Dostęp do tego artykułu jest płatny.
Zapraszamy do zakupu!
Cena: 12.50 PLN (z VAT)
Kup artykuł
Po dokonaniu zakupu artykuł w postaci pliku PDF prześlemy bezpośrednio pod twój adres e-mail.
MS 2020; 6: 30-35.
Kaja Wichrowska-Rymarek
Streszczenie
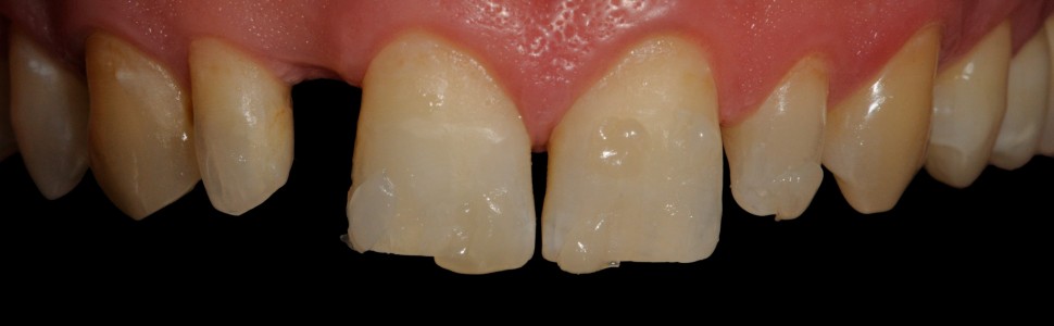
W przypadku, gdy pacjent oczekujący zmiany estetyki nie jest w stanie podjąć kompleksowego, wielospecjalistycznego leczenia można rozważyć alternatywne metody postępowania. W pracy przedstawiono przypadek kliniczny, w którym zęby przednie szczęki zostały odbudowane metodą bezpośrednią z wykorzystaniem dwóch rodzajów indeksów silikonowych.
Abstract
When a patient expects visible aesthetic changes, but cannot undergo complex, multidisciplinary treatment, the dentist can resort to alternative methods. This paper shows a clinical case of front teeth direct restoration, using two different silicone indexes.
Hasła indeksowe: materiał kompozytowy, indeks silikonowy, technika minimalnie inwazyjna
Key words: composite material, silicon index, minimal invasive technique
PIŚMIENNICTWO
1. Korkut B. Smile makeover with direct composite veneers: A two-year follow-up report. J Dent Res Dent Clin Dent Prospects. 2018; 12(2): 146-151.
2. Jurado CA i wsp. Licówki wykonywane techniką iniekcji kompozytu flow jako prototypy licówek ceramicznych. QLS. 2019; 2: 98-107.
3. Korkut B, Yanıkoğlu F, Günday M. Direct composite laminate veneers: three case reports. J Dent Res Dent Clin Dent Prospects. 2013; 7(2): 105-111.
4. McLaren EA, Figueira J, Goldstein RE. A Technique Using Calibrated Photography and Photoshop for Accurate Shade Analysis and Communication. Compend Contin Educ Dent. 2017; 38(2): 106-113.
5. Loguercio AD i wsp. Influence of Isolation Method of the Operative Field on Gingival Damage, Patients' Preference, and Restoration Retention in Noncarious Cervical Lesions. Oper Dent. 2015; 40(6): 581-593.
6. Bijelic‐Donova J i wsp. Oxygen inhibition layer of composite resins: effects of layer thickness and surface layer treatment on the interlayer bond strength. Eur J Oral Sci. 2015; 123(1): 53-60.
7. Kumari RV i wsp. Evaluation of the effect of surface polishing, oral beverages and food colorants on color stability and surface roughness of nanocomposite resins. J Int Oral Health. 2015; 7(7): 63-70.
8. Jefferies SR. The art and science of abrasive finishing and polishing in restorative dentistry. Dent Clin North Am. 1998; 42(4):613-627.
9. Terry DA, Powers JM. A predictable resin composite injection technique, part 1. Dent Today. 2014; 33(4): 96, 98-101.
10. Terry DA i wsp. A predictable resin composite injection technique, part 2. Dent Today. 2014; 33(8): 12.
Streszczenie
W przypadku, gdy pacjent oczekujący zmiany estetyki nie jest w stanie podjąć kompleksowego, wielospecjalistycznego leczenia można rozważyć alternatywne metody postępowania. W pracy przedstawiono przypadek kliniczny, w którym zęby przednie szczęki zostały odbudowane metodą bezpośrednią z wykorzystaniem dwóch rodzajów indeksów silikonowych.
Abstract
When a patient expects visible aesthetic changes, but cannot undergo complex, multidisciplinary treatment, the dentist can resort to alternative methods. This paper shows a clinical case of front teeth direct restoration, using two different silicone indexes.
Hasła indeksowe: materiał kompozytowy, indeks silikonowy, technika minimalnie inwazyjna
Key words: composite material, silicon index, minimal invasive technique
PIŚMIENNICTWO
1. Korkut B. Smile makeover with direct composite veneers: A two-year follow-up report. J Dent Res Dent Clin Dent Prospects. 2018; 12(2): 146-151.
2. Jurado CA i wsp. Licówki wykonywane techniką iniekcji kompozytu flow jako prototypy licówek ceramicznych. QLS. 2019; 2: 98-107.
3. Korkut B, Yanıkoğlu F, Günday M. Direct composite laminate veneers: three case reports. J Dent Res Dent Clin Dent Prospects. 2013; 7(2): 105-111.
4. McLaren EA, Figueira J, Goldstein RE. A Technique Using Calibrated Photography and Photoshop for Accurate Shade Analysis and Communication. Compend Contin Educ Dent. 2017; 38(2): 106-113.
5. Loguercio AD i wsp. Influence of Isolation Method of the Operative Field on Gingival Damage, Patients' Preference, and Restoration Retention in Noncarious Cervical Lesions. Oper Dent. 2015; 40(6): 581-593.
6. Bijelic‐Donova J i wsp. Oxygen inhibition layer of composite resins: effects of layer thickness and surface layer treatment on the interlayer bond strength. Eur J Oral Sci. 2015; 123(1): 53-60.
7. Kumari RV i wsp. Evaluation of the effect of surface polishing, oral beverages and food colorants on color stability and surface roughness of nanocomposite resins. J Int Oral Health. 2015; 7(7): 63-70.
8. Jefferies SR. The art and science of abrasive finishing and polishing in restorative dentistry. Dent Clin North Am. 1998; 42(4):613-627.
9. Terry DA, Powers JM. A predictable resin composite injection technique, part 1. Dent Today. 2014; 33(4): 96, 98-101.
10. Terry DA i wsp. A predictable resin composite injection technique, part 2. Dent Today. 2014; 33(8): 12.