Ropień oczodołu jako powikłanie po zapaleniu zębopochodnym: wpływ oszusta medycznego (znachora)

Ropień oczodołu można zaliczyć do rzadko występujących powikłań zapaleń zębopochodnych, jest jednak niebezpieczny z powodu ryzyka trwałego uszkodzenia wzroku. W celu uniknięcia tego powikłania niezwykle ważne jest rozpoznanie zapalenia zębopochodnego we wczesnym stadium oraz wdrożenie leczenia z zachowaniem procedur medycznych i środków aseptycznych. Autorzy artykułu przedstawiają opis przypadku powstania ropnia oczodołu na skutek leczenia podjętego przez znachora medycznego.

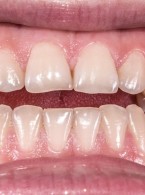
Wybielanie przebarwionego zęba z usunięciem resztek po skutecznej endodoncji regeneracyjnej

Zęby stałe z niezakończonym rozwojem korzenia i nieodwracalnymi zapaleniami miazgi wymagają odmiennego postępowania niż zęby dojrzałe. W przypadku pulpopatii z martwą miazgą i (lub) zapaleniem tkanek okołowierzchołkowych można zastosować metodę rewaskularyzacji miazgi, która ma na celu stymulowanie dalszego rozwoju korzenia i uzyskanie wzrostu żywej tkanki w obrębie kanału korzeniowego. Dane z piśmiennictwa wskazują na dość wysoką skuteczność tej względnie nowej metody leczenia.

Niemowlęce zapalenie kości i szpiku kostnego: niespotykane powikłanie po usunięciu zęba wrodzonego

Zapalenie kości i szpiku kostnego (osteomyelitis) jest poważną jednostką chorobową stosunkowo rzadko opisywaną u niemowląt. Poniższy opis przypadku prezentuje zapalenie kości i szpiku kostnego żuchwy u 52-dniowego niemowlęcia w następstwie usunięcia zęba wrodzonego. Autorzy zdecydowali się przedstawić ten przypadek ze względu na jego niecodzienność i trudności diagnostyczne.

Diagnostyka ankylozy zębów przy użyciu zdjęć pantomograficznych, tomografii stożkowej i badań histologicznych: retrospektywne badanie obserwacyjne serii przypadków

Ankyloza jest określana jako połączenie cementu i/lub zębiny z tkanką kostną w co najmniej jednym miejscu, prowadzące do utraty szpary ozębnej w tym obszarze. Powstanie połączenia pomiędzy kością a zębem prowadzi do infraokluzji, a nawet zatrzymania zęba. Leczenie ankylozy nierzadko wymaga postępowania chirurgicznego, stąd prawidłowa diagnostyka jest kluczem do właściwej terapii.