Kompromisowe zaopatrzenie brakującego zęba w strefie estetycznej

Kompromisowe zaopatrzenie brakującego zęba w strefie estetycznej

Dostęp do tego artykułu jest płatny.
Zapraszamy do zakupu!

Cena: 12.50 PLN (z VAT)

Po dokonaniu zakupu artykuł w postaci pliku PDF prześlemy bezpośrednio pod twój adres e-mail.

Kup artykuł

MS 2020; 6: 12-19

Dawid Pisuk

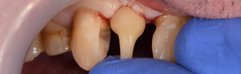
Utrata nawet jednego zęba, zarówno w odcinku bocznym, jak i strefie estetycznej, pociąga za sobą wiele negatywnych konsekwencji dla prawidłowego funkcjonowania całego układu stomatognatycznego. W zależności od zdolności adaptacyjnych organizmu w różnym czasie można zaobserwować stopniowe biomechaniczne szkody w obrębie tkanek twardych uzębienia przeciążonego asymetrycznym rozkładem sił, jak pęknięcia szkliwa skutkujące osłabieniem suprastruktur, przesuwaniem i nachylaniem zębów do luki. [...]

Do mojej praktyki zgłosił się 50-letni pacjent w celu ustalenia postępowania w związku z utratą 3 tygodnie wcześniej zęba 12. Przyczyną usunięcia były zapalne zmiany okołowierzchołkowe i ogólne złe rokowanie zęba (brak obręczy protetycznej). Decyzją lekarza prowadzącego wykonano ekstrakcję zęba 12, a brak korony klinicznej zęba na czas gojenia tkanek został uzupełniony nieinwazyjnym prowizorium kompozytowym, jedną porcją z materiału Gradia A3,5. 

następny artykuł