REPORTAŻ KLINICZNY
Bezpośrednie przykrycie miazgi w przebiegu próchnicowego obnażenia - obserwacja roczna. Przypadek kliniczny i omówienie współczesnych wskazań w leczeniu próchnicy głębokiej na podstawie wytycznych Europejskiego Towarzystwa Endodontycznego (2019)
Direct pulp capping for management of cariously exposed pulps – 1 year observation.
Case report and discussion about contemporary deep caries treatment indications due to European Society of Endodontology position statement (2019)
Aleksandra Łyżwińska
Prywatna praktyka, Warszawa
Streszczenie
Zgodnie z wytycznymi Europejskiego Towarzystwa Endodontycznego z 2019 roku leczenie próchnicy głębokiej i postępowanie z obnażoną miazgą uległo zmianie. Zastosowanie nowoczesnych biomateriałów, takich jak mineralne agregaty trójtlenków (mineral trioxide aggregate – MTA) oraz hydrauliczne krzemiany wapnia (hydraulic calcium silicate cements – HCSCs), pozwoliły na przyżyciowe leczenie miazgi, odraczając konwencjonalne leczenie endodontyczne. Różnorodność systemów wiążących zawierających monomer 10-MDP umożliwia skuteczną chemiczną adhezję do biomateriałów i tkanek zęba oraz wytwarzanie warstwy odpornej na działanie kwasów i zasad (acid-base resistant zone – ABRZ), zwanej potocznie „super zębiną”. Celem tego artykułu jest zaprezentowanie przypadku bezpośredniego przykrycia miazgi oraz odbudowy kompozytowej zęba w rocznej obserwacji.
Abstract
According to European Society of Endodontology position statement the management of deep caries and the exposed pulp changed recently. New biomaterials such a mineral trioxide aggregate – MTA and Hydraulic calcium silicate cements HCSCs allowed perform vital pulp treatment and delay conventional endodontic treatment. The variety of bonding agents containing 10-MDP enables chemical adhesion to biomaterials and tooth structures as well, and creates an acid-base resistant zone (ABRZ), colloquially called “super dentin”. The aim of this case is to present direct pulp capping procedure and composite resin restoration in young patient with 1 year follow up.
Hasła indeksowe: 10-MDP, ABRZ, przykrycie bezpośrednie, przyżyciowe leczenie miazgi
Key words: 10-MDP, ABRZ, pulp capping, vital pulp treatment
Opis przypadku
Pacjent, lat 17, zgłosił się w celu leczenia zachowawczego. W wywiadzie stwierdzono przewlekłe zapalenie zatok oraz związane z nim nawykowe oddychanie przez usta.
W badaniu klinicznym oraz na podstawie pantomogramu stwierdzono:
- niedostateczną higienę jamy ustnej, szczególnie w przestrzeniach aproksymalnych,
- stan zapalny dziąseł, szczególnie nasilony w okolicy zębów13-23, 33-43,
- liczne ogniska próchnicy pierwotnej.
Plan leczenia zapalenia dziąseł oraz choroby próchnicowej obejmował:
- zabiegi profesjonalnej higienizacji,
- profilaktyki fluorowej (gabinetowej i domowej),
- instruktaż higieniczny, dietetyczny oraz motywację,
- leczenie zachowawcze z zastosowaniem leczenia biologicznego,
- kontynuację leczenia schorzeń laryngologicznych.
Leczenie zachowawcze zęba 15 rozpoczęto od testu żywotności (reakcja na bodziec zimny prawidłowa). Wykonano znieczulenie nasiękowe oraz izolację pola zabiegowego koferdamem (Rubber-Dam, Cerkamed) (ryc. 1). Ubytek opracowywano zgodnie z wytycznymi Europejskiego Towarzystwa Endodontycznego (European Society of Endodontology – ESE) w sprawie leczenia próchnicy głębokiej i obnażeń miazgi (1). W pierwszej kolejności, w powiększeniu, przy użyciu mikroskopu, wiertłem diamentowym na końcówce przyspieszającej usunięto próchnicowo zmienione szkliwo. Następnie wiertłem różyczkowym na mikrosilnik usunięto zainfekowaną bakteryjnie zębinę na peryferiach ubytku (infected dentine, soft dentine). Zbliżając się do komory zęba, zmieniono wiertło na sterylne i na niskich obrotach usuwano kolejne partie zębiny zainfekowanej. Podczas końcowej fazy opracowania ubytku doszło do próchnicowego obnażenia miazgi (obnażenie miazgi klasy II według ESE) (1) (ryc. 2). Zębinę zdemineralizowaną (affected dentine, firm dentine) pozostawiono w dnie ubytku. Krwawienie z miejsca obnażenia zahamowano sterylną gąbką, nasączoną roztworem 0,9-procentowym NaCl, uciskając przez 5 minut. Obnażenie zaopatrzono materiałem na bazie MTA (BIO MTA +, Cerkamed) i pozostawiono do wstępnego związania przez 12 minut (ryc. 3).
Ryc. 1. Sytuacja początkowa.
Ryc. 2. Próchnicowe obnażenie miazgi.
Ryc. 3. Przykrycie bezpośrednie (BIO MTA +, Cerkamed). Na ścianie dokomorowej widać firm dentine.
W celu zabezpieczenia biomateriału przed nadmiarem wilgoci zastosowano jednobuteleczkowy, samotrawiący, uniwersalny system wiążący Clearfil Universal Bond Quick (Kuraray Noritake) (ryc. 4). Prosta i szybka aplikacja oraz wysoka zawartość monomeru 10-MDP pozwala na trwałe, chemiczne wiązanie z wapniem w MTA oraz zębinie (2-4). Miejsce obnażenia pokryto płynnym materiałem kompozytowym w kolorze niebieskim (Color Flow, Cerkamed) (ryc. 5).
Ryc. 4. Aplikacja systemu wiążącego Clearfil Universal Bond Quick (Kuraray Noritake) na całą zębinę i materiału Color Flow (Cerkamed) na miejsce przykrycia miazgi.
Ryc. 5. Zabezpieczenie hydrofilnego systemu wiążącego Clearfil Universal Bond Quick (Kuraray Noritake) kompozytem płynnym Clearfil Majesty ES Flow Super Low A2 (Kuraray Noritake) na całej powierzchni zębiny.
W celu zwiększenia konwersji monomeru w dnie ubytku, przeprowadzono dwa cykle polimeryzacji (Valiant LED, VISTA USA), rozdzielone chłodzeniem zęba powietrzem ze strzykawki wodno-powietrznej (3, 4). W celu zabezpieczenia warstwy hybrydowej na resztę zębiny zaaplikowano materiał kompozytowy typu flow o zwiększonej ilości napełniacza Clearfil Majesty ES Flow Super Low w kolorze A2 (Kuraray Noritake). Do wysokości niepodpartego szkliwa na powierzchni mezjalnej zrąb zębinowy odbudowano materiałem kompozytowym typu bulk fill – OliBulk Fill MD (Olident) (ryc. 6). Ze względu na nietolerancję długich zabiegów przez pacjenta, spowodowaną trudnościami w oddychaniu w pozycji leżącej, ubytek zaopatrzono materiałem tymczasowym (Cavit, 3M) i odroczono ostateczną odbudowę.
Ryc. 6. Wypełnienie zrębu zębinowego do wysokości niepodpartej listwy szkliwnej kompozytem płynnym typu bulk-fill OliBulk Fill MD (Olident).
Z powodu pandemii COVID-19 kontynuacja leczenia odbyła się po 6 miesiącach. W wywiadzie pacjent nie zgłaszał dolegliwości bólowych zęba 15. Na drugiej wizycie ponownie sprawdzono żywotność zęba – reakcja na chlorek etylu była prawidłowa, ząb nie reagował bólem na opukiwanie. W znieczuleniu nasiękowym, w osłonie koferdamu i powiększeniu mikroskopu usunięto pozostałości wypełnienia tymczasowego oraz opracowano ubytek próchnicowy klasy II według Blacka w rejonie dystalnym (ryc. 7).
Ryc. 7. Druga wizyta – stan po usunięciu wypełnienia tymczasowego i opracowaniu ubytku klasy II dystalnie.
Przygotowanie do procedury adhezyjnej obejmowało schropowacenie powierzchni spolimeryzowanego materiału kompozytowego w okolicy mezjalnej, zukośnienie szkliwa na powierzchniach aproksymalnych oraz usunięcie niepodpartych pryzmatów szkliwa gumką z węglikiem krzemu (BAL109F "brownie", Nevadent). W celu adhezji do tkanek zęba oraz spolimeryzowanego kompozytu użyto systemu wiążącego Clearfil SE Bond 2 (Kuraray Noritake) techniką selektywnego trawienia szkliwa (selective etch). Dzięki dużej zawartości monomeru 10-MDP w primerze oraz dwubuteleczkowej formule jest on najbezpieczniejszym rozwiązaniem w przypadkach sąsiedztwa zębiny i kompozytu. (6). Ostateczną odbudowę kompozytową wykonano z materiałów Clearfil Majesty ES-2 Classic w kolorze A2 (Kuraray Noritake) oraz Clearfil Majesty ES Flow Super Low w kolorze A2 (Kuraray Noritake) (ryc. 8).
Ryc. 8. Wypełnienia kompozytowe materiałami Clearfil Majesty ES-2 Classic A2 (Kuraray Noritake) oraz Clearfil Majesty ES Flow High A2 (Kuraray Noritake).
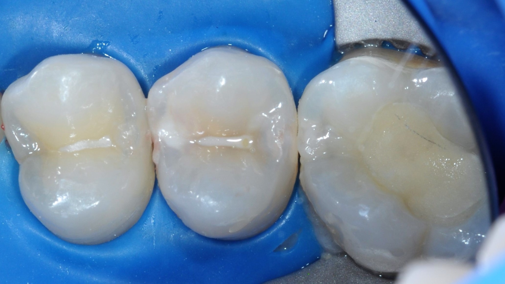
Wypełnienia wykończono dyskami ściernymi z nasypem z tlenku glinu (Sof-lex, 3M) oraz gumką impregnowaną węglikiem krzemu (BAL109F "brownie", Nevadent). Wstępne polerowanie wykonano gumkami diamentowymi Clearfil Twist DIA (Kuraray Noritake) oraz szczoteczkami nylonowymi (ryc. 9, 10). Odbudowy dostosowano w zgryzie i ostatecznie wypolerowano (ryc. 11, 12).
Ryc. 9. Wykończenie wypełnień (Sof-lex, 3M, BAL109F "brownie", Nevadent) i polerowanie wstępne (Clearfil Twist DIA, Kuraray Noritake, szczotka nylonowa).
Ryc. 10. Wykończenie wypełnień (Sof-lex, 3M, BAL109F "brownie", Nevadent) i polerowanie wstępne (Clearfil Twist DIA, Kuraray Noritake, szczotka nylonowa).
Ryc. 11. Stan po korekcie w okluzji i polerowaniu ostatecznym (Clearfil Twist DIA, Kuraray Noritake, szczotka nylonowa).
Ryc. 12. Stan po korekcie w okluzji i polerowaniu ostatecznym (Clearfil Twist DIA, Kuraray Noritake, szczotka nylonowa).
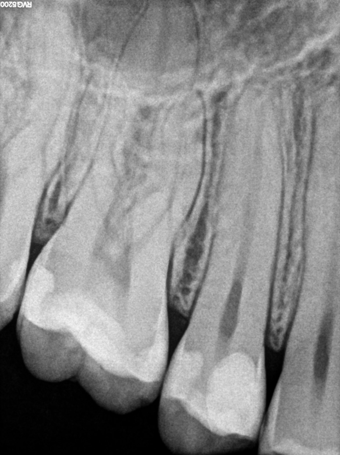
Zgodnie z wytycznymi ESE dotyczącymi leczenia przyżyciowego leczenia miazgi, kolejna wizyta kontrolna odbyła się po 6 miesiącach (12 miesięcy od przykrycia bezpośredniego miazgi) (2). Ząb 15 nie bolał samoistnie, wykazywał prawidłową reakcję na chlorek etylu. Na zdjęciu kontrolnym wykonanym w systemie radiografii cyfrowej przyzębie wierzchołkowe nie wykazało cech patologii (ryc. 13).
Ryc. 13. RVG kontrolne po 12 miesiącach od zabiegu bezpośredniego przykrycia miazgi zęba 15.
Dyskusja
Dzięki nowoczesnym materiałom biologicznym i systemom wiążącym z zębiną leczenie próchnicy głębokiej uległo znaczącym przemianom na przestrzeni ostatnich lat (2, 7-12). Dzięki zawartości 10-MDP oraz fluoru w samotrawiących systemach wiążących, możliwe jest powstanie „super zębiny” (super dentin) (13), czyli warstwy odpornej na działanie kwasów i zasad (acid-base resistant zone – ABRZ) (14, 15). Autorzy wytycznych ESE w sprawie leczenia próchnicy głębokiej postulują daleko posuniętą konserwatywność w działaniach operatorów. Powiązali oni kliniczny stan zębiny z postępowaniem zabiegowym (1).
Na podstawie obserwacji konsystencji wyróżniono trzy typy zębiny:
- soft dentine, czyli zębinę miękką, zainfekowaną bakteryjnie, poddającą się usunięciu narzędziami ręcznymi,
- firm dentine, czyli zębinę zdemineralizowaną próchnicowo, lecz niepoddającą się usunięciu narzędziami ręcznymi,
- hard dentine, czyli twardą, zdrową zębinę, niepoddającą się zarysowaniu zgłębnikiem, niespotykaną w ubytkach głębokich i bardzo głębokich.
W przypadku dwuseansowego leczenia próchnicy głębokiej jest wskazane stopniowe usuwanie soft dentine, wypełnienie tymczasowe biomateriałem z krzemianem wapnia lub glassjonomerem i pozostawienie na 6-12 miesięcy. Na kolejnej wizycie należy usunąć wypełnienie tymczasowe oraz oczyścić ubytek, pozostawiając na ścianie dokomorowej firm dentine (1, 16). Opisane postępowanie zmniejsza ryzyko obnażenia miazgi. Kiedy jednak do niego dochodzi, leczenie biologiczne próchnicowo obnażonej miazgi z wykorzystaniem MTA i krzemianów wapnia decyduje o sukcesie metod przyżyciowych na poziomie 80-90% (10-12).
Warunkiem koniecznym powodzenia przykryć bezpośrednich są sterylne techniki pracy oraz izolacja pola zabiegowego koferdamem przed obnażeniem miazgi.
W przypadku obnażenia miazgi bez izolacji koferdamem, lub gdy wiertło znoszące sklepienie komory jest niesterylne, należy odstąpić od procedury przykrycia bezpośredniego na rzecz pulpotomii częściowej lub całkowitej (1, 17-19). Zakres ingerencji mechanicznej w komorze zęba powinien być uwarunkowany stanem klinicznym miazgi i wywiadem (brak cech zapalenia, zapalenie odwracalne/nieodwracalne) (1). Kluczowymi elementami przyżyciowego leczenia miazgi są praca w powiększeniu mikroskopu zabiegowego (20, 21) oraz stosowanie systemów wiążących chemicznie z biomateriałami (22).
Niezależnie od wybranej metody leczenia endodontycznego, konwencjonalnego lub przyżyciowego decydujący wpływ na przetrwanie zębów ma szczelność docelowej odbudowy (23-27).
W przypadku leczenia przyżyciowego preparaty wodorotlenkowo-wapniowe i oparte na bazie tlenku cynku z eugenolem zaburzały adhezję materiałów złożonych i/lub ulegały resorpcji, promując szybkie powstawanie nieszczelności brzeżnych i mikroprzecieku bakteryjnego (7, 8, 10). Nowoczesne leczenie biologiczne, oparte na MTA i hydraulicznych cementach krzemianowo-wapniowych, promuje wytwarzanie szczelniejszych mostów zębinowych (7, 8, 10, 12, 28-31) oraz jednocześnie zapewnia możliwość odbudów kompozytowych w formie leczenia jednoseansowego lub odroczonego (1, 30, 32).
W porównaniu z MTA, hydrauliczne cementy krzemianowo-wapniowe charakteryzują się:
- szybszym czasem wstępnego wiązania,
- lepszymi parametrami wytrzymałościowymi,
- mniejszym ryzykiem przebarwiania tkanek zęba,
- umożliwiają tymczasowe wypełnienie całego ubytku (33, 34).
Niezależnie od wyboru biomateriału, w celu uniknięcia wypłukania go z dna ubytku po czasie wstępnego wiązania, zaleca się odejście od technik trawienia zębiny (total etch) na rzecz systemów samotrawiących (1, 32). Dla zwiększenia szczelności połączenia adhezyjnego zalecane jest stosowanie systemów wiążących zawierających monomer 10-MDP, który chemicznie wiąże się z wapniem (3, 4). Jego dodatkową zaletą jest zahamowanie aktywacji metaloproteinaz zębinowych i zwiększenie trwałości połączenia adhezyjnego (35). Po zastosowaniu hydrofilnych systemów wiążących (systemy VII i VIII generacji) warstwę hybrydową należy zabezpieczyć materiałem typu flow lub adhesivem hydrofobowym (IV i VI generacja) (36).
Zaznaczenie miejsca obnażenia kolorowym materiałem flow ma zastosowanie dydaktyczne. W codziennej praktyce autorka nie wykonuje tej procedury. Podczas wyboru materiału odtwórczego ważniejsze znaczenie mają parametry wytrzymałościowe (na przykład zawartość napełniacza i presilanizacja cząstek napełniacza) (37). Na niekorzyść mocno napigmentowanych materiałów przemawia utrudniona penetracja promieni lampy polimeryzacyjnej oraz odbijanie niebieskiego światła przez materiał w kolorze niebieskim. Wzrost długości czasu polimeryzacji wiąże się z możliwością termicznego uszkodzenia miazgi (3, 4).
Ze względu na dynamikę procesu próchnicowego w zębach stałych niedojrzałych oraz wysoki potencjał regeneracyjny zębiny grupą szczególnie predysponowaną do przyżyciowego leczenia miazgi są pacjenci małoletni (38).
Jak widać w zaprezentowanym przypadku, specyfika leczenia dzieci często wymaga skrócenia czasu trwania pierwszej wizyty i leczenia dwuseansowego. Powoduje to konieczność adhezji do całkowicie spolimeryzowanego kompozytu. Optymalną procedurą w takich przypadkach jest rozwinięcie powierzchni materiału złożonego poprzez piaskowanie abrazyjne tlenkiem glinu (39). Z powodu ograniczeń pracy podczas pandemii COVID-19 autorka odstąpiła od tej procedury. Powierzchnię kompozytu schropowacono wiertłem z nasypem diamentowym na końcówkę przyspieszającą. Sąsiedztwo zębiny z ubytku ulokowanego w dystalnej części zęba 15 powodowało ryzyko przesuszenia zębiny silanem. Odstąpiono od użycia silanu w roztworze alkoholowym na rzecz łagodnego primera z dużą zawartością monomeru 10-MDP (Clearfil SE Bond 2, Kuraray Noritake), który chemicznie łączy się ze spolimeryzowanym kompozytem.
Do ostatecznej odbudowy wykorzystano nanohybrydowy materiał o wysokiej polerowalności oraz kompatybilny system gumek impregnowanych diamentem. Poza walorami estetycznymi, gładka powierzchnia materiału znacząco zmniejszy przyleganie biofilmu bakteryjnego i ryzyko powstania próchnicy wtórnej (40).
Podsumowanie
Leczenie choroby próchnicowej we wszystkich stadiach rozwoju ubytków staje się coraz mniej inwazyjne. Stosowanie systemów wiążących, zawierających monomer 10-MDP, pozwala na znaczne uproszczenie procedur adhezyjnych oraz, przy współudziale fluoru, na powstawanie ”super zębiny”. Rutynowa praca w powiększeniu i izolacji koferdamem pozwala na znaczne ograniczenie wskazań do konwencjonalnego leczenia endodontycznego. Dzięki umiejętnemu stosowaniu współczesnych biometariałów i nowoczesnych systemów wiążących przyżyciowe leczenie schorzeń kompleksu miazgowo-zębinowego zapewnia sukces w 80-90% przypadków.
PIŚMIENNICTWO
- Duncan HF, Galler KM, Tomson PL i wsp. European Society of Endodontology position statement: Management of deep caries and the exposed pulp. Int Endod J. 2019; 52(7): 923-934.
- Shin JH, Jang JH, Park SH i wsp. Effect of mineral trioxide aggregate surface treatments on morphology and bond strength to composite resin. J Endod. 2014; 40(8): 1210-1216.
- Carrilho E, Cardoso M, Marques Ferreira M i wsp. 10-MDP Based Dental Adhesives: Adhesive Interface Characterization and Adhesive Stability-A Systematic Review. Materials (Basel). 2019; 12(5): 790.
- Yaguchi T. Layering mechanism of MDP-Ca salt produced in demineralization of enamel and dentin apatite. Dent Mater. 2017; 33(1): 23-32.
- Ertuğrul CÇ, Ertuğrul IFP. Temperature change in pulp chamber of primary teeth during curing of coloured compomers: an in vitro study using pulpal blood microcirculation model. PeerJ. 2019; 7: e7284.
- Bagis B, Bagis Y, Ertas E i wsp. Comparison of the heat generation of light curing units. J Contemp Dent Pract. 2008; 9(2): 65-72.
- Li Z, Cao L, Fan M i wsp. Direct Pulp Capping with Calcium Hydroxide or Mineral Trioxide Aggregate: A Meta-analysis. J Endod. 2015; 41(9): 1412-1417.
- Nair PNR, Duncan HF, Pitt Ford TR i wsp. Histological, ultrastructural and quantitative investigations on the response of healthy human pulps to experimental capping with mineral trioxide aggregate: a randomized controlled trial. Int Endod J. 2008; 41(2): 128-50.
- Cho SY, Seo DG, Lee SJ i wsp. Prognostic factors for clinical outcomes according to time after direct pulp capping. J Endod. 2013; 39(3): 327-331.
- Hilton TJ, Ferracane JL, Mancl L. Comparison of CaOH with MTA for direct pulp capping: a PBRN randomized clinical trial. J Dent Res 2013; 92(7 Suppl): 16S-22S.
- Mente J, Hufnagel S, Leo M i wsp. Treatment outcome of mineral trioxide aggregate or calcium hydroxide direct pulp capping: long-term results. J Endod. 2014; 40: 1746-1751.
- Kundzina R, Stangvaltaite L, Eriksen HM i wsp. Capping carious exposures in adults: a randomized controlled trial investigating mineral trioxide aggregate versus calcium hydroxide. Int Endod J. 2017; 50(10): 924-932.
- Nikaido T, Inoue G, Takagaki T i wsp. New strategy to create “Super Dentin” using adhesive technology: Reinforcement of adhesive–dentin interface and protection of tooth structures. Jpn Dent Sci Rev. 2011; 47: 31-42.
- Nikaido T, Ichikawa C, Li N i wsp. Effect of functional monomers in all-in-one adhesive systems on formation of enamel/dentin acid-base resistant zone. Dent Mater J. 2011; 30(5): 576-582.
- Guan R, Takagaki T, Matsui N i wsp. Dentin bonding performance using Weibull statistics and evaluation of acid-base resistant zone formation of recently introduced adhesives. Dent Mater J. 2016; 35(4): 684-693.
- Schwendicke F, Frencken JE, Bjørndal L i wsp. Managing Carious Lesions: Consensus Recommendations on Carious Tissue Removal. Adv Dent Res. 2016; 28(2): 58-67.
- Mejare I, Cvek M. Partial pulpotomy in young permanent teeth with deep carious lesions. Endod Dent Traumatol. 1993; 9: 238-242.
- Barrieshi-Nusair KM, Qudeimat MA. A prospective clinical study of mineral trioxide aggregate for partial pulpotomy in cariously exposed permanent teeth. J Endod. 2006; 32: 731-735.
- Chailertvanitkul P, Paphangkorakit J, Sooksantisakoonchai N i wsp. Randomized control trial comparing calcium hydroxide and mineral trioxide aggregate for partial pulpotomies in cariously exposed pulps of permanent molars. Int Endod J. 2014; 47(9): 835-842.
- Bogen G, Kim JS, Bakland LK. Direct pulp capping with mineral trioxide aggregate: an observational study. J Am Dent Assoc. 2008; 139(3): 305-315.
- Marques MS, Wesselink PR, Shemesh H. Outcome of direct pulp capping with mineral trioxide aggregate. J Endod. 2015; 41: 1026-1031.
- Tsujimoto M, Tsujimoto Y, Ookubo A i wsp. Timing for composite resin placement on mineral trioxide aggregate. J Endod. 2013; 39(9): 1167-1170.
- Ray HA, Trope M. Periapical status of endodontically treated teeth in relation to the technical quality of the root filling and coronal restoration. Int Endod J. 1995; 28: 12-18.
- Dammaschke T, Leidinger J, Schäfer E. Long-term evaluation of direct pulp capping--treatment outcomes over an average period of 6.1 years. Clin Oral Investig. 2010; 14(5): 559-567.
- Al-Hiyasat AS, Barrieshi-Nusair KM, Al-Omari MA. The radiographic outcomes of direct pulp-capping procedures performed by dental students: a retrospective study. J Am Dent Assoc. 2006; 137(12): 1699-1705.
- Ghoddusi J, Forghani M, Parisay I. New approaches in vital pulp therapy in permanent teeth. Iran Endod J. 2014; 9(1): 15-22.
- Barthel CR, Rosenkranz B, Leuenberg A i wsp. Pulp capping of carious exposures: treatment outcome after 5 and 10 years: a retrospective study. J Endod. 2000; 26(9): 525-528.
- Tran XV, Salehi H, Truong MT i wsp. Reparative Mineralized Tissue Characterization after Direct Pulp Capping with Calcium-Silicate-Based Cements. Materials (Basel). 2019; 12(13): 2102.
- Leye Benoist F, Gaye Ndiaye F, Kane AW i wsp. Evaluation of mineral trioxide aggregate (MTA) versus calcium hydroxide cement (Dycal) in the formation of a dentine bridge, a randomised controlled trial. Int Dent J. 2012; 62(1): 33-39.
- Petrou MA, Alhamoui FA, Welk A i wsp. A randomized clinical trial on the use of medical Portland cement, MTA and calcium hydroxide in indirect pulp treatment. Clin Oral Investig. 2014; 18(5): 1383-1389.
- Hashem D, Mannocci F, Patel S i wsp. Clinical and radiographic assessment of the efficacy of calcium silicate indirect pulp capping: a randomized controlled clinical trial. J Dent Res. 2015; 94(4): 562-568.
- Krawczyk-Stuss M, Ostrowska A, Łapińska B i wsp. Evaluation of shear bond strength of the composite to Biodentine with different adhesive systems. Dent Med Probl. 2015; 52(4): 434-439.
- Rajasekharan S, Martens LC, Cauwels RG i wsp. Biodentine™ material characteristics and clinical applications: a review of the literature. Eur Arch Paediatr Dent. 2014; 15(3): 147-158.
- Koubi G, Colon P, Franquin JC i wsp. Clinical evaluation of the performance and safety of a new dentine substitute, Biodentine, in the restoration of posterior teeth. A prospective study. Clin Oral Investig. 2013; 17(1): 243-249.
- Xu J, Li M, Wang W i wsp. A novel prime-&-rinse mode using MDP and MMPs inhibitors improves the dentin bond durability of self-etch adhesive. J Mech Behav Biomed Mater. 2020; 104: 103698.
- Reis A, Leite TM, Matte K i wsp. Improving clinical retention of one-step self-etching adhesive systems with an additional hydrophobic adhesive layer. J Am Dent Assoc. 2009; 140(7): 877-885.
- Randolph LD, Palin WM, Leloup G i wsp. Filler characteristics of modern dental resin composites and their influence on physico-mechanical properties. Dent. Mater. 2016, 12: 1586-1599.
- Postek-Stefańska L, Szczepańska J, Olczak-Kowalczyk D. Specyfika leczenia chorób miazgi niedojrzałych zębów stałych. W: Współczesna stomatologia wieku rozwojowego. Otwock: Med Tour Press International Sp. z o.o.; 2017, s. 524-543.
- Cavalcanti AN, De Lima AF, Peris AR i wsp. Effect of surface treatments and bonding agents on the bond strength of repaired composites. J Esthet Restor Dent. 2007; 19(2): 90-98.
- Dutra D, Pereira G, Kantorski K i wsp. Does Finishing and Polishing of Restorative Materials Affect Bacterial Adhesion and Biofilm Formation? A Systematic Review. Oper Dent. 2018; 43(1): E37-E52.