Tomografia stożkowa w diagnostyce wczesnej resorpcji zewnętrznej – opis przypadku

Tomografia stożkowa w diagnostyce wczesnej resorpcji zewnętrznej – opis przypadku

Cone-beam computed tomography in diagnostics of early external resorption – a case report

Ingrid Różyło-Kalinowska

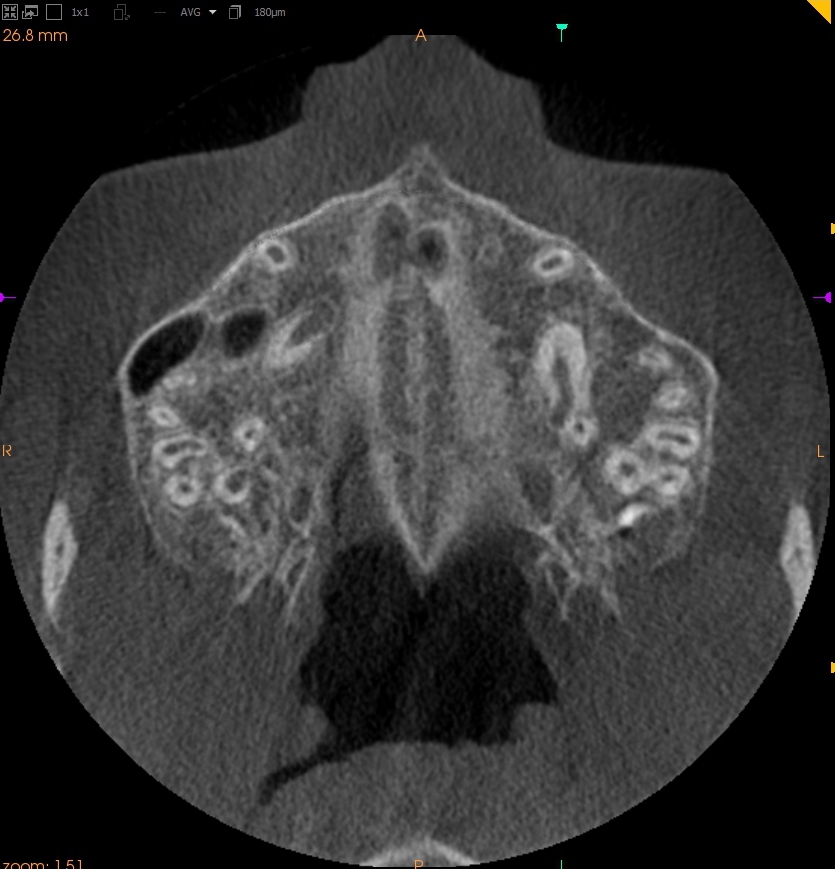
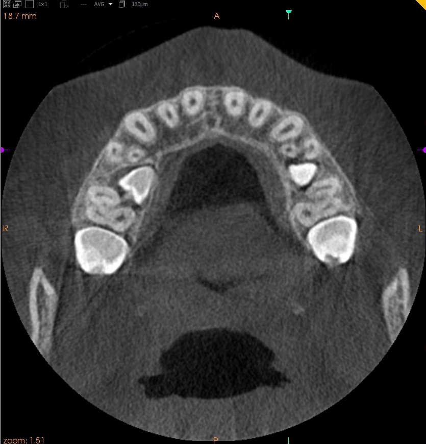
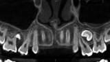
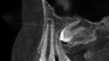
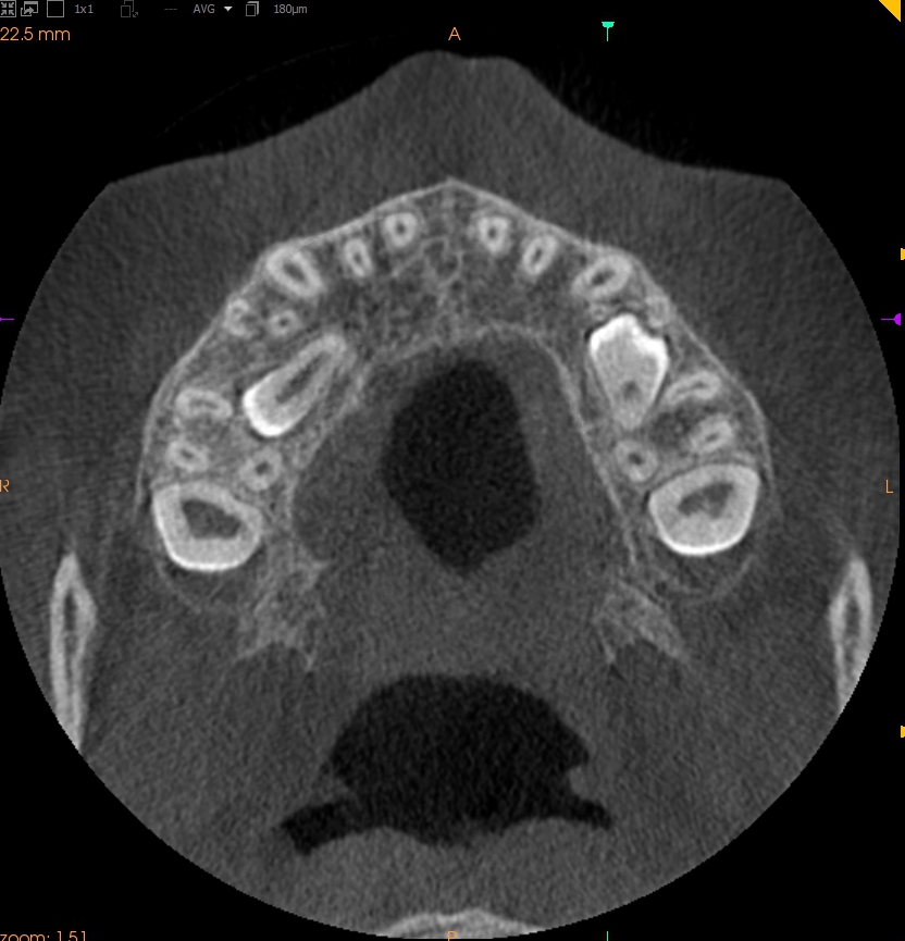
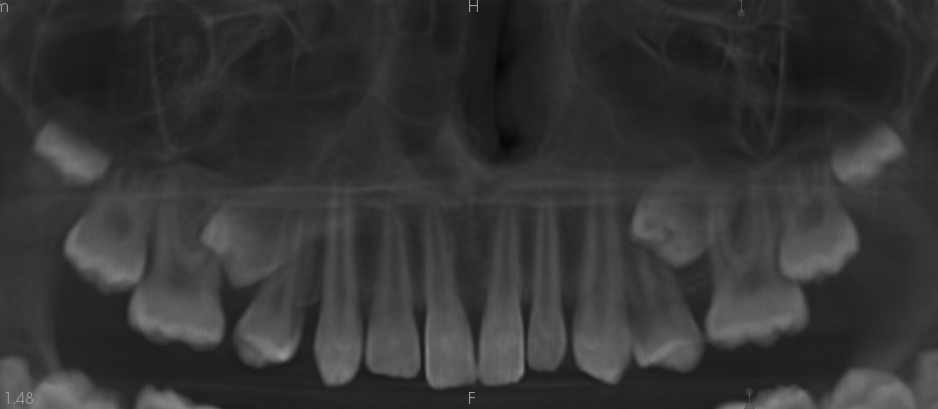
Resorpcja zęba to proces powstania ubytku twardych struktur zęba wywołanego przez osteoklasty bez kontaktu ze środowiskiem jamy ustnej, między innymi na skutek ucisku wywieranego przez ząb zatrzymany. Dla lekarza ortodonty jest istotne ustalenie, czy zęby zatrzymane lub twory nadliczbowe powodują resorpcję zębów stojących w łuku w celu wczesnej eliminacji przyczyny resorpcji. Celem pracy jest przedstawienie opisu przypadku zastosowania tomografii stożkowej w diagnostyce nieprawidłowo położonych zawiązków zębów przedtrzonowych drugich górnych. Stwierdzono, że tomografia stożkowa jest skuteczną metodą oceny wczesnej resorpcji zewnętrznej korzeni zębów.



Tooth resorption is the process of appearing of a defect of hard tissues of teeth caused by osteoclasts not having contact with oral cavity environment, eg. due to mechanical pressure exerted by an impacted tooth. It is essential for an orthodontist whether impacted teeth or supplementary teeth cause resorption of erupted teeth in order to early eliminate the causative factor of the resorption. The aim of the paper is to describe a case report of cone-beam computed tomography (CBCT) in diagnostics of incorrectly located germs of upper second premolars. It was found that CBCT was an efficient method of imaging of early external root resorption.


Artykuł ukazał się w nr 3/2017