Czy każde uszkodzenie porcelanowej pracy protetycznej na podbudowie metalowej musi się wiązać z jej wymianą? Jak można postąpić w przypadku, gdy pacjent nie decyduje się na wykonanie nowego uzupełnienia protetycznego?
Korony i mosty porcelanowe na podbudowie metalowej wykorzystuje się z powodzeniem jako docelową odbudowę protetyczną ze względu na ich dobrą wytrzymałość mechaniczną oraz niski koszt. Niestety złamania w obrębie porcelany są najczęstszym wskazaniem do wymiany tego typu prac (1, 2). Zazwyczaj uszkodzenia uzupełnień metalowo-porcelanowych obserwuje się w przednim odcinku uzębienia (65%), głównie w szczęce (75%), co dla pacjenta jest poważnym problemem estetycznym (3). Tego rodzaju uszkodzenia mogą nastąpić w wyniku urazu, nieprawidłowej preparacji zęba, niewłaściwego osadzenia pracy, złego dopasowania w okluzji, parafunkcji, niewłaściwego zaprojektowania metalowego szkieletu, niezgodności między współczynnikami ekspansji termicznej porcelany i metalowego zrębu, czy też defektów wewnątrz ceramiki (1, 4, 5).
W praktyce klinicznej wiele razy przyjmowałam pacjentów, którzy zgłaszali się na wizytę z powodu uszkodzenia pracy protetycznej. Dochodziło do tego w różnych okolicznościach. Niektóre prace ulegały uszkodzeniu w kilka tygodni po oddaniu, na skutek wypadku komunikacyjnego, inne z powodu problemów okluzyjnych, w różnym czasie od ich zacementowania. W większości przypadków pacjentom zależało na jak najdłuższym utrzymaniu istniejącej pracy protetycznej. Moim celem było wówczas, po określeniu możliwości zachowania uzupełnienia, przeprowadzenie procedury sprawdzonej i dającej możliwie trwały wynik leczenia.
W piśmiennictwie można znaleźć porównania różnych systemów stworzonych do wykonywania napraw wewnątrzustnych oraz różnych metod przygotowania powierzchni (5, 6). Często jednak to doświadczenie kliniczne lekarza decyduje o wyborze materiału i procedury odpowiedniej w danym przypadku.
Jeśli uszkodzenie jest nieznaczne, w postaci odkruszenia niewielkiego fragmentu porcelany i nie zaburza estetyki ani funkcji uzupełnienia, wystarczające jest wygładzenie i wypolerowanie miejsca uszkodzenia silikonowymi gumkami z nasypem diamentowym, a następnie wypolerowanie pastami polerskimi (7). W przypadku większych uszkodzeń konieczna jest jednak nadbudowa utraconego materiału, do czego najczęściej wykorzystuje się materiał kompozytowy. Jeżeli stopień uszkodzenia pozwala na estetyczną naprawę i nie ma ono podłoża funkcjonalnego, można zaproponować pacjentowi rozwiązanie w formie naprawy istniejącego uzupełnienia. Zabieg ten można wtedy wykonać na jednej wizycie, bez angażowania pracowni technicznej.
Na podstawie przypadku klinicznego prześledźmy przykładową procedurę naprawy pracy protetycznej porcelanowej na podbudowie metalowej.
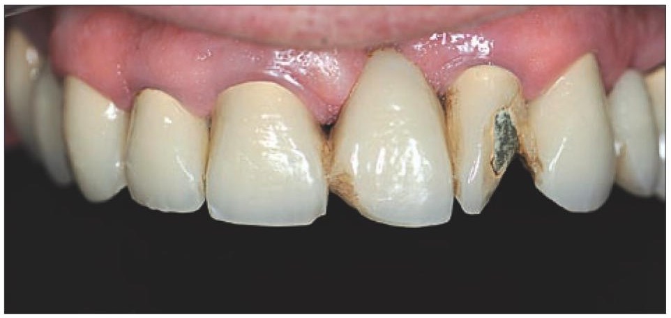
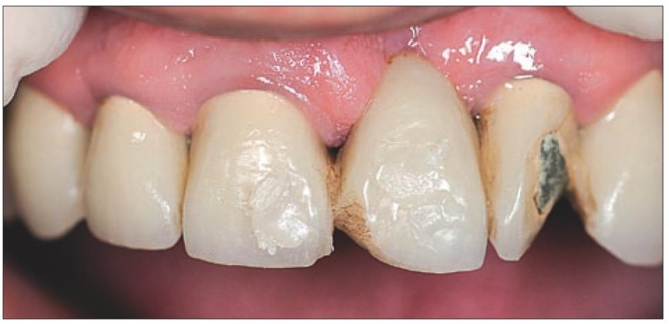
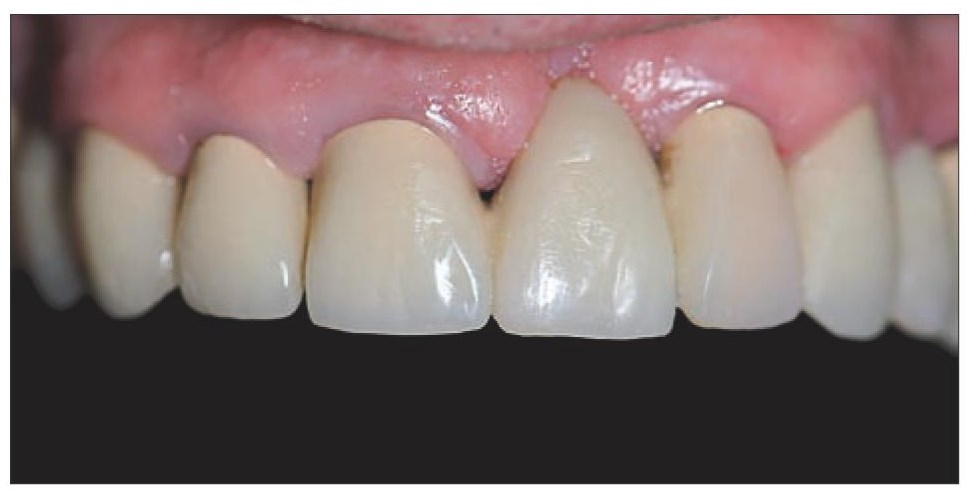
Do gabinetu stomatologicznego zgłosił się pacjent z powodu uszkodzenia mostu porcelanowego na podbudowie metalowej, obejmującego zęby od 16 do 24. Uzupełnienie wykonano 10 lat wcześniej, a stan w dniu badania, ze względu na istniejące nieszczelności i uszkodzenia, skłaniał do rozważenia wymiany. Poinformowano o tym pacjenta, dla którego ze względów estetycznych najistotniejszym problemem była odłamana powierzchnia licowa zęba 22. W badaniu klinicznym uwagę zwracały również uszkodzenia w obrębie porcelany koron 11, 21 i 24 (ryc. 1, 2). Pacjent nie był zainteresowany kompleksowym leczeniem, zależało mu tylko na jak najszybszej naprawie istniejącego uzupełnienia protetycznego, ze względu na zaplanowany za kilka dni wyjazd zagraniczny. W takich przypadkach decyzja o naprawie ma indywidualny charakter i opiera się często na porozumieniu z pacjentem co do możliwych powikłań. W praktyce własnej niejednokrotnie staram się jednak sprostać oczekiwaniom pacjenta, licząc, że w dogodnym dla niego czasie zgłosi się w celu kompleksowego leczenia protetycznego.
Ryc. 1. Stan przed leczeniem.
Ryc. 2. Stan przed leczeniem – powierzchnie podniebienne.
W opisywanym przypadku klinicznym pierwszym etapem było usunięcie kamienia i osadu z okolicy mostu. Następnie dobrano kolor, wykorzystując dwa materiały kompozytowe: Estelite Asteria i Estelite Sigma (Tokuyama Dental) w różnych odcieniach, aby umożliwić spasowanie kolorystyczne z ceramiką napaloną na metal (ryc. 3).
Ryc. 3. Dobór koloru materiału kompozytowego.
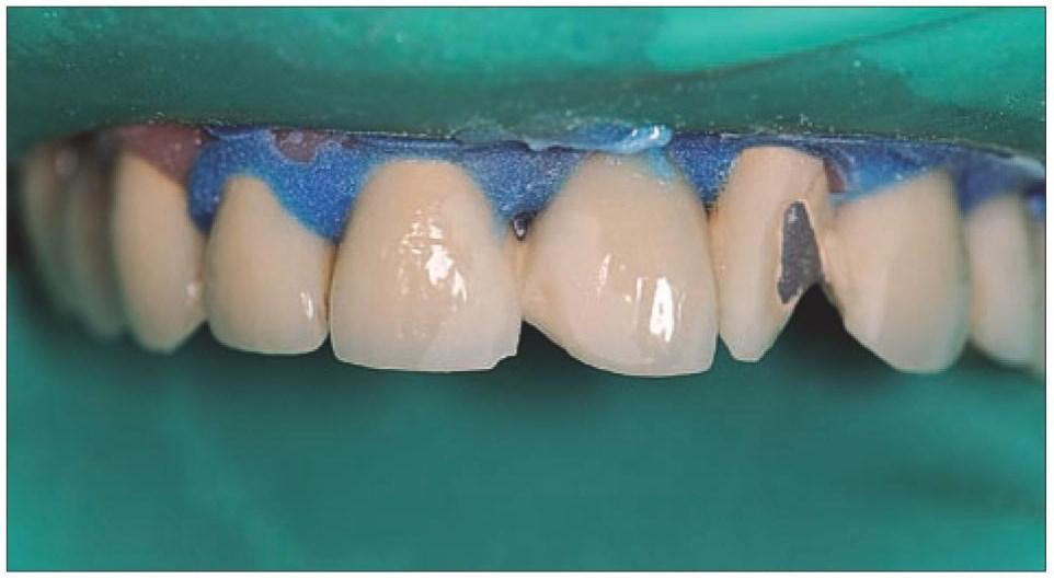
Zęby od 16 do 24 odizolowano za pomocą koferdamu z dodatkowym uszczelnieniem niebieskim płynnym koferdamem (Cerkamed). Powierzchnię uszkodzonej porcelany na zębach 11, 21, 24 i 22 wraz z odsłoniętą podbudową metalową wypiaskowano mikropiaskarką abrazyjną (MicroEtcher IIa, Danville), używając tlenku glinu o wielkości ziaren 50 μm. Na tak przygotowaną powierzchnię porcelany zaaplikowano na 60 sekund cienką warstwę 9,5% kwasu fluorowodorowego – Yellow Porcelain Etch (Cerkamed). Kwas fluorowodorowy można stosować w jamie ustnej jedynie przy założonym koferdamie i ze szczególną dbałością o bezpieczeństwo pacjenta, ochronę jego oczu, skóry i błony śluzowej. Pod kontrolą ssaka dokładnie spłukano preparat i osuszono powierzchnię mostu. Następnie na 30 sekund zaaplikowano 37% kwas ortofosforowy w celu dokładnego oczyszczenia powierzchni porcelany.
Po spłukaniu wytrawiacza dokładnie osuszono przygotowywaną powierzchnię metalu i ceramiki (ryc. 4). Zaaplikowano na nią materiał wiążący Tokuyama Universal Bond (Tokuyama Dental), po uprzednim dokładnym wymieszaniu składowych – preparatów A i B. Zastosowanie tego materiału eliminuje konieczność odrębnej aplikacji silanu czy dodatkowego primera, daje także możliwość przeprowadzenia procedury niezwykle szybko, bez rozgraniczania rodzaju powierzchni, na którą preparat jest stosowany. W opisywanym przypadku ten sam system wiążący zaaplikowano zarówno na powierzchnię porcelany, jak i metalu. System Tokuyama Universal Bond nie wymaga naświetlania, zatem zaraz po osuszeniu delikatnym strumieniem powietrza można przystąpić do aplikacji materiału kompozytowego wybranego do nadbudowy utraconych warstw porcelany. Według wcześniejszego doboru koloru techniką warstwową wykonano odbudowę uszkodzonych koron w moście.
Ryc. 4. Powierzchnia porcelany i metalu przygotowana do odbudowy.
Odsłoniętą powierzchnię metalu korony 22 pokryto cienką warstwą białego opakera (Variolink Opaque White), materiał spolimeryzowano. Następnie nałożono materiał Estelite Asteria A4B, WE, Estelite Sigma Quick OA3, A3 (Tokuyama Dental). Zęby 11 i 21 odbudowano materiałem Estelite Asteria A3B oraz WE (Tokuyama Dental), a ząb 24 – materiałem Estelite Flow Quick A2, Estelite Sigma Quick OA3, A3, Estelite Asteria WE (Tokuyama Dental) (ryc. 5).
Ryc. 5. Wykonana odbudowa materiałem kompozytowym – przed wypolerowaniem.
Gdy zakładana warstwa kompozytu ma znaczną grubość, można uniknąć aplikacji warstwy opakera na powierzchnię metalu. Wiele zależy od koloru i przezierności porcelany oraz stosowanego materiału kompozytowego.
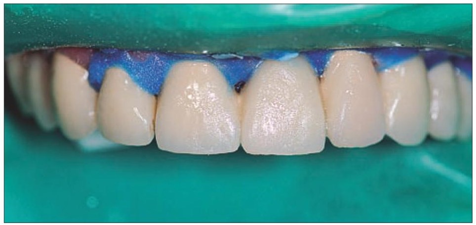
Po zdjęciu koferdamu odbudowę wypolerowano, używając gumek polerskich na niskich obrotach. Pacjenta poinformowano o wskazaniach pozabiegowych związanych m.in. z koniecznością unikania przebarwiających pokarmów przez najbliższe 24 godziny. Na wizytę kontrolną zgłosił się następnego dnia (ryc. 6-8).


Ryc. 6, 7, 8. Stan po naprawie – wizyta kontrolna.
Przedstawione rozwiązanie pozwala łatwo i szybko naprawić uszkodzone uzupełnienie metalowo-porcelanowe. W mojej pracy klinicznej nie stosowałam systemów przeznaczonych bezpośrednio do napraw wewnątrzustnych. Użyty system wchodzi w skład cementu Estecem II, który stosuję do cementowania prac stałych, zatem jego wykorzystanie w tym przypadku nie wiąże się z dodatkowymi kosztami.
W mojej praktyce klinicznej w przypadku napraw jedynie w obrębie porcelany z powodzeniem sprawdza się również wykorzystanie sekwencji mikroabrazji, trawienia powierzchni porcelany kwasem fluorowodorowym, następnie kwasem ortofosforowym, silanizacji, aplikacji czystej żywicy kompozytowej oraz nałożenia wybranego materiału kompozytowego. W przypadku odsłonięcia powierzchni metalu można dodatkowo zastosować po mikroabrazji primer do metalu. Procedura ta trwa jednak dłużej niż przedstawiona w opisie przypadku i wymaga aplikacji różnych preparatów na różne rodzaje powierzchni.
Każda naprawa uzupełnienia protetycznego materiałem kompozytowym może wiązać się z ryzykiem przebarwienia czy też odkruszenia, o czym pacjent powinien być poinformowany. Regularne wizyty kontrolne pozwalają jednak wychwycić tego typu problemy na wczesnym etapie.
Trwałość naprawy może przekonać pacjenta o jakości wykonywanej przez nas pracy, a w przyszłości sprowadzić go ponownie w nasze progi, w chwili koniecznej wymiany uzupełnienia protetycznego na nowe.
PIŚMIENNICTWO
1. Yoo J.Y. i wsp.: Porcelain repair – influence of different systems and surface treatments on resin bond strength. J. Adv. Prosthodont., 2015, 7, 5, 343-348. doi: 10.4047/jap.2015.7.5.343. Epub 2015 Oct 28
2. Walton J.N., Gardner F.M., Agar J.R.: A survey of crown and fixed partial denture failures: length of service and reasons for replacement. J. Prosthet. Dent., 1986, 56, 4, 416-421.
3. Ozcan M., Niedermeier W.: Clinical study on the reasons for and location of failures of metal-ceramic restorations and survival of repairs. Int. J. Prosthodont., 2002, 15, 3, 299-302.
4. Ozcan M.: Fracture reasons in ceramic-fused-to-metal restorations. J. Oral Rehabil., 2003, 30, 3, 265-269.
5. Jain S. i wsp.: To evaluate the effect of various surface treatments on the shear bond strength of three different intraoral ceramic repair systems: an in vitro study. J. Indian Prosthodont. Soc., 2013, 13, 3, 315-320. doi: 10.1007/s13191-013-0270-x. Epub 2013 Mar 14.
6. Kupiec K.A. i wsp.: Evaluation of porcelain surface treatments and agents for composite-to-porcelain repair. J. Prosthet. Dent., 1996, 76, 2, 119-124.
7. Kot K. i wsp.: Jak postąpić z uszkodzoną licówką porcelanową? Mag. Stomatol., 2017, XXVII, 4, 84-87.
ARTYKUŁ UKAZAŁ SIĘ W NUMERZE 6/2018 MS