Katarzyna Emerich, Magdalena Anna Czyżnikiewicz, Jolanta Pawlak
Dla większości stomatologów dziecko na fotelu dentystycznym jest nie małym wyzwaniem. Mają na to wpływ trudności we współpracy z pacjentem oraz czynniki miejscowe takie jak małe pole zabiegowe i niewielki rozmiar zębów. W dobie dzisiejszej wiedzy znieczulenia dają możliwość zapewnienia komfortu dziecku podczas inwazyjnych zabiegów na fotelu dentystycznym, co przyczynia się do wzrostu zaufania do lekarza i budowania jego pozytywnego wizerunku w oczach dziecka. Praca przedstawia techniki oraz środki zniesienia bólu najczęściej stosowane w stomatologii dziecięcej.

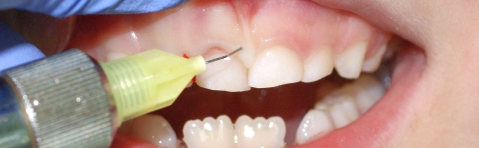
Znieczulenie nasiękowe
Niuanses of local anaesthesia in treatment of children and youth - review of the literature
For most of dentists a child as a patient becomes a major challenge. Difficult cooperation with a young patient and an insufficient working area with a small size of primary teeth may be the factors challenging the general dentist. Today`s knowledge on local anesthesia gives the opportunity to provide comfort to a child during invasive treatment on the dental chair, which contributes to the increase of confidence and enhances the positive image of a dentist in a child`s eyes. The article points out the techniques of local anesthesia and anesthetics used most frequently in pediatric dentistry.
Artykuł ukazał się w nr. 11/2015 MS
KUP ARTYKUŁ
Znieczulenie nasiękowe
Niuanses of local anaesthesia in treatment of children and youth - review of the literature
For most of dentists a child as a patient becomes a major challenge. Difficult cooperation with a young patient and an insufficient working area with a small size of primary teeth may be the factors challenging the general dentist. Today`s knowledge on local anesthesia gives the opportunity to provide comfort to a child during invasive treatment on the dental chair, which contributes to the increase of confidence and enhances the positive image of a dentist in a child`s eyes. The article points out the techniques of local anesthesia and anesthetics used most frequently in pediatric dentistry.
Artykuł ukazał się w nr. 11/2015 MS
KUP ARTYKUŁ