Dostęp do tego artykułu jest płatny.
Zapraszamy do zakupu!
Cena: 12.50 PLN (z VAT)
Kup artykuł
Po dokonaniu zakupu artykuł w postaci pliku PDF prześlemy bezpośrednio pod twój adres e-mail.
Streszczenie
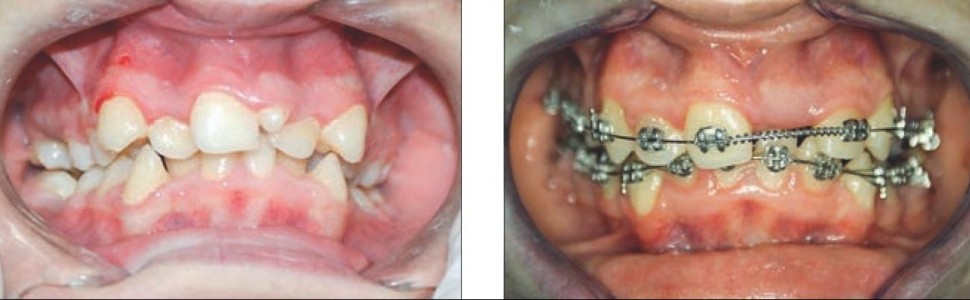
Zaburzenia liczby zębów dotyczą przypadków, gdy jest ona zbyt duża (hyperdontia) lub zbyt mała (hypodontia) w stosunku do normy. Zęby nadliczbowe mogą występować w każdej okolicy łuków zębowych, jednak szczególnie często stwierdza się je w odcinku przednim szczęki i żuchwy (89-96%). Najczęściej występuje pojedynczy ząb nadliczbowy, niekiedy jednak ich liczba jest większa. Hiperdoncja stanowi częstą przyczynę nieprawidłowości zębowych i okluzyjnych, zaburzeń estetycznych, zatrzymania wyrzynania się zębów siecznych. Może powodować martwicę miazgi lub resorpcję korzeni. Leczenie polega głównie na ekstrakcji zębów nadliczbowych.
Abstract
Disorders of number of teeth can be decrease or increase number of teeth (hyperdontia or hypodontia). Supernumerary teeth can develop in every part of jaws, but especially often they develop in front section of jaws (89-96%). Generally occurs a single supernumerary tooth but there are clinical cases with few supernumerary teeth. Hyperdontia can cause: tooth and occlusal abnormalities, esthetic disorders, impacting tooth. It may also cause necrosis of pulpae or root resorption. Treating is mainly based on extraction of supernumerary tooth.
Hasła indeksowe: hiperdoncja, zęby nadliczbowe, mesiodens, ząb zatrzymany
Key words: hyperdontia, supernumerary tooth, mesiodens, impacted tooth
PIŚMIENNICTWO
1. Proff P. i wsp.: Problems of supernumerary teeth, hyperdontia or dentes supernumerarii. Ann. Anat., 2006, 188, 163-169.
2. Olczak-Kowalczyk D., Szczepańska J., Kaczmarek U.: Współczesna stomatologia wieku rozwojowego. Med Tour Press International Sp. z o.o. Wydanie I. Otwock 2017, 138-139.
3. Shahzad K., Roth L.E.: Prevalence and management of fourth molars: a retrospective study and literature review. J. Oral Maxilofac. Surg., 2012, 70, 2, 272-275.
4. Basdra E.K., Kiokpasoglou M.N., Komposch G.: Congenital tooth anomalies and malocclusions: a genetic link? Europ. J. Orthod., 2001, 23, 145-151.
5. Rahnama M. i wsp.: A rare case of retained fourth molar teeth in maxilla and mandible. Case report. Curr. Issues Pharm. Med. Sci., 2014, 27, 118-120.
6. Hurlen B., Humerfelt D.: Characteristics of premaxillary hyperodontia. A radiographic study. Acta. Odontol. Scand., 1985, 43, 2, 75-85.
7. Huang W.H., Tsai T.P., Su H.L.: Mesiodens in the primary dentition stage: a radiographic study. ASDC J. Dent. Child., 1992, 59, 3, 186-189.
8. Russel K.A., Folwarczna M.A.: Mesiodens – diagnosis and management of a common supernumerary tooth. J. Can. Dent. Assoc., 2003, 69, 362-366.
9. Erkmen N., Olmez S., Onerci M.: Supernumerary tooth in maxillary sinus – case report. Aust. Dent. J., 1998, 43, 6, 385-386.
10. Kumar A. i wsp.: Supernumerary teeth: report of four unusual cases. Contemp. Clin. Dent., 2012, 3, 71-77.
11. Jensen B., Kreiborg S.: Development of the dentition in cleidocranial dysplasia. J. Oral Pathol. Med., 1990, 19, 89-93.
12. Komorowska A., Drelich A.: Powstawanie i rozwój zębów nadliczbowych. Czas. Stomatol., 1995, 48, 272-281.
13. Burzyński N., Escobar V.: Classification and genetics of numeric anomalies of dentition. Birth Defects Orig. Artic. Ser., 1983, 19, 1, 95-106.
14. Masztalerz A.: Stłoczenie zębów – problem nie tylko ortodontyczny. Mag. Stomatol., 1995, V, 43, 17-26.
15. Paruzel-Pliskowska A. i wsp.: Anomalie liczbowe zębów – opisy przypadków klinicznych. Stomatol. Współcz., 2017, 24, 3, 41-45.
16. Białkowska-Głowacka J. i wsp.: Rzadkie przypadki występowania zębów trzonowych czwartych w szczęce. Mag. Stomatol., 2002, XII, 3, 34-35.
17. Jagodzińska J.: Kilka uwag na temat zębów nadliczbowych. Czas. Stomatol., 1974, XXVIL, 3, 281-285.
18. Kokten A. i wsp.: Supernumerary fourth and fifth molars: a report of two cases. J. Contemp. Dent. Pract., 2003, 4, 67-76.
19. Wychowański P. i wsp.: Analiza morfologiczna zębiny zębów nadliczbowych i dodatkowych. Nowa Stomatol. 2004, 1, 3-6.
20. Knychalska-Karwan Z. i wsp.: The mesiodens teeth under electron scanning microskop and X-ray microanaliser. J. Int. Assoc. Dent. Child., 1984, 15, 1, 7-13.
21. Strużak-Wysokińska M. i wsp.: Przydatność badania radiologicznego w diagnostyce zębów nadliczbowych. Czas. Stomatol., 1989, 42, 1, 8-13.
22. Zadurska M. i wsp.: Nadliczbowość zębów na postawie piśmiennictwa. Czas. Stomatol., 2005, 58, 4.
Zaburzenia liczby zębów dotyczą przypadków, gdy jest ona zbyt duża (hyperdontia) lub zbyt mała (hypodontia) w stosunku do normy. Zęby nadliczbowe mogą występować w każdej okolicy łuków zębowych, jednak szczególnie często stwierdza się je w odcinku przednim szczęki i żuchwy (89-96%). Najczęściej występuje pojedynczy ząb nadliczbowy, niekiedy jednak ich liczba jest większa. Hiperdoncja stanowi częstą przyczynę nieprawidłowości zębowych i okluzyjnych, zaburzeń estetycznych, zatrzymania wyrzynania się zębów siecznych. Może powodować martwicę miazgi lub resorpcję korzeni. Leczenie polega głównie na ekstrakcji zębów nadliczbowych.
Abstract
Disorders of number of teeth can be decrease or increase number of teeth (hyperdontia or hypodontia). Supernumerary teeth can develop in every part of jaws, but especially often they develop in front section of jaws (89-96%). Generally occurs a single supernumerary tooth but there are clinical cases with few supernumerary teeth. Hyperdontia can cause: tooth and occlusal abnormalities, esthetic disorders, impacting tooth. It may also cause necrosis of pulpae or root resorption. Treating is mainly based on extraction of supernumerary tooth.
Hasła indeksowe: hiperdoncja, zęby nadliczbowe, mesiodens, ząb zatrzymany
Key words: hyperdontia, supernumerary tooth, mesiodens, impacted tooth
PIŚMIENNICTWO
1. Proff P. i wsp.: Problems of supernumerary teeth, hyperdontia or dentes supernumerarii. Ann. Anat., 2006, 188, 163-169.
2. Olczak-Kowalczyk D., Szczepańska J., Kaczmarek U.: Współczesna stomatologia wieku rozwojowego. Med Tour Press International Sp. z o.o. Wydanie I. Otwock 2017, 138-139.
3. Shahzad K., Roth L.E.: Prevalence and management of fourth molars: a retrospective study and literature review. J. Oral Maxilofac. Surg., 2012, 70, 2, 272-275.
4. Basdra E.K., Kiokpasoglou M.N., Komposch G.: Congenital tooth anomalies and malocclusions: a genetic link? Europ. J. Orthod., 2001, 23, 145-151.
5. Rahnama M. i wsp.: A rare case of retained fourth molar teeth in maxilla and mandible. Case report. Curr. Issues Pharm. Med. Sci., 2014, 27, 118-120.
6. Hurlen B., Humerfelt D.: Characteristics of premaxillary hyperodontia. A radiographic study. Acta. Odontol. Scand., 1985, 43, 2, 75-85.
7. Huang W.H., Tsai T.P., Su H.L.: Mesiodens in the primary dentition stage: a radiographic study. ASDC J. Dent. Child., 1992, 59, 3, 186-189.
8. Russel K.A., Folwarczna M.A.: Mesiodens – diagnosis and management of a common supernumerary tooth. J. Can. Dent. Assoc., 2003, 69, 362-366.
9. Erkmen N., Olmez S., Onerci M.: Supernumerary tooth in maxillary sinus – case report. Aust. Dent. J., 1998, 43, 6, 385-386.
10. Kumar A. i wsp.: Supernumerary teeth: report of four unusual cases. Contemp. Clin. Dent., 2012, 3, 71-77.
11. Jensen B., Kreiborg S.: Development of the dentition in cleidocranial dysplasia. J. Oral Pathol. Med., 1990, 19, 89-93.
12. Komorowska A., Drelich A.: Powstawanie i rozwój zębów nadliczbowych. Czas. Stomatol., 1995, 48, 272-281.
13. Burzyński N., Escobar V.: Classification and genetics of numeric anomalies of dentition. Birth Defects Orig. Artic. Ser., 1983, 19, 1, 95-106.
14. Masztalerz A.: Stłoczenie zębów – problem nie tylko ortodontyczny. Mag. Stomatol., 1995, V, 43, 17-26.
15. Paruzel-Pliskowska A. i wsp.: Anomalie liczbowe zębów – opisy przypadków klinicznych. Stomatol. Współcz., 2017, 24, 3, 41-45.
16. Białkowska-Głowacka J. i wsp.: Rzadkie przypadki występowania zębów trzonowych czwartych w szczęce. Mag. Stomatol., 2002, XII, 3, 34-35.
17. Jagodzińska J.: Kilka uwag na temat zębów nadliczbowych. Czas. Stomatol., 1974, XXVIL, 3, 281-285.
18. Kokten A. i wsp.: Supernumerary fourth and fifth molars: a report of two cases. J. Contemp. Dent. Pract., 2003, 4, 67-76.
19. Wychowański P. i wsp.: Analiza morfologiczna zębiny zębów nadliczbowych i dodatkowych. Nowa Stomatol. 2004, 1, 3-6.
20. Knychalska-Karwan Z. i wsp.: The mesiodens teeth under electron scanning microskop and X-ray microanaliser. J. Int. Assoc. Dent. Child., 1984, 15, 1, 7-13.
21. Strużak-Wysokińska M. i wsp.: Przydatność badania radiologicznego w diagnostyce zębów nadliczbowych. Czas. Stomatol., 1989, 42, 1, 8-13.
22. Zadurska M. i wsp.: Nadliczbowość zębów na postawie piśmiennictwa. Czas. Stomatol., 2005, 58, 4.