REPORTAŻ KLINICZNY: Estetyczna odbudowa bezpośrednia zębów odcinka przedniego. Opis przypadku

REPORTAŻ KLINICZNY: Estetyczna odbudowa bezpośrednia zębów odcinka przedniego. Opis przypadku

Dostęp do tego artykułu jest płatny.
Zapraszamy do zakupu!

Cena: 12.50 PLN (z VAT)

Po dokonaniu zakupu artykuł w postaci pliku PDF prześlemy bezpośrednio pod twój adres e-mail.

Kup artykuł
MS 2020; 10: 40-45.
Karolina Kowalczyk

Streszczenie
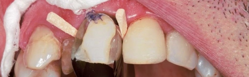
Poprawa estetyki uzębienia jest obecnie jednym z głównych zadań, przed jakimi na co dzień stają lekarze stomatolodzy. W sytuacji braku możliwości podjęcia przez pacjenta interdyscyplinarnego, długotrwałego leczenia alternatywą staje się postępowanie minimalnie inwazyjne. Do takich rozwiązań należy wykorzystanie materiałów złożonych. W pracy przedstawiono bezpośrednią kompozytową odbudowę zębów przednich.

Abstract
Improving the aesthetics of the teeth is currently one of the main problems that dentists face on a daily practice. If the patient cannot take interdisciplinary, long‑term treatment, minimally invasive procedures become an alternative. Such solutions include the use of composite materials. The paper presents a direct composite restoration of the anterior teeth.

Hasła indeksowe: materiał kompozytowy, bezpośrednia odbudowa, stomatologia minimalnie inwazyjna
Key words: composite material, direct restoration, minimal invasive dentistry

PIŚMIENNICTWO

1. Banerjee A, Millar B. Stomatologia estetyczna – zabiegi minimalnie inwazyjne. Borczyk D. (red. wyd. pol.). Wrocław: Edra Urban & Partner; 2016.
2. Romero MF, Austin JG, Todd M. Restoration of a large class IV fracture using direct composite resin: A clinical report. J Prosthet Dent. 2017; 118(4): 447‑451.
3. Dziewulska A, Tomasik M, Bińczak P i wsp. Wypełnienia estetyczne z materiału nanohybrydowegoGrandioSO. Mag Stomatol. 2015; 12: 70‑73.
4. Szmidt M, Górski M, Buczkowska‑Radlińska J. Estetyczna rekonstrukcja kompozytowa zębów przednich szczęki wykonana metodą bezpośrednią. Mag Stomatol. 2014; 4: 20‑22.
5. Xia J, Yinghua L, Dongping C i wsp. Direct resin composite restoration of maxillary central incisors using a 3D‑printed template: two clinical cases. BMC Oral Health. 2018; 18(1): 158.