REPORTAŻ KLINICZNY. Leczenie endodontyczne zęba z niezakończonym rozwojem korzenia (...)

REPORTAŻ KLINICZNY. Leczenie endodontyczne zęba z niezakończonym rozwojem korzenia (...)

Dostęp do tego artykułu jest płatny.
Zapraszamy do zakupu!

Cena: 12.50 PLN (z VAT)

Po dokonaniu zakupu artykuł w postaci pliku PDF prześlemy bezpośrednio pod twój adres e-mail.

Kup artykuł
MS 2021; 6: 42-50.


REPORTAŻ KLINICZNY. Leczenie endodontyczne zęba z niezakończonym rozwojem korzenia. Opis przypadku

Daniel Bieszczad


Streszczenie
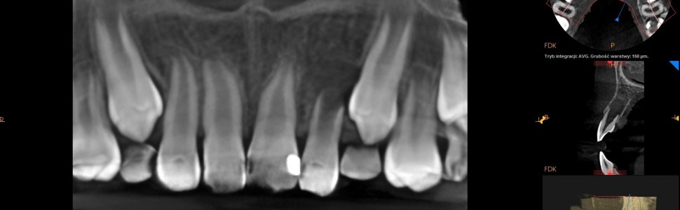
W pracy opisano leczenie endodontyczne zęba z bardzo szerokim, otwartym otworem wierzchołkowym. Na skutek urazu sprzed 2 lat doszło do wybicia zęba, który następnie został replantowany. Rozwinęła się martwica i zapalenie tkanek okołowierzchołkowych z zaburzeniami formowania wierzchołka korzenia. Do zamknięcia wierzchołka użyto preparatu MTA. W leczeniu wspomagano się badaniem CBCT oraz mikroskopem operacyjnym.

Abstract

The study describes endodontic treatment of tooth with incomplete development of root. Due to trauma that had place two years, the tooth was avulsed, and then replanted. The necrosis and inflammation of periapical tissues with disturbance of apex formation has developed. To close the open apex MTA was used. To support the treatment CBCT and operative microscope were used.


Hasła indeksowe: niezakończony rozwój korzenia, wodorotlenek wapnia, MTA, tomografia komputerowa wiązki stożkowej, mikroskop operacyjny

Key words: incomplete development of root, calcium hydroxide, MTA, cone been computed tomography, operative microscope


Piśmiennictwo
  1. Trope M. Treatment of immature teeth with non‑vital pulps and apical periodontitis. Endod Topics. 2006; 14: 51‑59.
  2. Bieszczad D, Wichliński J. Odległe następstwa wybicia zęba. Mag Stomatol. 2015; 10: 12‑15.
  3. Postek‑Stefańska L (red.). Endodoncja wieku rozwojowego i dojrzałego autorstwa Marii Barańskiej‑Gachowskiej. Lublin: Wydawnictwo Czelej; 2011.
  4. Jańczuk Z, Kaczmarek U, Lipski M (red.). Stomatologia zachowawcza z endodoncją. Zarys kliniczny. Podręcznik dla studentów stomatologii. Warszawa: Wydawnictwo Lekarskie PZWL; 2014.
  5. Bieszczad D. Różnice kliniczne między MTA a Biodentine – obserwacje własne. Mag Stomatol. 2017; 12: 48‑53.
  6. Wiherspoon DE, Small JC, Regan JD i wsp. Retrospective analysis of open apex teeth obturated with Mineral Trioxide Aggregate. J Endod. 2008; 34(20): 1171‑1176.
  7. Lipski M, Lichota D, Nowicka A. Leczenie endodontyczne zęba z niezakończonym rozwojem korzenia metodą apeksyfikacji z użyciem preparatu o dużej biozgodności. Opis przypadku. Mag Stomatol. 2017; 10: 54‑57.
  8. Bieszczad D. Tomografia komputerowa wiązki stożkowej w codziennej praktyce lekarza stomatologa – opis przypadków. Mag Stomatol. 2016; 10: 80‑88.
  9. Jaju PP, Jaju SP. Cone‑beam computed tomography. Time to move from ALARA to ALADA. Imaging Sci Dent. 2015; 45(4): 263‑265.