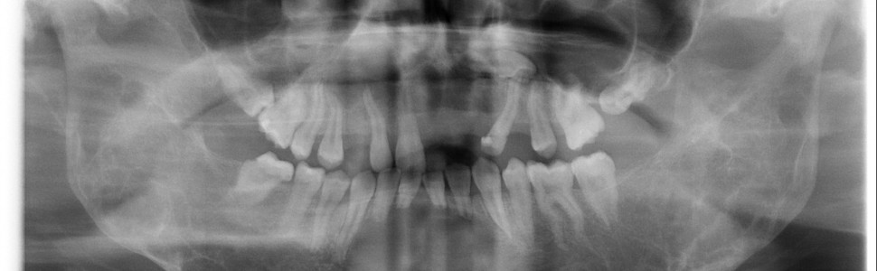
Cherubizm jest rzadkim, występującym rodzinnie włóknistym zwyrodnieniem kości szczęk. Śródkostne zmiany w postaci owalnych przejaśnień o nieregularnych kształtach w żuchwie, szczęce i kości jarzmowej są zauważalne na zdjęciu rentgenowskim dopiero w 2.‑5. roku życia. Zmiany kostne, widoczne na zdjęciach rentgenowskich mogą powrócić do stanu prawidłowego w 30.‑40. roku życia. Zaburzenie to charakteryzują: obustronne uwypuklenie policzków, poszerzenie żuchwy oraz występowanie objawów ocznych, to znaczy „oczu patrzących w niebo” jak u renesansowych cherubinków. W pracy przedstawiono wieloletnie obserwacje obrazu klinicznego i wyniki podjętego postępowania u pacjentki z cherubizmem. Plan leczenia polegał na przygotowaniu do korekty chirurgicznej ze względów estetycznych w wieku dojrzałym. W tym celu zostały usunięte zęby zatrzymane i położone ektopowo, a w leczeniu ortodontycznym zastosowano najpierw aparat zdejmowany górny, a następnie aparat stały cienkołukowy górny. Obecnie pacjentka użytkuje retainer stały dolny z powodu zmiany kostnej w żuchwie. Pacjentka pozostaje pod obserwacją.

Abstract
Cherubism is a rare familiar fibro‑osseous disorder of the jaws. Mandibular, maxillar and zygomatic bone lesions observed radiographically, including oval brights shaped irregularly are noticed at the age of 2 to 5. These lesions may return to normal by the patient’s third or fourth decade. Bilateral swelling of the cheeks, mandibular enlargement and orbital manifestations – „eyes raised to heaven” like Renaissance cherubs are characteristic. In this publication a long‑term follow‑up and results of the treatment of the patient with cherubism was showed. The treatment consisted of preparing to surgical correction to improve aesthetics in adulthood. Surgical treatment consisted of extraction of impacted and ectopic teeth and orthodontic treatment required using upper removal appliance first, then fixed appliance. Nowadays, the patient is using lower fixed bonded retainer for lower front teeth because of mandibular bone lesion. Patient is observed.


Hasła indeksowe: cherubizm, zmiany kostne, gen SH3Bp2, wielojądrzaste komórki olbrzymie

Key words: cherubism, bone lesions, gene SH3Bp2, multinuclear giant cells


Piśmiennictwo
  1. Jones WA. Familial multilocular cystic disease of the jaws. Am J Cancer. 1933;17: 946‑950.
  2. Jones WA. Further observations regarding familiar multilocular cystic disease of the jaws. Br J Radiol. 1938; 11(124): 227‑241.
  3. Papadaki ME, Lietman SA, Levine MA i wsp. Cherubism: best clinical practice. Orphanet J Rare Dis. 2012; 7(Suppl 1): S6.
  4. Chavali LV, Bhimalingam RM, Sudhakar PV. Cherubism: a case report with long term follow up. Indian J Pathol Microbiol. 2011; 54(4): 793‑795.
  5. Wagel J, Łuczak K, Hendrich B i wsp. Clinical and radiological features of nonfamilial cherubism: a case report. Pol J Radiol. 2012; 77(3): 53‑57.
  6. Holley TJ, Giannini PJ, Narayana N i wsp. Early detection of cherubism with eventual bilateral progression: a literature review and case report. Oral Surg Oral Med Oral Pathol Oral Radiol. 2019; 127(3): 77‑83.
  7. Machado RA, Pontes H, Pires FR i wsp. Clinical and genetic analysis of patients with cherubism. Oral Dis. 2017; 23(8): 1109‑1115.
  8. Singla S, Narula R, Goyal R i wsp. Non familial cherubism: a case report. Indian J Otolaryngol Head Neck Surg. 2019; 71(Suppl 1): 865‑867.
  9. Agrawal A, Gupta SK, Saxena P i wsp. Non‑familial cherubism: clinical and radiological findings. BMJ Case Rep. 2014.
  10. Grünebaum M, Tiqva P. Non familial cherubism: report of two cases. J Oral Surg. 1973; 31(8): 632‑635.
  11. Jain V, Gamanagatti SR, Gadodia A i wsp. Non‑familial cherubism. Singapore Med J. 2007; 48(9): 253‑257.
  12. Singh A, Sharma A, Chandra N. Non‑familial cherubism. Contemp Clin Dent. 2011; 2(2): 131‑133.
  13. Trivedi A, Gupta SD, Sharma S i wsp. Nonfamilial cherubism. J Indian Soc Pedod Prev Dent. 2013; 31(1): 43‑47.
  14. Mukherjee PM, Wang ChJ, Chen IP i wsp. Cherubism gene SH3Bp2 is important for optimal bone formation, osteoblast differentiation, and function. Am J Orthod Dentofacial Orthop. 2010; 138(2): 1‑11.
  15. Ueki Y, Tiziani V, Santanna C i wsp. Mutations in the gene encoding c‑Abl‑binding protein SH3Bp2 cause cherubism. Nature Genet. 2001; 28(2): 125‑126.
  16. Deckert M, Prod’Homme V. SH3Bp2 heterozygous mutation amplifies macrophage inflammatory responses to infection in a mouse model of cherubism. Med Sci. 2015; 31(6‑7): 589‑591.
  17. Deckert M, Tartare‑Deckert S, Hernanadez J i wsp. Adaptor function for the Sykkinases‑interacting protein 3BP2 in IL‑2 gene activation. Immunity. 1998; 9(5): 595‑605.
  18. Deckert M, Rottapel R. The adapter 3BP2: how it plugs into leukocyte signaling. Adv Exp Med Biol. 2006; 584: 107‑114.
  19. Kadlub N, Sessiecq Q, Mandavit M i wsp. Molecular and cellular characterizations of human cherubism: disease aggresiveness depends on osteoclast differentiation. Orphanet J Rare Dis. 2018; 13(1): 166.
  20. Regezi JA. Odontogenic cysts, odontogenic tumors, fibroosseous, and giant cell lesions of the jaws. Mod Pathol. 2002; 15(3): 331‑341.
  21. Yamaguchi T, Dorfman HD, Eisig S. Cherubism: clinicopathologic features. Skeletal Radiol. 1999; 28(6): 350‑353.
  22. Goyal V, Jasuja P. Cherubism: a case report. Int J Clin Pediatr Dent. 2009; 2(3): 49‑52.
  23. Valiathan A, Prashanth VK. Cherubism: presentation of a case. Angle Orthod. 1997; 67(3): 237‑238.
  24. Kömerik N, Taş B, Önal L. Cherubism. Head Neck Pathol. 2014; 8(2): 164‑167.
  25. Mirmohammadsadeghi A, Eshraghi B, Shahsanaei A i wsp. Cherubism: report of three cases and literature review. Orbit. 2015; 34(1): 33‑37.
  26. Stoor P, Suomalainen A, Kemola W i wsp. Craniofacial and dental features in six children with cherubism. J Craniofac Surg. 2017; 28(7): 1806‑1811.
  27. Mehrotra D, Kesarwani A, Nandial. Cherubism: case report with review of literature. J Maxillofac Oral Surg. 2011; 10(1): 64‑70.
  28. Ahmed Be, Amin M. Postpubertal cherubism with Noonan syndrome. J Coll Physicians Surg Pak. 2014; 24(Suppl 1): 39‑40.
  29. Surej Kumar LK, Deepa DS, Dilna S. Ramon syndrome – a rare form of cherubism. Ann Maxillofac Surg. 2019; 9(2): 415‑418.
  30. Von Wowern N. Cherubism: a 36‑year long‑term follow‑up of 2 generations in different families and review of the literature. Oral Surg Oral Med Oral Pathol Oral Radiol Endod. 2000; 90(6): 765‑772.
  31. Silva GC, Gomez RS, Vieira TC i wsp. Cherubism: long‑term follow‑up of 2 patients in whom it regressed without treatment. Br J Oral Maxillofac Surg. 2007; 45(7): 567‑570.
  32. Peñarrocha M, Bonet J, Mínguez JM i wsp. Cherubism: a clinical, radiographic, and histopathologic comparison of 7 cases. J Oral Maxillofac Surg. 2006; 64(6): 924‑930.
  33. Kozakiewicz M, Perczyńska‑Partyka W, Kobos J. Cherubism – clinical picture and treatment. Oral Dis. 2001; 7(2): 123‑130.
  34. Son JH, Marshall DC, Valiathan M i wsp. Innovative surgical treatment of severe cherubism. Cleft Palate Craniofac J. 2019; 56(1): 90‑93.
  35. Okeson JP. Leczenie dysfunkcji narządu żucia i zaburzeń zwarcia. Wydanie polskie pod red. W. Drobka. Lublin: Wyd. Czelej; 2005, 92.