OPIS PRZYPADKU. Dwuetapowa rehabilitacja pacjenta z obniżoną wysokością zwarcia za pomocą pracy kombinowanej – opis przypadku

OPIS PRZYPADKU. Dwuetapowa rehabilitacja pacjenta z obniżoną wysokością zwarcia za pomocą pracy kombinowanej – opis przypadku
Opublikowano dnia : 05.02.2026

Dostęp do tego artykułu jest płatny.
Zapraszamy do zakupu!

Cena: 24.00 PLN (z VAT)

Po dokonaniu zakupu artykuł w postaci pliku PDF prześlemy bezpośrednio pod twój adres e-mail.

Kup artykuł

Dwuetapowa rehabilitacja pacjenta z obniżoną wysokością zwarcia za pomocą pracy kombinowanej – opis przypadku

Aleksandra Jagnicka, Janusz Borowicz, Katarzyna Sarna-Boś


Streszczenie

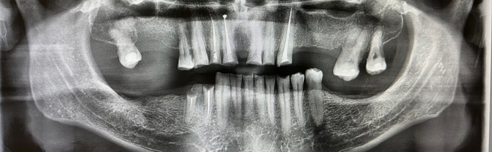
W pracy opisano przypadek pacjenta z obniżoną wysokością zwarcia z zaburzonym przebiegiem płaszczyzny protetycznej, u którego rehabilitację protetyczną wykonano dwuetapowo z wykorzystaniem pracy kombinowanej będącej połączeniem elementów protetyki stałej i ruchomej. Rekonstrukcja protetyczna narządu żucia przywróciła pacjentowi prawidłową relację przestrzenną żuchwy, dając satysfakcjonujący efekt estetyczny i poprawę funkcji.

 

Słowa kluczowe:

podniesienie wysokości zwarcia, rekonstrukcja zwarcia, zaburzenia zwarcia, starcie patologiczne, okluzja centralna

 

Abstract

This paper describes the case of a patient with reduced vertical dimension of occlusion and a disturbed occlusal plane. Prosthetic rehabilitation was performed in two stages using a combined approach combining fixed and removable dentures. Prosthetic reconstruction of the masticatory system restored the patient's correct spatial relationship of the mandible, providing a satisfactory aesthetic outcome and improved function.

 

Keywords:

altering Occlusal Vertical Dimension (OVD), occlusion reconstruction, occlusion disorders, pathological tooth wear, centric relation (CR)


Piśmiennictwo

  1. Smith BGN, Knight JK. An index for measuring the wear of teeth. Br Dent J 1984; 156: 435-438.
  2. Kłosiński P i wsp. Rekonstrukcja oraz podniesienie zgryzu z użyciem koron pełnoceramicznych wykonanych w środowisku cyfrowym – opis przypadku. TPS 2021; 10-11: 41-47.
  3. Pietruski J. Okluzja w praktyce. Quintessence Publishing Polska, 2021.
  4. Majewski S. Współczesna protetyka stomatologiczna podstawy teoretyczne i praktyka kliniczna. Elsevier Ubran & Partner, 2014.
  5. Milner P i wsp. Kompleksowa protetyczna rekonstrukcja zwarcia w oparciu o implanty oraz zęby własne pacjenta. Opis przypadku. Implantologia Stomatologiczna/PSI Implant Dentistry 2020; 2(22); 22-47.
  6. Żuławnik A i wsp. Rehabilitacja protetyczna pacjenta z zaburzeniami zwarcia – opis przypadku. Protet Stomatol. 2017; 67(3): 287-293.