Leczenie endodontyczne zęba 46 z przewlekłym ropnym zapalaniem tkanek okołowierzchołkowych – opis przypadku

Leczenie endodontyczne zęba 46 z przewlekłym ropnym zapalaniem tkanek okołowierzchołkowych – opis przypadku

Dostęp do tego artykułu jest płatny.
Zapraszamy do zakupu!

Cena: 12.50 PLN (z VAT)

Po dokonaniu zakupu artykuł w postaci pliku PDF prześlemy bezpośrednio pod twój adres e-mail.

Kup artykuł
MS 2021; 4: 44-48.

Aneta Olszewska, Damian Korczyński

Streszczenie

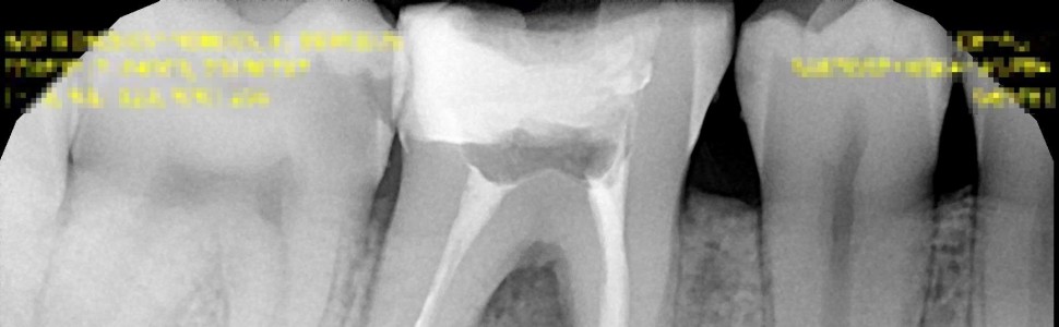
W pracy przedstawiono leczenie zęba 46 z przewlekłym ropnym zapaleniem tkanek okołowierzchołkowych obejmującym bifurkację. Efekty przeprowadzonej terapii badano klinicznie i radiologicznie przez 12 miesięcy.

Abstract

The study describe a root canal treatment with chronic purulent periapical inflammation including bifurcation. The results of the therapy were clinically and radiologically examined over a 12-month period.

Hasła indeksowe: leczenie endodontyczne, przewlekłe ropne zapalenie tkanek okołowierzchołkowych

Key words: root canal treatment, chronic periapical inflammation

PIŚMIENNICTWO

1. Arabska-Przedpełska B, Pawlicka H. Diagnostyka kliniczny chorób endodontium i okołowierzchołkowych tkanek zęba. W: Arabska-Przedpełska B, Pawlicka H (red.). Współczesna endodoncja w praktyce. Łódź: Bestom; 2011, s. 79-81.

2. Banach J. Badanie kliniczne. W: Jańczuk Z, Banach J, Dembowska E i wsp. Praktyczna Periodontologia Kliniczna. Warszawa: Kwintesencja; 2004, s. 61-62.

3. Zbożeń J. Płyny i materiały stosowane podczas opracowania kanałów korzeniowych. Online: http://endodoncja.pl/old/opracowanie5.html [dostęp: 18.12.2020].