Dostęp do tego artykułu jest płatny.
Zapraszamy do zakupu!
Cena: 12.50 PLN (z VAT)
Kup artykuł
Po dokonaniu zakupu artykuł w postaci pliku PDF prześlemy bezpośrednio pod twój adres e-mail.
MS 2020; 6: 21-28.
Karolina Kowalczyk
Streszczenie
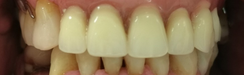
Stomatolodzy praktycy w codziennej pracy stają często przed problemem odbudowy ciągłości łuków zębowych. Dotyczy to przypadków, gdy istniejące zęby zostały starte i zniszczone przez nadmierne zużycie. Pacjenci często po usunięciu kilku zębów nie odbudowują protetycznie braków zębowych, funkcjonują dalej, a układ stomatognatyczny adaptuje się do danej sytuacji. W pracy przedstawiono zagadnienia odbudowy zębów i braków zębowych z jednoczesnym odtworzeniem funkcji układu stomatognatycznego oraz estetyki uśmiechu.
Abstract
Practitioners in everyday work often face the problem of restoring the continuity of dental arches. This applies to cases where existing teeth are worn and damaged by excessive wear. Patients often after prosthetic removal do not rebuild the missing teeth, they continue to function and the stomatognathic system adapts to the given situation. The paper presents issues of tooth reconstruction and missing teeth with simultaneous restoration of the functions of the stomatognathic system and smile aesthetics.
Hasła indeksowe: patologiczne starcie zębów, materiał kompozytowy G-aenial Universal Injectable i Estelite Asteria, odbudowa tymczasowa
Key words: pathological tooth wear, composite material G-aenial Universal Injectable and Estelite Asteria, temporary restoration
PIŚMIENNICTWO
1. Sierpińska T, Kuc J, Golebiewska M. Assessment of masticatory muscle activity and occlusion time in patients with advenced tooth wear. Arch Oral Biol; T. 60. Elsevier; 2015, 1346-1355.
2. Bartlett DW. The role of erosion in tooth wear: aetiology, prevention and management. Int Dent 2005; 55: 277-284.
3. Ferrario VF i wsp. The influence of occlusion on jaw and Neck muscle activity: a surface EMG study in health young adults. J Oral Rehabil 2006; 33: 341-348.
4. Bartlett DW. Retrospective long term monitoring of tooth wear using study models. Br Dent J 2003; 194: 211-213.
5. Majewski S. Patologiczne starcie zębów. W: Majewski S. Współczesna protetyka stomatologiczna. Podstawy teoretyczne i praktyka kliniczna. Edra Urban & Partner; 2018, s. 306-307
6. Bożyk A i wsp. Leczenie starcia patologicznego zębów z wykorzystaniem włókna szklanego, koron kompozytowych oraz protez częściowych. Mag Stomatol 2012; 1: 66-70.
7. Fabbri G i wsp. Mock-up typu full-mouth: dynamiczny element diagnostyczny pozwalający na przetestowanie funkcji i estetyki w przypadku kompleksowych rehabilitacji protetycznych z podniesieniem wysokości zwarcia. Quintessence Stomatol 2019; XXVII: 10-20.
8. Wichrowska-Rymarek K. Odbudowa zęba trzonowego metodą półpośrednią. Mag Stomatol 2018; 7(8): 92-94.
9. Mesco ME i wsp. Rehabilitation of severely worn teeth: A systematic review. J Dent 2016; 48: 9-15.
Streszczenie
Stomatolodzy praktycy w codziennej pracy stają często przed problemem odbudowy ciągłości łuków zębowych. Dotyczy to przypadków, gdy istniejące zęby zostały starte i zniszczone przez nadmierne zużycie. Pacjenci często po usunięciu kilku zębów nie odbudowują protetycznie braków zębowych, funkcjonują dalej, a układ stomatognatyczny adaptuje się do danej sytuacji. W pracy przedstawiono zagadnienia odbudowy zębów i braków zębowych z jednoczesnym odtworzeniem funkcji układu stomatognatycznego oraz estetyki uśmiechu.
Abstract
Practitioners in everyday work often face the problem of restoring the continuity of dental arches. This applies to cases where existing teeth are worn and damaged by excessive wear. Patients often after prosthetic removal do not rebuild the missing teeth, they continue to function and the stomatognathic system adapts to the given situation. The paper presents issues of tooth reconstruction and missing teeth with simultaneous restoration of the functions of the stomatognathic system and smile aesthetics.
Hasła indeksowe: patologiczne starcie zębów, materiał kompozytowy G-aenial Universal Injectable i Estelite Asteria, odbudowa tymczasowa
Key words: pathological tooth wear, composite material G-aenial Universal Injectable and Estelite Asteria, temporary restoration
PIŚMIENNICTWO
1. Sierpińska T, Kuc J, Golebiewska M. Assessment of masticatory muscle activity and occlusion time in patients with advenced tooth wear. Arch Oral Biol; T. 60. Elsevier; 2015, 1346-1355.
2. Bartlett DW. The role of erosion in tooth wear: aetiology, prevention and management. Int Dent 2005; 55: 277-284.
3. Ferrario VF i wsp. The influence of occlusion on jaw and Neck muscle activity: a surface EMG study in health young adults. J Oral Rehabil 2006; 33: 341-348.
4. Bartlett DW. Retrospective long term monitoring of tooth wear using study models. Br Dent J 2003; 194: 211-213.
5. Majewski S. Patologiczne starcie zębów. W: Majewski S. Współczesna protetyka stomatologiczna. Podstawy teoretyczne i praktyka kliniczna. Edra Urban & Partner; 2018, s. 306-307
6. Bożyk A i wsp. Leczenie starcia patologicznego zębów z wykorzystaniem włókna szklanego, koron kompozytowych oraz protez częściowych. Mag Stomatol 2012; 1: 66-70.
7. Fabbri G i wsp. Mock-up typu full-mouth: dynamiczny element diagnostyczny pozwalający na przetestowanie funkcji i estetyki w przypadku kompleksowych rehabilitacji protetycznych z podniesieniem wysokości zwarcia. Quintessence Stomatol 2019; XXVII: 10-20.
8. Wichrowska-Rymarek K. Odbudowa zęba trzonowego metodą półpośrednią. Mag Stomatol 2018; 7(8): 92-94.
9. Mesco ME i wsp. Rehabilitation of severely worn teeth: A systematic review. J Dent 2016; 48: 9-15.