Marta Kłonica, Marcin Tutak, Marcin Jędrzejewski, Tomasz Smektała, Katarzyna Sporniak-Tutak
Streszczenie
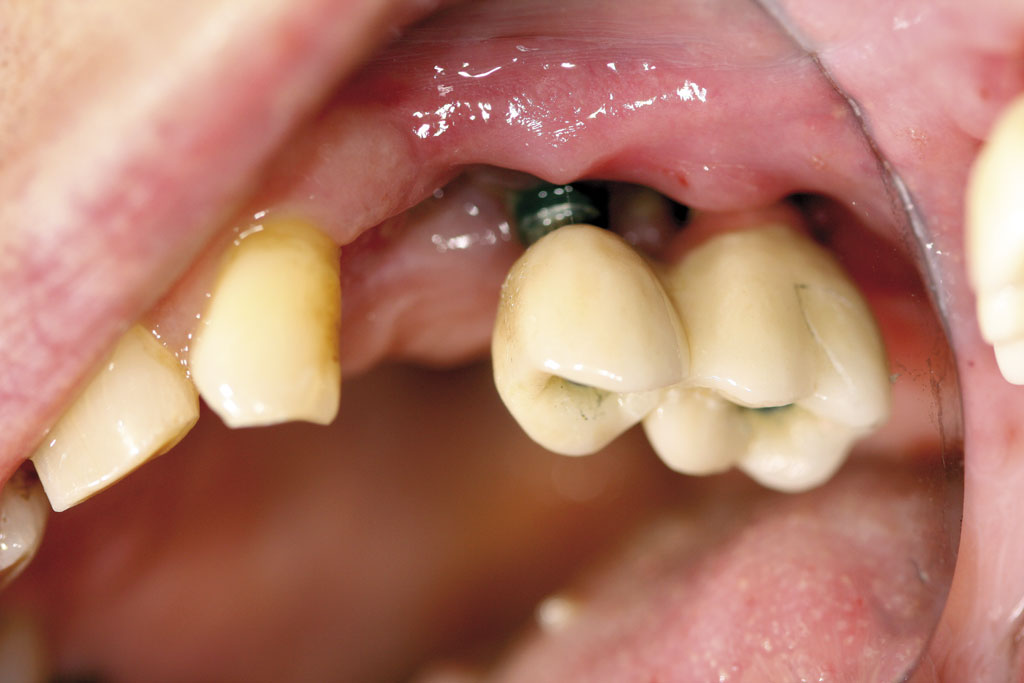
Rozwój implantologii skłania do obserwacji i analizy procesów zachodzących wokół zintegrowanych z kością wszczepów zębowych. Wiele czynników ma wpływ na procesy destrukcyjne.
W pracy opisano dostępne piśmiennictwo na temat definicji periimplantitis, przyczyn rozwoju i przebiegu tego procesu, a także sposobów leczenia i możliwości zapobiegania jego wystąpieniu.

Summary
The development of implantology leads to the observation and analysis of the processes that occur around the osseointegration of bone and dental implants. Many factors influence destructive processes.
The study describes the available literature about the subject of the definition of periimplantitis, causes of its development, the course of this process as well as methods of treatment and the reduction of its incidence.
Artykuł ukazał się w nr. 4/2015 MS
KUP ARTYKUŁ
Artykuł ukazał się w nr. 4/2015 MS
KUP ARTYKUŁ