Bartłomiej Górski, Tomasz Kaczyński, Maciej Zaremba, Edyta Ciok
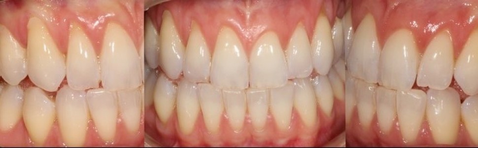
Złotym standardem postępowania leczniczego w przypadku recesji pojedynczych i mnogich jest technika uszypułowanego płata przesuniętego dokoronowo z przeszczepem podnabłonkowej tkanki łącznej. Istotnym, z klinicznego punktu widzenia, problemem w przypadku leczenia recesji mnogich jest ograniczona dostępność tkanki w miejscu dawczym, co nierzadko wiąże się z koniecznością postępowania wieloetapowego. Celem pracy było przedstawienie pokrycia recesji mnogich metodą dokoronowo przesuniętego płata kopertowego z wykorzystaniem podnabłonkowej tkanki łącznej i kolagenowego materiału ksenogennego.


Coverage of multiple gingival recessions using coronally advanced flap with subepithelial connective tissue graft and xenogenic collagenous material following previous reconstruction of cemento-enamel junction – case report
The gold standard for clinical treatment procedures, single and multiple recession is the pedicle flap graft of connective tissue moved coronally. From the clinical point of view a significant problem in cases of multiple recession is the limited availability of tissue in the donor site which, not infrequently, requires treatment in stages. The aim of the study was to describe the coverage of multiple recession using the repositioning the flap correctly and coronally making use of subepithelial connective tissue and the collagenous xenogenic material.
Artykuł ukazał się w nr. 9/2016 MS
KUP ARTYKUŁ
Artykuł ukazał się w nr. 9/2016 MS
KUP ARTYKUŁ