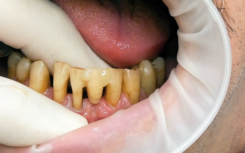
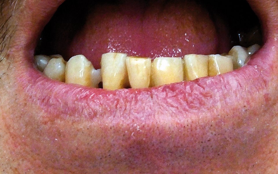
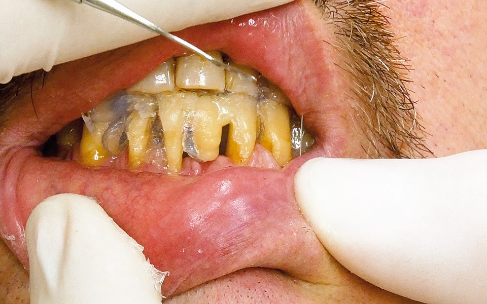
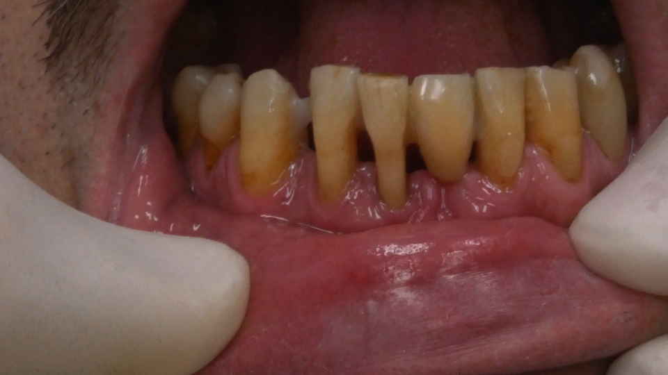
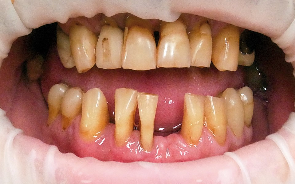
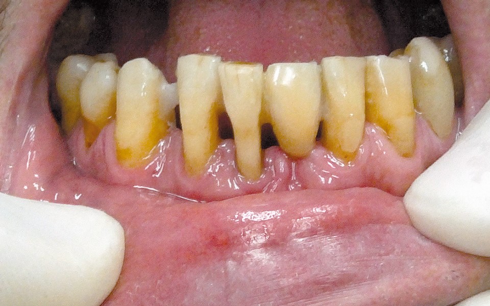
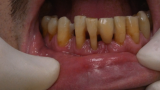
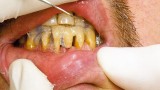
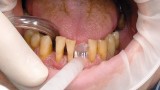
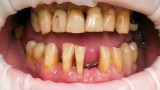
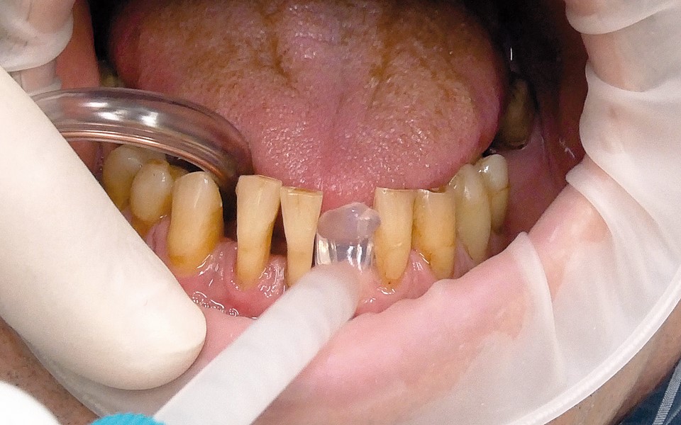
Jedną z popularniejszych metod stabilizacji zębów rozchwianych jest ich szynowanie. Metoda ta, wspierająca inne metody leczenia, jest powszechnie stosowana. Jednym z najnowocześniejszych materiałów wykorzystywanych w stomatologii do szynowania zębów jest taśma poliaramidowa. W opisanym przypadku autorzy pracy przedstawiają sposób uproszczenia całej procedury i ograniczenia ryzyka popełnienia błędu, szczególnie w sytuacji całkowitej utraty zęba. Uzyskano to dzięki zastosowaniu indeksu wykonanego z przezroczystego silikonu.
One of the more popular methods of stabilising loose teeth is to splint them. This method, aiding other methods of treatment, is generally used. One of the most modern materials used in dentistry for splinting teeth, is polyamide tape. In the case described the authors show how to simplify the whole procedure and limit the risk of making a mistake, particularly in the situation of total loss of one tooth. This was achieved thanks to the use of an index made out of transparent silicone.
Artykuł ukazał się w nr 2/2017
Szynowanie zębów rozchwianych z jednoczesnym odtworzeniem utraconego zęba – opis przypadku
Artykuły w wolnym dostępie
- Zastosowanie kompozytów w bezpośredniej odbudowie zębów przednich po urazie
- Błędy diagnostyczne oraz techniczne w leczeniu stomatologicznym – studium wybranych przypadków
- Technika Injection Flowable i technika stempla. Odbudowa zębów w odcinku bocznym
- Bezpośrednia licówka kompozytowa w odcinku przednim wykonana z użyciem uniwersalnego kompozytu typu…
- Augmentacja boczna wąskich wyrostków zębodołowych z zastosowaniem dwufazowego siarczanu wapnia –…