REPORTAŻ KLINICZNY: Wspomagana komputerowo odbudowa zębów w strefie estetycznej. Opis przypadku

REPORTAŻ KLINICZNY: Wspomagana komputerowo odbudowa zębów w strefie estetycznej. Opis przypadku

Dostęp do tego artykułu jest płatny.
Zapraszamy do zakupu!

Cena: 12.50 PLN (z VAT)

Po dokonaniu zakupu artykuł w postaci pliku PDF prześlemy bezpośrednio pod twój adres e-mail.

Kup artykuł
MS 2020; 10: 32-37.
Bartosz Zawadzki

Streszczenie
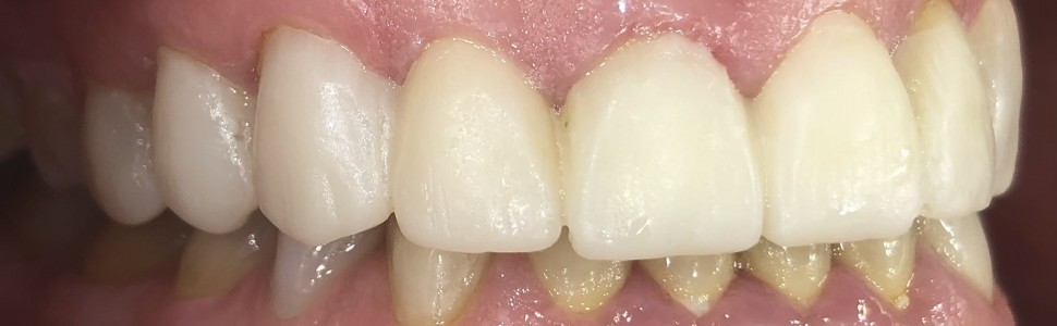
Odbudowa protetyczna w strefie estetycznej jest dużym wyzwaniem w pracy lekarza dentysty. Pracę protetyczną należy zaplanować tak, aby oprócz przywrócenia funkcji i estetyki w układzie stomatognatycznym w miarę możliwości uwzględnić życzenia i oczekiwania pacjenta. Przymierzenie pracy w postaci mock‑upu ułatwia w sposób zdecydowany komunikację w całym zespole. Skan mock‑upu wykonany za pomocą skanera wewnątrzustnego, opracowanie koron tymczasowych, a następnie wykonanie pracy ostatecznej na podstawie mock‑upu w postaci koron protetycznych zapewniają powodzenie w leczeniu protetycznym.

Abstract
Prosthetic treatment in esthetic zone is a huge challenge in dentistry. Treatment plan has to be considered according to patient expectations. Mock‑up tryon improves communication in a dental team. Scans of a mock‑up, preparation of teeth through temporary crowns and creation of a dental crown, based on a mock up, provides success for the prosthetic treatment.

Hasła indeksowe: korona protetyczna, stomatologia cyfrowa, skaner wewnątrzustny, CAD/CAM
Key words: dental crown, digital dentistry, intraoral scanner, CAD/CAM

PIŚMIENNICTWO
1. Majewski S. Współczesna protetyka stomatologiczna. Podstawy teoretyczne i praktyka kliniczna. Wrocław: Elsevier Urban & Partner; 2014.
2. Spiechowicz E. Protetyka stomatologiczna. Podręcznik dla studentów. Wyd. 6 uaktual. i rozsz. Warszawa: Wydawnictwo Lekarskie PZWL; 2008.
3. Dejak B (red.). Kompendium wykonywania uzupełnień́ protetycznych. Otwock: Med Tour Press International; 2014.
4. Majewski S, Pryliński M. Materiały i technologie współczesnej protetyki stomatologicznej. Podręcznik dla studentów stomatologii, lekarzy i techników dentystycznych. Lublin: Wydawnictwo Czelej; 2013.
5. Ahmad I. Stomatologia estetyczna. Wyd. 1 pol. Suliborski S (red.). Kobierska‑Brzoza J, Ptak P (tłum.). Wrocław: Urban & Partner; 2007.
6. Mierzwińska‑Nastalska E (red.). Uzupełnienia ceramiczne. Postępowanie kliniczne i wykonawstwo laboratoryjne. Otwock: Med Tour Press International; 2011.
7. Logozzo Silvia, Zanetti EM, Franceschini Giordano i wsp. Recent advances in dental optics – Part I: 3D intraoral scanners for restorative dentistry. Optics and Lasers In Engineering. 2014; 54: 203‑221.
8. Sulaiman TA. Materials in digitals dentistry – A review. J. Esthet Restor Dent. 2020; 32(2): 171‑181.
9. Abdel‑Azim T, Zandinejad A, Metz M i wsp. Maxillary and Mandibular Rehabilitation in the Esthetic Zone Using a Digital Impression Technique and CAD/CAM‑fabricated Prostheses: A Multidisciplinary Clinical Report. Oper Dent. 2015; 40(4): 350‑356.