Zastosowanie bioceramiki syntetycznej w amputacji całkowitej miazgi w zębie z zakończonym rozwojem – opis przypadku klinicznego

Zastosowanie bioceramiki syntetycznej w amputacji całkowitej miazgi w zębie z zakończonym rozwojem – opis przypadku klinicznego
Opublikowano dnia : 12.06.2025

Dostęp do tego artykułu jest płatny.
Zapraszamy do zakupu!

Cena: 24.00 PLN (z VAT)

Po dokonaniu zakupu artykuł w postaci pliku PDF prześlemy bezpośrednio pod twój adres e-mail.

Kup artykuł
Stomatologa praktyczna

Reportaż kliniczny

Zastosowanie bioceramiki syntetycznej w amputacji całkowitej miazgi w zębie z zakończonym rozwojem – opis przypadku klinicznego

Martyna Ortarzewska, Kacper Nijakowski

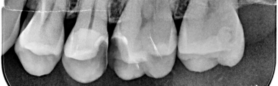
Zabieg amputacji miazgi należy do metod leczenia biologicznego i polega na odcięciu miazgi komorowej, a następnie przykryciu miazgi kanałowej materiałem bioaktywnym. Procedurę wykonuje się standardowo w zębach mlecznych i stałych niedojrzałych, jednak, jak wskazują badania, można ją z powodzeniem wykonywać w zębach stałych z zakończonym rozwojem. W pracy przedstawiono przypadek kliniczny prezentujący zabieg amputacji całkowitej miazgi w zębie dojrzałym 25 z zastosowaniem preparatu Biodentine (Septodont), który zakończył się sukcesem terapeutycznym. Wszystkie dolegliwości bólowe pacjenta ustąpiły, ząb zachował żywotność, a na tomografii można zaobserwować wytworzenie mostu zębinowego. Zabieg amputacji wpisuje się we współczesny trend minimalnie inwazyjnej stomatologii.

Piśmiennictwo:

  1. Li Y, Wang W, Zeng Q i wsp. Efficacy of pulpotomy in managing irreversible pulpitis in mature permanent teeth: a systematic review and meta-analysis. J Dent. 2024; 144: 104923.
  2. Jassal A, Nawal RR, Yadav S i wsp. Outcome of partial and full pulpotomy in cariously exposed mature molars with symptoms indicative of irreversible pulpitis: a randomized controlled trial. Int Endod J. 2023; 56(3): 331-344.
  3. Ather A, Patel B, Gelfond JAL i wsp. Outcome of pulpotomy in permanent teeth with irreversible pulpitis: a systematic review and meta-analysis. Sci Rep. 2022; 12(1): 19664.
  4. Nowicka A, Lipski M, Parafiniuk M i wsp. Response of human dental pulp capped with biodentine and mineral trioxide aggregate. J Endod. 2013; 39(6): 743-747.
  5. Kot K, Kucharski Ł, Marek E i wsp. Alkalizing properties of six calcium-silicate endodontic biomaterials. Materials (Basel). 2022; 15(18): 6482.
  6. Fasoulas A, Keratiotis G, Spineli L i wsp. Comparative efficacy of materials used in patients undergoing pulpotomy or direct pulp capping in carious teeth: a systematic review and meta-analysis. Clin Exp Dent Res. 2023; 9(6): 1129-1148.
  7. Nowicka A, Wilk G, Lipski M i wsp. Tomographic evaluation of reparative dentin formation after direct pulp capping with Ca(OH)2, MTA, Biodentine, and dentin bonding system in human teeth. J Endod. 2015; 41(8): 1234-1240.
  8. Silva EJNL, Pinto KP, Belladonna FG i wsp. Success rate of permanent teeth pulpotomy using bioactive materials: a systematic review and meta-analysis of randomized clinical trials. Int Endod J. 2023; 56(9): 1024-1041.
  9. Caliskan MK. Success of pulpotomy in the management of hyperplastic pulpitis. Int Endod J. 1993; 26(2): 142-148.
  10. Calişkan MK. Pulpotomy of carious vital teeth with periapical involvement. Int Endod J. 1995; 28(3): 172-176.
  11. Kumar V, Juneja R, Duhan J i wsp. Comparative evaluation of platelet-rich fibrin, mineral trioxide aggregate, and calcium hydroxide as pulpotomy agents in permanent molars with irreversible pulpitis: a randomized controlled trial. Contemp Clin Dent. 2016; 7(4): 512-518.
  12. Asgary S, Eghbal MJ, Bagheban AA. Long-term outcomes of pulpotomy in permanent teeth with irreversible pulpitis: a multi-center randomized controlled trial. Am J Dent. 2017; 30(3): 151-155.
  13. Qudeimat MA, Alyahya A, Hasan AA. Mineral trioxide aggregate pulpotomy for permanent molars with clinical signs indicative of irreversible pulpitis: a preliminary study. Int Endod J. 2017; 50(2): 126-134.
  14. Linsuwanont P, Wimonsutthikul K, Pothimoke U i wsp. Treatment outcomes of mineral trioxide aggregate pulpotomy in vital permanent teeth with carious pulp exposure: the retrospective study. J Endod. 2017; 43(2): 225-230.
  15. Taha NA, Ahmad MB, Ghanim A. Assessment of mineral trioxide aggregate pulpotomy in mature permanent teeth with carious exposures. Int Endod J. 2017; 50(2): 117-125.
  16. Taha NA, Abdelkhader SZ. Outcome of full pulpotomy using Biodentine in adult patients with symptoms indicative of irreversible pulpitis. Int Endod J. 2018; 51(8): 819-828.
  17. Jung IY, Lee SJ, Hargreaves KM. Biologically based treatment of immature permanent teeth with pulpal necrosis: a case series. J Endod. 2008; 34(7): 876-887.
  18. Asgary S, Eghbal MJ. Treatment outcomes of pulpotomy in permanent molars with irreversible pulpitis using biomaterials: a multi-center randomized controlled trial. Acta Odontol Scand. 2013; 71(1): 130-136.
  19. Asgary S, Eghbal MJ, Shahravan A i wsp. Outcomes of root canal therapy or full pulpotomy using two endodontic biomaterials in mature permanent teeth: a randomized controlled trial. Clin Oral Investig. 2022; 26(3): 3287-3297.
  20. Ramani A, Sangwan P, Tewari S i wsp. Comparative evaluation of complete and partial pulpotomy in mature permanent teeth with symptomatic irreversible pulpitis: a randomized clinical trial. Int Endod J. 2022; 55(5): 430-440.
  21. Lipski M, Nowicka A, Kot K i wsp. Factors affecting the outcomes of direct pulp capping using Biodentine. Clin Oral Investig. 2018; 22(5): 2021-2029.
  22. Cushley S, Duncan HF, Lappin MJ i wsp. Pulpotomy for mature carious teeth with symptoms of irreversible pulpitis: a systematic review. J Dent. 2019; 88: 103158.