Kolor czy barwnik – dopasowanie koloru wypełnienia i tkanek zęba w stomatologii zachowawczej
Colour or dye – colour matching of composite fillings and tooth tissues in restorative dentistry
Maciej Mikołajczyk1, Patrycja Proc2
Streszczenie
Zagadnienia związane z dopasowaniem koloru wypełnienia do koloru otaczających tkanek zęba był od zawsze w centrum uwagi lekarzy stomatologów zajmujących się stomatologią zachowawczą. Dzieje się tak, gdyż dopasowanie kolorystyczne materiału kompozytowego okazało się być dla pacjenta najważniejszym wyznacznikiem jakości wypełnienia, a więc i jakości pracy lekarza stomatologa. W pracy klinicznej najbardziej istotna jest trwałość wypełnienia, jego szczelność, brak skurczu polimeryzacyjnego i biozgodność. Jednak z psychologicznego punktu widzenia dopasowanie kolorystyczne jest swego rodzaju manifestacją wszelkich innych cech odpowiadających za jakość wypełnienia. Między innymi dlatego kolor jest tak ważny w stomatologii odtwórczej.
Kolor „tradycyjnego” materiału kompozytowego zależy głównie od rodzaju barwnika, jaki został dodany do żywicy w procesie określanym jako chemiczna koloryzacja. W przypadku nowoczesnych materiałów kompozytowych kolor wypełnienia nie zależy już od rodzaju barwnika, ani ilości pigmentu w żywicy, lecz od tak zwanego efektu kameleona, który jest głównym zjawiskiem, odpowiadającym za dopasowanie koloru wypełnienia do tkanek zębowych. Zjawisko to polega na takim rozproszeniu światła w materiale, aby jego promienie odbijały się od tkanek zęba wokół wypełnienia i w ten sposób nadawały mu kolor. Można powiedzieć, że materiał wypełnienia niejako „pobiera” kolor od otaczających tkanek zębowych. Materiał kompozytowy, w którym taka technologia uzyskiwania koloru jest dominująca, ma inny kolor, kiedy oglądany jest w izolacji od tkanek zęba (na przykład w opakowaniu), a inny kolor po założeniu do ubytku. Pozwala to na uzyskanie szeregu zalet optycznych i w zasadzie czyni tradycyjny dobór koloru przy pomocy kolornika zbędnym w stomatologii zachowawczej.
Abstract
Colour matching of tooth tissues and composite fillings was always very big concern of dentist during restorative procedures. This happens because of patients, who perceive colour matching as most important feature of composite filling, that marks its quality. Durability of a filling, power of adhesion, lack of leakage and biocompatibility are of great importance for dental clinicians, but colour is of great, and usually only, importance for patients.
In „classic” composite materials colour of a filling depends on an amount of specific dye added to material during process called chemical colorization. In modern dental composites colour is not based on dye, but on chameleon effect of blending material with surrounding tooth tissues. This phenomenon is caused by a special shaped filler particles in composite resin. These can diffuse light in a filling, so it reflects only adjacent tooth tissues colours. Such a material looks different outside cavity, and different in shade inside cavity, surrounded by dentine and enamel. This feature can be of great benefit to dentists and patients, and makes using shade guide unnecessary.
Hasła indeksowe: kolor, chroma, jasność, wypełniacz, kompozyt
Key words : colour, chroma, brightness, filler, composite
Materiały kompozytowe są bez wątpienia najszerzej stosowanymi materiałami w stomatologii odtwórczej ze względu na ich estetykę, relatywnie niski koszt i łatwość stosowania oraz dobre właściwości mechaniczne (1). Pod względem klinicznym za najważniejsze zalety wypełnień kompozytowych należy uznać ich adhezyjne łączenie z tkankami zęba, gwarantujące stworzenie skutecznej bariery dla bakterii penetrujących do tkanek zęba i pozwalające na oszczędną preparację ubytku (2).
Jednak stomatologia jest dziedziną medycyny, w której obok aspektów klinicznej doskonałości zabiegu olbrzymią rolę odgrywają również czynniki psychologiczne, związane z oceną skuteczności zabiegu dokonywaną przez pacjenta, u którego przeprowadzono leczenie (3). Odczuwane przez pacjenta zadowolenie z zabiegów jest jednym z istotnych czynników wpływających na kontynuację leczenia, a więc warunkuje sukces przebiegu całego procesu leczniczego (4).
Z punktu widzenia pacjenta najważniejszym wyznacznikiem jakości wypełnienia, który może on łatwo skontrolować jest dopasowanie kolorystyczne materiału i tkanek zęba do siebie. Wypełnienie będzie uważane za „idealne” i estetyczne, jeśli będzie doskonale odtwarzało brakujący fragment zęba, a w tym odtworzeniu kolor gra rolę dominującą (5). Lekarze stomatolodzy wiedzą, że kształt wypełnienia oraz stopień jego polerowania ma równie duży wpływ na wrażenie dopasowania odbudowy do zęba co kolor materiału, ale dla pacjenta ogół wrażenia estetycznego koncentruje się zazwyczaj na kwestii kolorystycznej (6) (ryc. 1).
Ryc. 1. Gdyby pacjent mógł dokładnie obejrzeć wypełnienie w swoim zębie trzonowym, nie ma wątpliwości, które z nich uznałby za lepsze, bez względu na materiał z którego zostało wykonane.
Kolor to wrażenie psychiczne wywoływane w mózgu, gdy oko odbiera promieniowanie elektromagnetyczne z zakresu światła widzialnego czyli o długości fali od 400 do 700 nm. Kolor nie zaistnieje więc dla odbiorcy bez źródła światła. Kolorystyka danego obiektu zależy bowiem od interakcji promienia świetlnego z powierzchnią tego przedmiotu (na przykład zęba). Część światła może zostać pochłonięta przez obiekt, a część rozproszona. Wrażenie koloru wywołuje tylko ta długość fali światła, która zostaje odbita przez powierzchnię obiektu i trafia na czopki i pręciki w gałce ocznej obserwatora (7).
Kolor zęba jest więc determinowany przez zdolności szkliwa i zębiny do pochłaniania, rozpraszania i odbijania fal świetlnych o różnej długości. Dla porządku należy dodać, że wpływ na kolor uzębienia mają też zewnętrzne przebarwienia powierzchni zęba powstałe wskutek przyjmowania barwników z pokarmów i napojów przez płytkę nazębną. Ten zewnętrzny efekt kolorystyczny jest usuwany w trakcie profesjonalnych zabiegów higienicznych razem z płytką nazębną lub też rozjaśniany przez mechanizmy chemiczne wybielających past do zębów (8).
Do niedawna mechanizm dopasowywania koloru materiału kompozytowego do koloru zęba działał zgodnie z takim postrzeganiem teorii powstawania koloru. Do materiałów dodawane były barwniki, które miały sprawić, że wypełnienie będzie pochłaniało oraz odbijało te same długości fali światła co tkanki zęba. To skutkowało postrzeganiem koloru materiału jako tożsamego z kolorem zęba (9) (ryc. 2).
Ryc. 2. Optyczny mechanizm powstawania wrażenia koloru wywołanego obecnością danego barwnika na powierzchni polega na pochłanianiu fal świetlnych o określonej długości i odbijaniu innych fal świetlnych.
Pojawiał się jednak dość oczywisty problem, związany z ilością potencjalnych kolorów zębów u pacjentów (którą można uznać za nieskończoną) oraz z faktem, że każdy pojedynczy ząb również charakteryzuje się kilkoma kolorami w różnych miejscach swojej korony. Tymczasem tworzone wzorce kolorów (czyli kolorniki) miały do dyspozycji kilkanaście kolorów do porównań. Podobnie wyglądają „palety” kolorystyczne tradycyjnych materiałów kompozytowych, gdzie można spotkać do 30 różnych kolorów materiału, ale raczej nie więcej (10). Najpowszechniej stosowanym kolornikiem, który ma ułatwić dobór koloru materiału do tkanek zęba jest kolornik VITA Classic (lub 3D Master – oparty na podobnej zasadzie). Mamy tam cztery grupy literowe A, B, C, D oraz cyfrowe oznaczenia wewnątrz grup.
Całość jest zorganizowana zgodnie z cechami, jakie można przypisać każdemu kolorowi:
- BARWA – ang. HUE – właściwe określenie danego koloru według długości fali światła, która potrafi dany kolor wygenerować. Można wyróżnić trzy barwy podstawowe: czerwona, niebieska i żółta. Wszystkie pozostałe barwy są już tylko mieszaniną barw podstawowych w różnych proporcjach. Barwa determinuje w kolorniku przynależności do danej grupy literowej: A – odcień pomarańczowo‑czerwony, B – odcień pomarańczowo‑żółty, C – odcień brązowo‑szary, D – odcień brązowy.
- NASYCENIE – ang. CHROMA – poziom intensywności danego koloru, zazwyczaj odbierany przez ludzkie oko jako różnica w samym kolorze (co w rzeczywistości nie jest prawdą). Nasycenie określane jest w kolorniku przez kod cyfrowy: od 1 – kolory mało nasycone do 4 – kolory mocno nasycone. Dlatego łatwo jest odróżnić od siebie odcienie A4, B4, C4 i D4, ale już bardzo trudno A1, B1, C1, D1.
- JASNOŚĆ – ang. VALUE – określa jaką ilość światła o jednej długości fali dana powierzchnia jest w stanie pochłonąć lub odbić, sprawiając w ten sposób wrażenie, że obiekt jest jaśniejszy lub ciemniejszy. Bywa też opisywana poprzez różnice w poziomie szarości danej barwy, gdzie wysoka zawartość szarego odcienia daje ciemniejszy kolor niż przy niskiej zawartości szarego odcienia w kolorze. Nie jest bezpośrednio ujęta w kolorniku VITA, chociaż występuje korelacja między jasnością i nasyceniem: kolory mocno nasycone są odbierane jako ciemniejsze niż słabo nasycone.
Dodatkową cechą materiałów kompozytowych, które są wykorzystywane do odbudowy zębów przednich jest jeszcze stopień PRZEJRZYSTOŚCI – ang TRANSLUCENCY, która ma za zadanie odwzorować poziom przezroczystości szkliwa w kontraście do niewielkiej przejrzystości zębiny, która odpowiada za większość wrażeń kolorystycznych przy obserwacji korony zęba (11) (ryc. 3).
Ryc. 3. Trzy główne cechy koloru, które znajdują swoje odwzorowanie w każdym kolorniku.
Według badań od 60% do 80% pacjentów ma zęby w odcieniach odpowiadających grupie kolorystycznej A, ale za to w jej obrębie występuje o wiele więcej stopni intensywności niż to, co oferuje kolornik. Wobec relatywnie niewielkiej liczby odcieni materiałów kompozytowych w stosunku do potencjalnych kolorów zębów, idealne dopasowanie odbudowy i tkanek jest bardzo trudne (12). Z tego względu zaczęto stosować rozbudowane techniki zabiegowe odbudowy warstwowej, gdzie każda warstwa charakteryzowała się innym odcieniem, różnicą w przejrzystości lub też fluorescencji. Możliwość zmieszania w warstwach różnych kolorów znacząco zwiększała szansę na dopasowanie koloru barwnika materiału do charakterystyki kolorystycznej zęba (13). Niestety techniki takiej odbudowy okazały się być skomplikowane i długotrwałe, bynajmniej nie gwarantując sukcesu w postaci „wtopienia się” wypełnienia w tkanki zębowe. Jest to związane bezpośrednio z optycznym mechanizmem powstawania wrażenia kolorystycznego. Wiemy, że kolor danego materiału zależy od tego, jaka długość fali światła jest odbijana, a jak pochłaniana przez dany materiał (a w zasadzie przez barwnik w nim zawarty). Jeśli więc nałożymy na siebie kilka warstw materiałów o różnych barwnikach, uzyskamy tylko efekt pochłonięcia szerszego zakresu długości fal światła i utratę koloru, a nie jego zmianę. Z tej przyczyny wypełnienia, które posiadają zbyt wiele różnych kolorystycznie warstw finalnie wydają się mieć szarawy odcień, nie pasujący w żaden sposób do kolorów tkanek zębowych (które częściej mają odcienie pomarańczowo‑czerwone lub pomarańczowo‑żółte).
Klasyczne podejście do uzyskania pasującego koloru, czyli dodawanie różnych barwników do materiału kompozytowego sprawdza się w wielu sytuacjach klinicznych, ale nie zapewnia idealnego efektu estetycznego, tak poszukiwanego przez pacjentów. Większość nowoczesnych materiałów kompozytowych stara się więc wykorzystać również tzw. efekt kameleona, aby poprawić zgodność kolorystyczną tkanek i wypełnienia (14). Zauważono bowiem, że cząsteczki wypełniacza o odpowiedniej średnicy mogą mieć właściwość dodatkowego załamywania i rozpraszania światła w taki sposób, aby odbijało się ono nie od samego barwnika w materiale, ale od tkanek zębowych na ściankach wypełnienia. Tak odbite światło „wychodząc” z materiału jest w stanie odtworzyć faktyczny kolor tkanek zębowych otaczających wypełnienie – w samym wypełnieniu. Do niedawna efekt ten nie mógł być szeroko stosowany, gdyż wymagał cząsteczek wypełniacza o średnicy od 200 do 500 nm. Tak duże cząsteczki nie pozwalały na uzyskanie dobrego efektu polerowania powierzchni, nie zapewniały też długotrwałego utrzymania gładkości powierzchni wypełnienia. Odrywanie pojedynczych, dużych cząsteczek wypełniacza od powierzchni materiału powodowało jej szybką degradację i ułatwiało przyleganie do wypełnienia płytki nazębnej oraz osadu. Z tej przyczyny efekt kameleona nie mógł być zbyt silnie zaznaczony w materiale kompozytowym. Dopiero kilka lat temu, dzięki postępom w nanotechnologii, określanej jako ART – Adaptive Response Technology – opracowano nową formułę wypełniacza (15).
Nanocząsteczki związków cyrkonu i krzemu o średnicy 5 nm są łączone w agregaty cząsteczkowe o średnicy 200‑300 nm. Takie agregaty mają odpowiednie właściwości rozpraszania i załamywania światła, aby maksymalnie wykorzystać efekt „zlewania się” kolorystycznego wypełnienia z tkankami zęba. Dzięki temu całość doboru koloru materiału może polegać tylko na efekcie kameleona. Jednocześnie tak zagregowane elementy łatwo rozpadają się na subcząsteczki o średnicy 5 nm, gdy dochodzi do zjawisk związanych z polerowaniem lub zużyciem powierzchni materiału. To zjawisko gwarantuje zachowanie najwyższej jakości powierzchni w sposób charakterystyczny dla materiałów nanocząsteczkowych (16). W ten sposób udało się więc rozwiązać klasyczny, nierozwiązywalny dylemat i jednocześnie mieć ciastko i zjeść ciastko, czyli otrzymać materiał, w którym cząsteczki wypełniacza zachowują się tak, jakby miały rozmiary mikrometrowe, gdy jest to potrzebne z punktu widzenia estetyki, oraz jakby miały rozmiary nanometrowe z punktu widzenia jakości powierzchni.
Powstaje więc nowa grupa materiałów kompozytowych, w których efekt kolorystycznego dopasowania wypełnienia i tkanek zębowych w ogóle nie zależy od dodatku barwnika, a tylko od konstrukcji cząsteczek wypełniacza i efektów optycznych z tym związanych. Taki materiał ma właściwości dopasowania się do większej ilości odcieni z kolornika, aczkolwiek ten efekt również ma pewne ograniczenia, które obecnie pozostają przedmiotem badań. Producenci zalecają stosowanie materiałów bazujących tylko na efekcie kameleona do ubytków w zębach przedtrzonowych i trzonowych oraz w przypadku ubytków przyszyjkowych. Zakres stosowania w strefie estetycznej jest ograniczony z uwagi na inną przezierność materiałów w stosunku do klasycznych kompozytów, gdzie kolor oparty jest na dodatku barwnika (17). Materiały z efektem kameleona lepiej zachowują się w przypadku ubytków otoczonych ze wszystkich stron ścianami zęba (I, II lub V klasa według Blacka), gdyż wtedy mają skąd „pobrać” kolor i dostosować się do niego. W przypadku ubytków klasy III lub IV według Blacka efekt kameleona nie będzie działał tak dobrze, gdyż kontakt wypełnienia z tkankami zęba może być (w zależności od kształtu ubytku) relatywnie niewielki.
Obecnie zaczyna pojawiać się coraz więcej nowoczesnych materiałów kompozytowych, w których kolor uzyskiwany jest tylko poprzez efekt kameleona. Ze względu na pewne ograniczenia będą one stanowić uzupełnienie stosowanych powszechnie klasycznych materiałów kompozytowych, gdzie kolor jest skutkiem dodawania odpowiednich barwników, ale nie będą mogły zastąpić ich całkowicie. Najlepszym rozwiązaniem wydaje się jednak technologia, która została zastosowana w niektórych materiałach kompozytowych, zwana ART – Adaptive Response Technology. Polega ona na połączeniu kolorystycznych efektów uzyskanych dzięki dodatkowi barwników i efektu kameleona. W takim materiale efekt kameleona jest głównym czynnikiem odpowiadającym za kolor wypełnienia i jego stopienie się z kolorem tkanek zęba, ale nie jedynym. Jest on uzupełniony o dodatek elementów barwnikowych, co wzmacnia efekt kameleona i pozwala na skuteczne zastosowanie go przy pełnej gamie kolorów z kolornika VITA oraz w przypadku wypełnień estetycznych w zębach przednich. Przykładem może być materiał OptiShade (Kerr), jedyny obecnie na rynku, który w pełni łączy technologię efektu kameleona z dodatkiem barwników kolorystycznych. Ten materiał, łączący cechy klasycznych i nowoczesnych materiałów kompozytowych zamiast jednego, uniwersalnego koloru, który nie jest w stanie dostosować się do pełnej gamy kolorystycznej zębów, ma do dyspozycji trzy kolory: jasny, pośredni i ciemny, które pozwalają na dostosowanie się do wszystkich kolorów, jakie można napotkać w tkankach zębowych. Kolor jasny (LIGHT) jest najskuteczniejszy w dopasowaniu kolorystycznym w przypadku odcieni A1, B1, B2, C1, D2. Kolor pośredni (MEDIUM) najlepiej sprawdzi się przy odcieniach A2, A3, C2, D3, D4. Kolor ciemny (DARK) zapewni idealne dopasowanie kolorystyczne do tkanek zęba o odcieniach A3, 5, A4, B3, B4, C3, C4. Dzięki dodatkowi barwnika nie występuje efekt zwiększonej przezierności materiału, więc dobrze będzie sprawdzał się również w przypadku ubytków klasy III i IV w strefie estetycznej. Pozwoli to w realny sposób zastąpić wszystkie odcienie stosowanych do tej pory klasycznych materiałów kompozytowych w gabinecie stomatologicznym i znacznie ułatwi pracę lekarza dentysty.
Materiały dostosowujące się kolorem do koloru zębów mogą mieć też dodatkowe zalety związane z sytuacjami, kiedy tkanki zębów zmieniają kolor w sposób zamierzony przez pacjenta lub też niezamierzony. Brak jest obecnie badań na ten temat, ale być może kolor wypełnienia będzie w stanie dostosować się do koloru zębów po wybielaniu (czyli stawać się jaśniejszym) lub też ciemnieć wraz z wiekiem pacjenta (jak kolor zębów, który ma tendencję do ciemnienia z wiekiem) (18).
W stomatologicznych asystorach będzie więc można spotkać aż trzy różne grupy materiałów kompozytowych. Być może niedługo któreś z nich zostaną całkowicie zastąpione przez inne:
1. Materiały kompozytowe z kolorystyką opartą tylko na zjawisku dodawania barwnika do materiału, na przykład Herculite (Kerr), Filtek Universal (3M Espe), Gradia (GC), itp.;
2. Materiały kompozytowe z kolorystyką opartą tylko na efekcie kameleona, na przykład Omnichroma (Tokuyama), Venus Diamond One (Kulzer), itp.;
3. Materiały kompozytowe z kolorystyką opartą głównie na efekcie kameleona, ale z uzupełnieniem komponentu barwnikowego na przykład OptiShade (Kerr).
Opis przypadku
Poniżej przedstawiono przykład kliniczny leczenia z wykorzystaniem materiału OptiShade (Kerr), w którym technologia efektu kameleona połączona jest z efektem dodatku barwnika, co daje do dyspozycji lekarzowi dentyście trzy różne kolory w zależności od odcienia zęba. Do gabinetu stomatologicznego zgłosiła się pacjentka w wieku 73 lat użytkująca protezy ruchome. Powodem zgłoszenia była chęć poprawy estetycznej wyglądu zębów oraz poprawa utrzymania protez w jamie ustnej (ryc. 4).
Ryc. 4. Stan uzębienia pacjentki przed rozpoczęciem leczenia z widocznymi, obfitymi złogami płytki nazębnej.
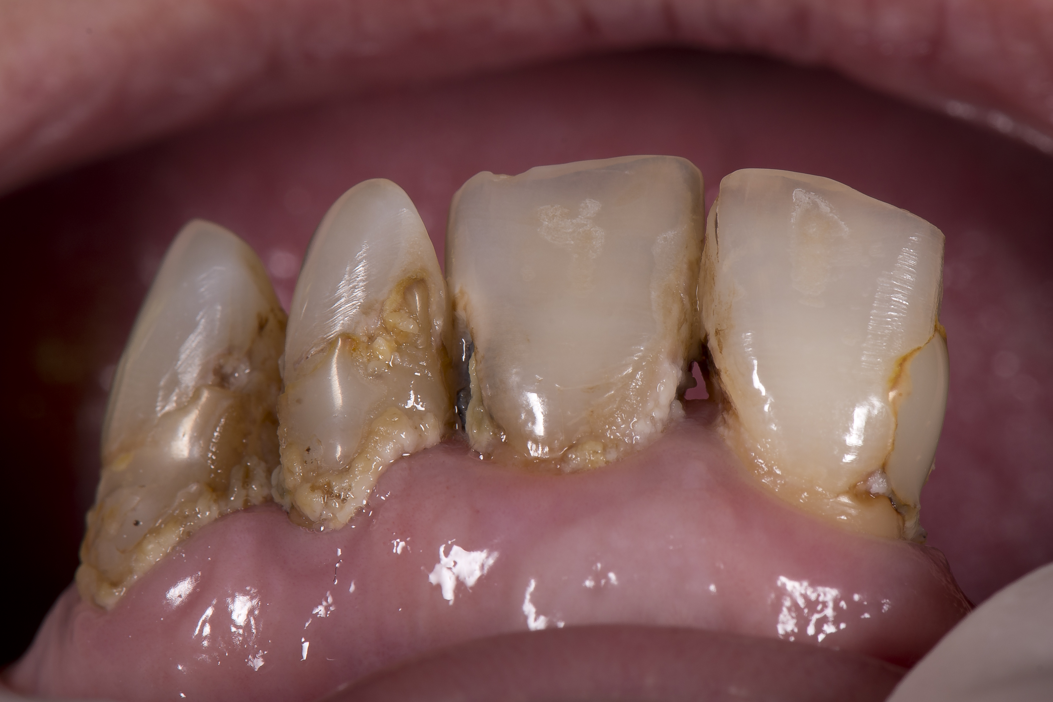
Badanie wykazało znaczące braki w higienie jamy ustnej, które przyniosły skutek w postaci rozwoju ubytków próchnicowych pierwotnych w obrębie wszystkich powierzchni zębów 11, 21, 22, 23 oraz powstaniem próchnicy wtórnej wokół wypełnień. Ponieważ pacjentka użytkowała dolną protezę całkowitą, nie doszło do przeciążenia zębów siecznych w szczęce i zwiększenia ich ruchomości. Rozwój próchnicy spowodował znaczne defekty estetyczne w obrębie zębów przednich, które w pewnym momencie stały się dużym obciążeniem psychofizycznym dla pacjentki (ryc. 5).
Ryc. 5. Ubytki były stopniowo opracowywane i wypełniane na kolejnych wizytach.
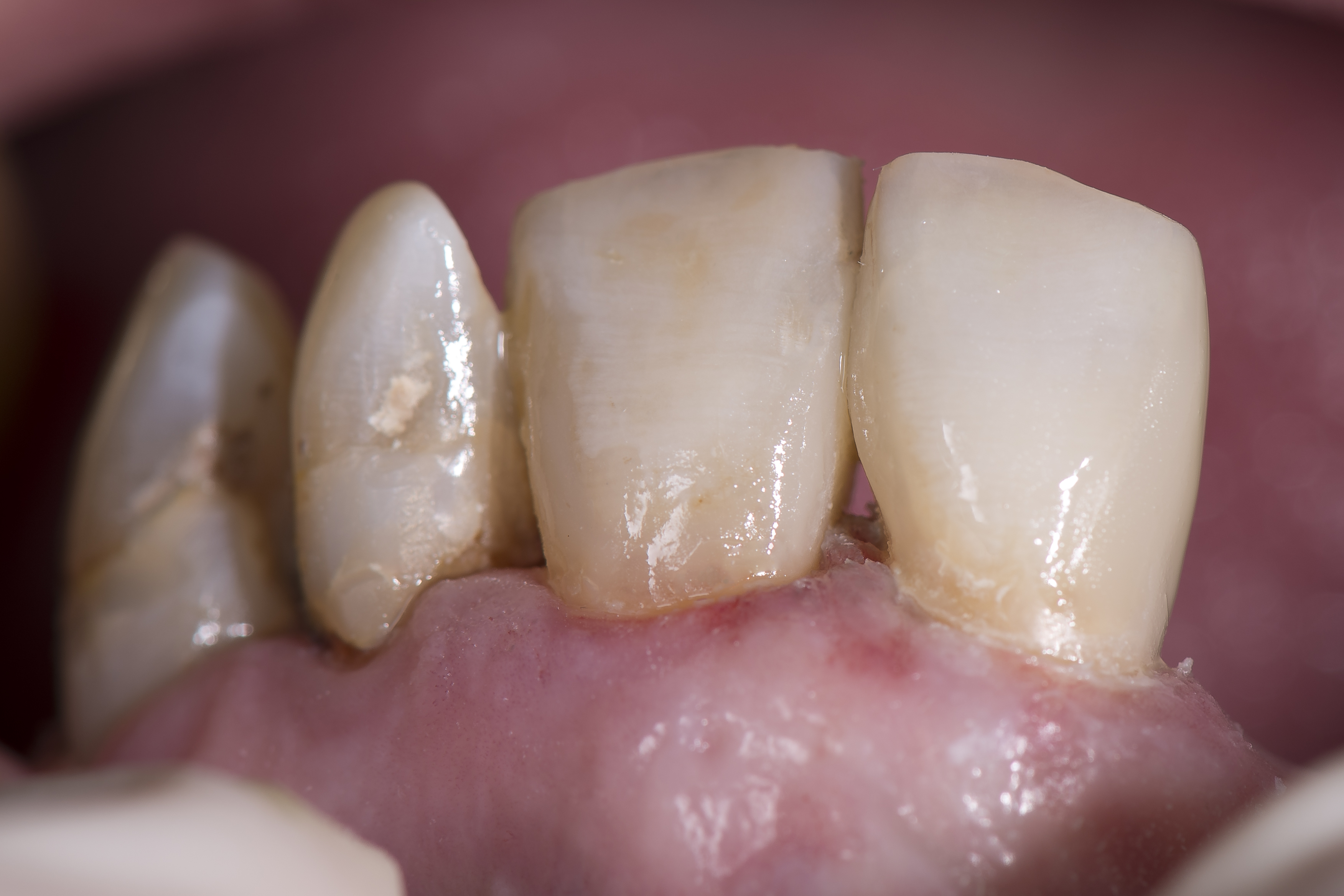
W ciągu kilku kolejnych wizyt przeprowadzono leczenie zachowawcze w obrębie zębów, związane z preparacją kolejnych ubytków próchnicowych i ich wypełnianiem. Objęło ono: ubytek klasy III M i D w zębie 11, ubytek klasy III M i D w zębie 21, ubytek klasy III M i V w zębie 22, oraz ubytek klasy V okrężny w zębie 23. Zastosowano materiał kompozytowy OptiShade (Kerr) w odcieniu MEDIUM w przypadku wszystkich wypełnień. Procedura kliniczna w każdym przypadku wyglądała tak samo (ryc. 6).
Ryc. 6. Stan po wypełnieniu ubytków klasy III mezjalnie i dystalnie w zębach 11, 21 materiałem OptiShade Medium (Kerr).
Ząb był izolowany przy pomocy koferdamu OptiDam (Kerr) i dokonano preparacji ubytku próchnicy pierwotnej lub też usunięto nieszczelne wypełnienie kompozytowe – w przypadku zębów 22 i 23 były to wypełnienia klasy V, pod którymi zaczęła rozwijać się próchnica okrężna obejmująca powierzchnię korony zęba i korzenia (ryc. 7).
Ryc. 7. Opracowywanie ubytku klasy V o charakterze próchnicy okrężnej w zębie 12.
Po opracowaniu ubytku dokonano wytrawienia selektywnego samego szkliwa kwasem ortofosforowym przez 15 sekund, który potem był wypłukiwany (ryc. 8).
Ryc. 8. Selektywne wytrawianie szkliwa jako wstęp do aplikacji uniwersalnego systemu łączącego OptiBond Universal (Kerr).
Z uwagi na charakterystykę ubytków, czyli dużą powierzchnię odsłoniętej zębiny, nie otoczonej szkliwem, zdecydowano się na zastosowanie systemu łączącego OptiBond Universal (Kerr). Jest to system samotrawiący, który można stosować zarówno w przypadku tkanek nie wytrawianych wcześniej, jak i poddanych trawieniu. Z tego powodu był on wcierany zarówno w powierzchnię zębiny (która nie była wcześniej wytrawiana), jak i w powierzchnię szkliwa przy pomocy microbrusha przez 20 sekund. Potem był poddawany polimeryzacji przez 10 sekund lampą LED Demi Plus (Kerr) (ryc. 9). Materiał OptiShade Medium (Kerr) był jedynym stosowanym materiałem i odcieniem w przypadku wszystkich ubytków (ryc. 10).
Ryc. 9. System łączący Optibond Universal (Kerr) był wcierany w zębinę i szkliwo przez 20 sekund.
Ryc. 10. Przy wypełnianiu wszystkich ubytków w zębach zastosowano materiał kompozytowy OptiShade o odcieniu Medium (Kerr), który wykorzystuje efekt kameleona oraz barwnikowy, aby dopasować się kolorystycznie do tkanek zębowych.
Był on nakładany w porcjach, których grubość nie przekraczała 2 mm i polimeryzowany przez 20 sekund (ryc. 11).
Ryc. 11. Zastosowano odbudowę warstwową przy użyciu tylko jednego odcienia materiału.
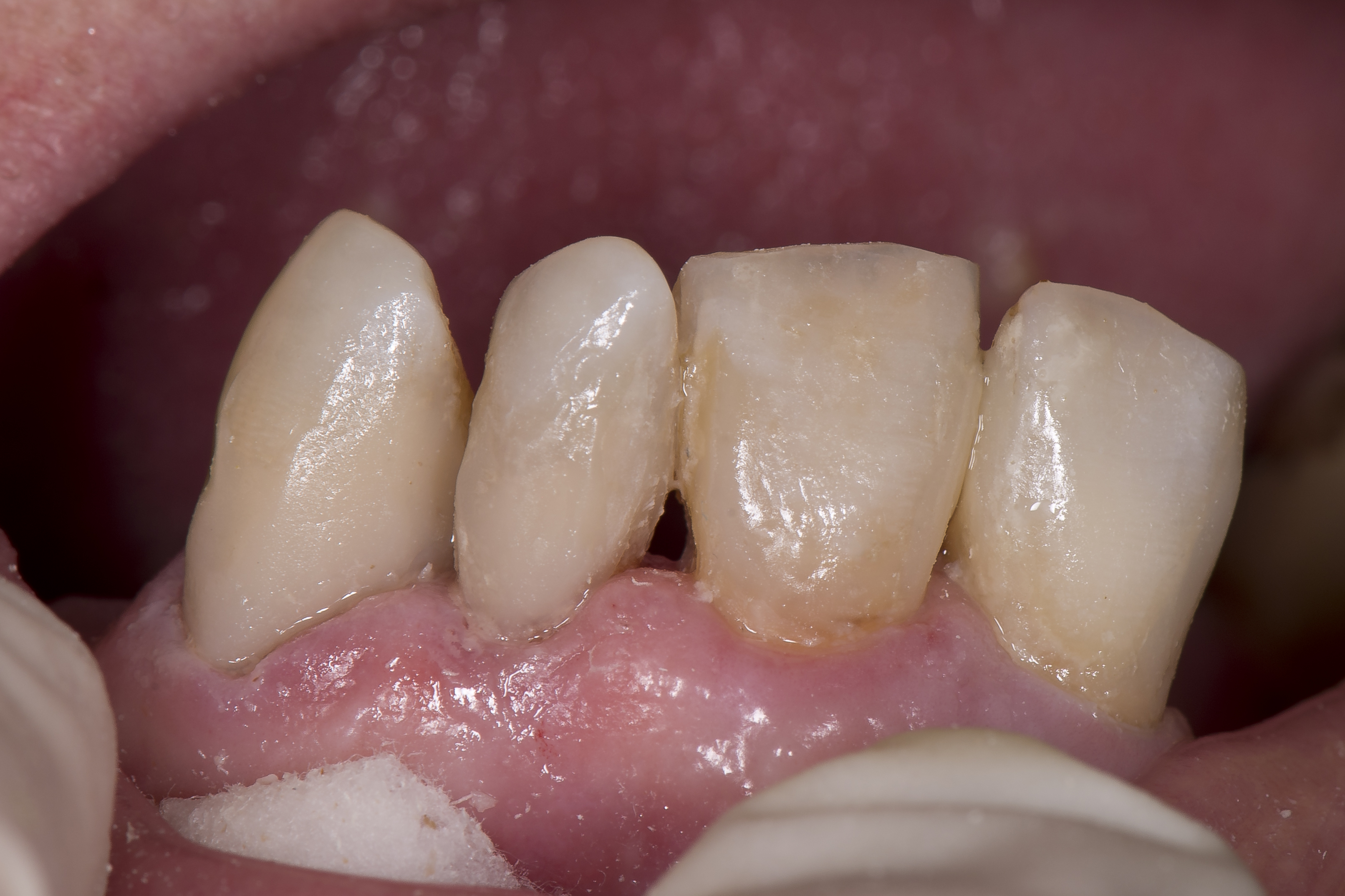
Po skończonej polimeryzacji każde wypełnienie było poddane kontroli i ewentualnemu dostosowaniu do warunków zwarciowych – co nie było zbyt problematyczne, biorąc pod uwagę umiejscowienie ubytków. Ostatnim etapem było polerowanie przy pomocy gumek Opti1Step oraz szczoteczek polerujących OccluBrush (Kerr) (ryc. 12).
Ryc. 12. Na zdjęciu widocznych jest ogółem sześć wypełnień kompozytowych wykonanych jednym odcieniem materiału kompozytowego w różnych miejscach różnych zębów i w ubytkach o różnym kształcie i głębokości.
PIŚMIENNICTWO
1. Ferracane JL. Resin composite—state of the art. Dent Mater. 2011; 27(1): 29-38.
2. Rasines Alcaraz MG, Veitz-Keenan A, Sahrmann P i wsp. Direct composite resin fillings versus amalgam fillings for permanent or adult posterior teeth. Cochrane Database Syst Rev. 2014; 31(3): CD005620.
3. Goh EZ, Beech N, Johnson NR. Dental anxiety in adult patients treated by dental students: A systematic review. J Dent Educ. 2020; 84(7): 805-811.
4. Strieder AP, Oliveira TM, Rios D i wsp. Is there a relationship of negative oral health beliefs with dental fear and anxiety regarding diverse dental patient groups? A systematic review and meta-analysis. Clin Oral Investig. 2019; 23(9) :3613-3621.
5. Sharif MO, Catleugh M, Merry A i wsp. Replacement versus repair of defective restorations in adults: resin composite. Cochrane Database Syst Rev. 2014; 2014(2): CD005971.
6. Homsy F, Eid R, El Ghoul W i wsp. Considerations for Altering Preparation Designs of Inlay/Onlay Restorations for Nonvital Teeth. J Prosthodont. 2015; 24(6): 457-462.
7. Joiner A. Tooth colour: A review of the literature. J Dent. 2004; 1: 3‑12.
8. Lee Y-K, Lim B-S, Rhee S-H i wsp. Changes in scattering and absorption properties of esthetic filling materials after aging. J Biomed Mater Res B Appl Biomater. 2007; 80(1): 131-139.
9. Chen F, Toida Y, Islam R i wsp. Evaluation of shade matching of a novel supra-nano filled esthetic resin composite employing structural color using simplified simulated clinical cavities. J Esthet Restor Dent. 2020.
10. Paravina RD, Westland S, Imai FH i wsp. Evaluation of blending effect of composites
related to restoration size. Dent Mater. 2006; 22(4): 299-307.
11. Chu SJ. Clinical steps to predictable color management in aesthetic restorative dentistry. Dent Clin North Am. 2007; 51(2): 473-485.
12. Terry DA, Geller W, Tric O i wsp. Anatomical form defines color: Function, form, and aesthetics. Pract Proced Aesthet Dent. 2002; 14(1): 59‑67.
13. Dietschi D, Fahl Jr N. Shading concepts and layering techniques to master direct anterior composite restorations: an update. Br Dent J. 2016; 221(12): 765-771.
14. Bittencourt de Abreu, Sampaio CS, Benalcázar Jalkh EB i wsp. Analysis of the color matching of universal resin composites in anterior restorations. J Esthet Restor Dent. 2020.
15. Durand LB, Ruiz-López J, Perez BG i wsp. Color, lightness, chroma, hue, and translucency adjustment potential of resin composites using CIEDE2000 color difference formula. J Esthet Restor Dent. 2020.
16. Arai Y, Kurokawa H, Takamizawa T i wsp. Evaluation of structural coloration of experimental flowable resin composites. J Esthet Restor Dent. 2020.
17. Lucena C, Ruiz-López J, Pulgar R i wsp. Optical behavior of one-shaded resin-based composites. Dent Mater. 2021; S0109-5641(21)00073-7.
18. Wakasa M, Nakanishi K, Manago K i wsp. Fine structure of tooth enamel in the yellowing human teeth: SEM and HRTEM studies. Microsc Res Tech. 2016; 79(1): 14-22.