OPIS PRZYPADKU. Martwicze zapalenie przyzębia z wydzieleniem martwiaka kostnego - opis przypadku

OPIS PRZYPADKU. Martwicze zapalenie przyzębia z wydzieleniem martwiaka kostnego - opis przypadku
Opublikowano dnia : 09.03.2026

Dostęp do tego artykułu jest płatny.
Zapraszamy do zakupu!

Cena: 24.00 PLN (z VAT)

Po dokonaniu zakupu artykuł w postaci pliku PDF prześlemy bezpośrednio pod twój adres e-mail.

Kup artykuł

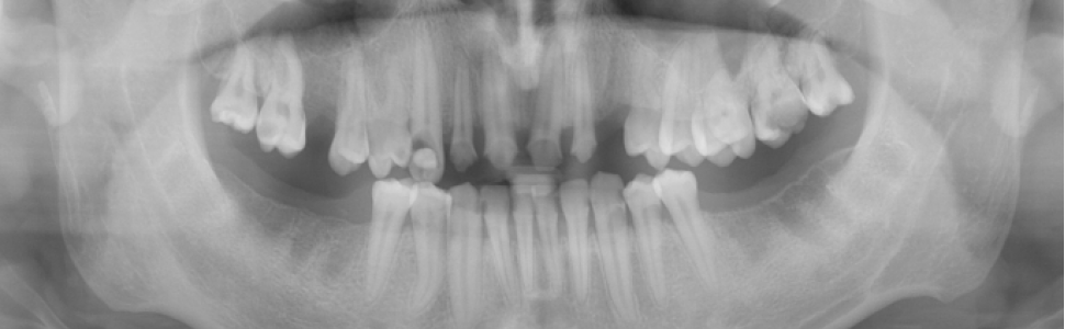
Martwicze zapalenie przyzębia z wydzieleniem martwaka kostnego – opis przypadku

Krystian Świrski, Lukas Pehnke, Martyna Mochol, Patrycja Petruk, Aleksandra Kluz, Małgorzata Mazurek-Mochol
Streszczenie
Martwicze zapalenie przyzębia jest jednostką chorobową, w której dochodzi do rozwoju ostrego stanu zapalnego, martwicy przyzębia i szybkiej destrukcji struktur otaczających ząb. Niewłaściwie zdiagnozowana i leczona może prowadzić do poważnych powikłań, takich jak utrata zębów, wymaga zatem specjalistycznego podejścia terapeutycznego.
Hasła indeksowe: martwicze zapalenie przyzębia, martwak kostny
Abstract
Necrotizing periodontitis is a disease which is characterized by the development of acute inflammation, necrosis of periodontium and rapid destruction of the structures surrounding the tooth. Diagnosed and treated incorrectly can lead to serious complications like the loss of teeth, so it requires a specialized therapeutic approach.
Key words: necrotizing periodontitis, sequestrum

Piśmiennictwo:
  1. Papapanou PN, Sanz M, Buduneli N i wsp. Periodontitis: consensus report of workgroup 2 of the 2017 World Workshop on the Classification of Periodontal and Peri-Implant Diseases and Conditions. J Periodontol. 2018; 89(Suppl 1): S173-S182.
  2. Herrera D, Retamal-Valdes B, Alonso B i wsp. Acute periodontal lesions (periodontal abscesses and necrotizing periodontal diseases) and endo-periodontal lesions. J Periodontol. 2018; 89(Suppl 1): S85-S102.
  3. Gasner NS, Brizuela M, Schure RS. Necrotizing periodontal diseases. 2025 Jul 7. In: StatPearls [Internet]. Treasure Island (FL): StatPearls Publishing; 2025.
  4. Haas AN, Stewart S, Susin C i wsp. Necrotizing periodontal diseases: epidemiology, clinical features, and etiopathogenesis. J Periodontal Res. 2025. Online: https://onlinelibrary.wiley.com/doi/full/10.1111/jre.70028.
  5. Sheng S, Kim HH, Meng HW i wsp. Necrotizing periodontal disease in a nutritionally deficient patient: a case report. Front Dent Med. 2022; 3: 2673-4915.
  6. Bumm CV, Folwaczny M, Wölfle UC. Necrotizing periodontitis or medication-related osteonecrosis of the jaw (MRONJ) in a patient receiving Bemcentinib - a case report. Oral Maxillofac Surg. 2020; 24(3): 353-358.
  7. Gollapudi M, Mohod S, Pankey N i wsp. Acute necrotizing ulcerative gingivitis: a case report. 2024; 16(6): e63023.
  8. Umeizudike KA, Savage KO, Ayanbadejo PO i wsp. Severe presentation of necrotizing ulcerative periodontitis in a Nigerian HIV-positive patient: a case report. Med Princ Pract. 2011; 20(4): 374-376.
  9. Assimi S, Abdallaoui L, Ennibi OK. Acute necrotizing periodontitis: a case report. Austin J Dent. 2016; 3(3): 1041.
  10. Todescan S, Nizar R. Managing patients with necrotizing ulcerative periodontitis.J Can Dent Assoc. 2013; 79: d44.
  11. Fonseca RRS, Carvalho CA, Rodrigues TMS i wsp. Severe necrotizing periodontitis in an HIV-infected patient: case report and non-surgical treatment. Clin Adv Periodontics. 2021; 11(2): 59-63.
  12. Golob Deeb J, Elnakka L, Deeb GR. Systemic management and periodontal treatment of HIV - necrotizing periodontitis: a case report. Clin Adv Periodontics. 2024; 14(2): 127-133.
  13. Patel J, Woolley J. Necrotizing periodontal disease: oral manifestation of COVID-19. Oral Dis. 2021; 27(Suppl 3): 768-769.
  14. Tkacz K, Gill J, McLernon M. Necrotising periodontal diseases and alcohol misuse - a cause of osteonecrosis? Br Dent J. 2021; 231(4): 225-231.
  15. Kaczmarzyk T, Babiuch K, Bołtacz-Rzepkowska E i wsp. Rekomendacje Grupy Roboczej Polskiego Towarzystwa Stomatologicznego i Narodowego Programu Ochrony Antybiotyków w zakresie stosowania antybiotyków w stomatologii. Warszawa: Narodowy Instytut Leków; 2019.