Hipomineralizacja trzonowcowo‑siekaczowa (MIH) – przypadek kliniczny (...)

Hipomineralizacja trzonowcowo‑siekaczowa (MIH) – przypadek kliniczny (...)

Dostęp do tego artykułu jest płatny.
Zapraszamy do zakupu!

Cena: 12.50 PLN (z VAT)

Po dokonaniu zakupu artykuł w postaci pliku PDF prześlemy bezpośrednio pod twój adres e-mail.

Kup artykuł
MS 2021; 6: 52-59.


Hipomineralizacja trzonowcowo‑siekaczowa (MIH) – przypadek kliniczny. Przegląd piśmiennictwa

Dagmara Wojdyga, Dominika Forszt, Jan Rzątowski, Agata Tuczyńska


Streszczenie
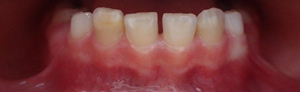
Wstęp. Hipomineralizacja trzonowcowo‑siekaczowa to jakościowy defekt szkliwa, który dotyczy co najmniej jednego stałego pierwszego zęba trzonowego oraz może obejmować stałe zęby sieczne.
Cel pracy. Celem pracy jest przedstawienie obserwacji własnych u 12‑letniego pacjenta oraz poglądów na temat etiologii, postaci klinicznych, diagnostyki MIH i metod postępowania profilaktyczno‑leczniczego na podstawie piśmiennictwa.
Materiał i metoda. Zaprezentowano przypadek kliniczny pacjenta leczącego się ortodontycznie, z obrazem MIH na 7 zębach, u którego po wykonaniu diagnostyki i stworzeniu planu leczenia odstąpiono od ekstrakcji objętych schorzeniem zębów trzonowych stałych. Publikacje wyszukiwano w PubMed i Bibliotece Głównej Lekarskiej. Do omówienia wybrano 19 prac.
Wyniki. Z doniesień piśmiennictwa wynika, iż etiologia nie została do końca poznana. Bierze się pod uwagę wpływ czynników środowiskowych, ogólnoustrojowych i genetycznych. Klinicznie obserwuje się zmiany w postaci nieregularnego zmętnienia szkliwa, zęby te przejawiają większe ryzyko rozwoju próchnicy, patologicznego starcia i nadwrażliwości.
Wnioski. Wczesna diagnoza MIH i wprowadzenie działań profilaktycznych umożliwia ograniczenie skutków zmniejszonej odporności szkliwa. W niektórych przypadkach niezbędne jest jednak przeprowadzenie leczenia inwazyjnego.

Abstract
Introduction. Molar incisor hypomineralization is a quality defect of enamel, which affects at least one first permanent molar tooth and sometimes permanent incisors.
Aim of the study. The aim of this work is to present own observations of 12‑year‑old patient, views on the etiology, clinical forms, diagnosis of MIH, methods of prophylactic, therapeutic management proposed by clinicians, based on available literature.
Material and method. The paper presents clinical case of patient undergoing orthodontic treatment, with MIH symptoms in 7 teeth, in whom, after diagnosis and preparation of treatment plan, the extraction of affected permanent molars was abandoned. Publications were searched in PubMed and the Main Medical Library. 19 articles were chosen.
Results. The etiology isn’t fully understood. The influence of environmental, systemic and genetic factors is taken into account. Changes in the form of irregular enamel clouding are clinically observed, affected teeth show greater risk of caries, pathological abrasions, hypersensitivity.
Conclusions. Early diagnosis, introduction of prophylactic measures allows to limit effects of reduced enamel resistance. Sometimes invasive treatment is necessary.

Hasła indeksowe: hipomineralizacja trzonowcowo‑siekaczowa, pierwszy stały ząb trzonowy, leczenie MIH, 12‑letni chłopiec

Key words: molar incisor hypomineralization, permanent first molar, MIH treatment, 12‑year‑old boy


Piśmiennictwo
  1. Hubbard MJ. Molar hypomineralization: What is the US experience? J Am Dent Assoc. 2018; 149(5): 329‑330.
  2. Willmott NS, Bryan RAE, Duggal MS. Molar‑incisor‑hypomineralisation: a literature review. Eur Arch Paediatr Dent. 2008; 9(4): 172‑179.
  3. Elfrink MEC, Ghanim A, Manton DJ i wsp. Standardised studies on molar incisor hypomineralisation (MIH) and hypomineralised second primary molars (HSPM): a need. Eur Arch Paediatr Dent. 2015; 16(3): 247‑255.
  4. Steffen R, Krämer N, Bekes K. The Wȕrzburg MIH concept: the MIH treatment need index (MIH TNI). Eur Arch Paediatr Dent. 2017; 18(5): 355‑361.
  5. Kabaktchieva R, Bogdanov V. Clinical treatment approach of child with molar incisor hypomineralization (MIH) combined with malocclusion. J of IMAB. 2012; 18: 174‑180.
  6. Alaluusua S. Aetiology of Molar‑Incisor Hypomineralisation. A systematic review. Eur Arch Paediatr Dent. 2010; 11(2): 53‑58.
  7. Almuallem Z, Busuttil‑Naudi A. Molar incisor hypomineralisation (MIH) – an overview. Br Dent J. 2018; 225: 601‑609.
  8. Sönmez H, Yıldırım G, Bezgin T. Putative factors associated with molar incisor hypomineralisation an epidemiological study. Eur Arch Paediatr Dent. 2013; 14(6): 375‑380.
  9. Condò R, Perugia C, Maturo P i wsp. MIH: epidemiologic clinic study in paediatric patient. Oral Implantol. 2012; 5(2‑3): 58‑69.
  10. Kühnisch J, Thiering E, Heitmüller D i wsp. Genome‑wide association study (GWAS) for molar‑incisor hypomineralization (MIH). Clin Oral Investig. 2014; 18(2): 677‑682.
  11. Teixeira RJPB, Andrade NS, Queiroz LCC i wsp. Exploring the association between genetic and environmental factors and molar incisor hypomineralization: evidence from a twin study. Int J Paediatr Dent. 2018; 28(2): 198‑206.
  12. Weerheijm K. The European Academy of Paediatric Dentistry and Molar Incisor Hypomineralisation. Eur Arch Paediatr Dent. 2015; 16(3): 233‑244.
  13. Silva MJ, Scurrah KJ, Craig JM i wsp. Etiology of molar incisor hypomineralization – A systematic review. Community Dent Oral Epidemiol. 2016; 44(4): 342‑353.
  14. Ogden AR, Pinhasi R, White WJ. Nothing new under the heavens: MIH in the past? Eur Arch Paediatr Dent. 2008; 9(4): 166‑171.
  15. Lygidakis NA. Treatment modalities in children with teeth affected by molar incisor enamel hypomineralisation (MIH): a systematic review. Eur Arch Paediatr Dent. 2010; 11(2): 65‑75.
  16. Michałek‑Pasternak E, Andrzejuk M, Boguszewska‑Gutenbaum HB i wsp. Hipomineralizacja trzonowcowo‑siekaczowa. Przegląd piśmiennictwa. Nowa Stomatol. 2013; 18(3): 115‑119.
  17. Fragelli CMB, de Souza JF, Jeremias F i wsp. Molar incisor hypomineralization (MIH): conservative treatment management to restore affected teeth. Braz Oral Res. 2015; 29(1): 1‑7.
  18. Lygidakis NA, Wong F, Jälevik B i wsp. Best Clinical Practice Guidance for clinicians dealing with children presenting with Molar‑Incisor‑Hypomineralisation (MIH). Eur Arch Paediatr Dent. 2010; 11(2): 75‑81.
  19. Cobourne MT, Williams A, Harrison M. National clinical guidelines for the extraction of first permanent molars in children. Br Dent J. 2014; 217(11): 643‑648.