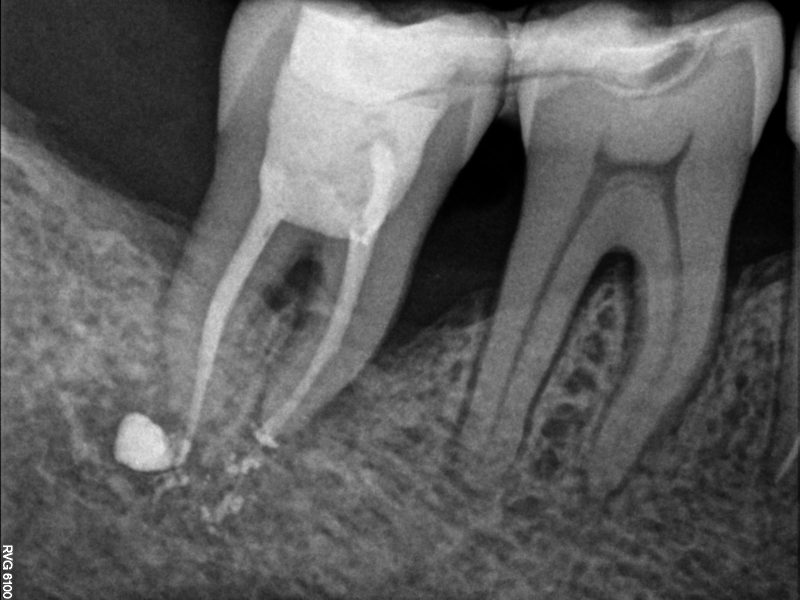
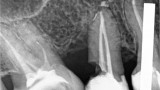
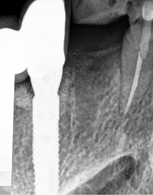
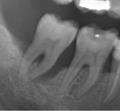
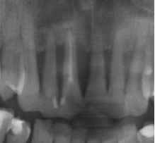
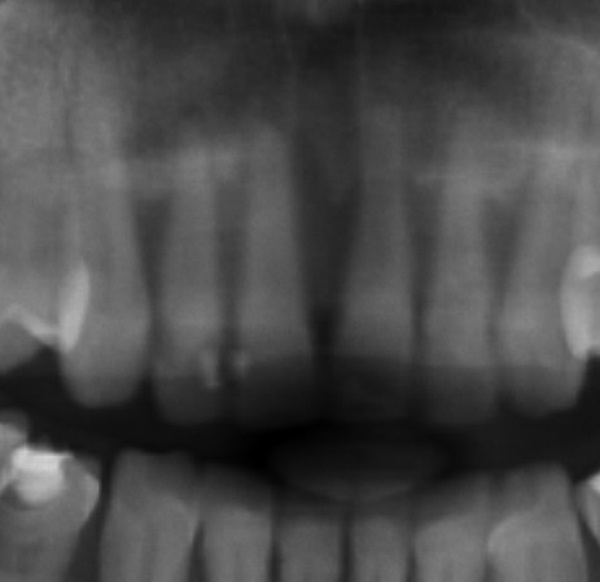
Bogata w płytki i leukocyty fibryna jest stosowana w regeneracji tkanek od ponad 15 lat. Pozytywny wpływ PRF (platelet-rich fibrin) na regenerację tkanek miękkich jest niewątpliwy, bezsporny i częściowo udowodniony w badaniach klinicznych i analizach biochemicznych. Wpływ PRF na regenerację tkanki kostnej jest obserwowany klinicznie, ale nadal niedostatecznie poznany jest mechanizm tego zjawiska.
Platelet- and leukocyte-rich-fibrin has been used in regeneration of tissue for more than 15 years. The positive influence of PRF on the regeneration of soft tissue is undoubtedly, without question and partially proven in clinical studies and biochemical analysis. Influence of PRF on regeneration of bone tissue is observed clinically but the mechanism of this phenomenon is still not sufficiently known.
Artykuł ukazał się w nr 7-8/2016
Doświadczenia własne w stosowaniu bogatej w płytki i leukocyty fibryny w regeneracji ubytków tkanek miękkich i kości
Artykuły w wolnym dostępie
- Zastosowanie kompozytów w bezpośredniej odbudowie zębów przednich po urazie
- Błędy diagnostyczne oraz techniczne w leczeniu stomatologicznym – studium wybranych przypadków
- Technika Injection Flowable i technika stempla. Odbudowa zębów w odcinku bocznym
- Bezpośrednia licówka kompozytowa w odcinku przednim wykonana z użyciem uniwersalnego kompozytu typu…
- Augmentacja boczna wąskich wyrostków zębodołowych z zastosowaniem dwufazowego siarczanu wapnia –…