Regeneracja wyrostka zębodołowego z zastosowaniem dwufazowego siarczanu wapnia i przezwyrostkowej mobilizacji błony śluzowej zatoki techniką Baranesa-Yahava – opis przypadku

Regeneracja wyrostka zębodołowego z zastosowaniem dwufazowego siarczanu wapnia i przezwyrostkowej mobilizacji błony śluzowej zatoki techniką Baranesa-Yahava – opis przypadku
Opublikowano dnia : 12.06.2025

Dostęp do tego artykułu jest płatny.
Zapraszamy do zakupu!

Cena: 24.00 PLN (z VAT)

Po dokonaniu zakupu artykuł w postaci pliku PDF prześlemy bezpośrednio pod twój adres e-mail.

Kup artykuł
STOMATOLOGIA PRAKTYCZNA

Opis przypadku

Regeneracja wyrostka zębodołowego z zastosowaniem dwufazowego siarczanu wapnia i przezwyrostkowej mobilizacji błony śluzowej zatoki techniką Baranesa-Yahava – opis przypadku
Damian Dudek, Maciej Jagielak, Aldona Chloupek, Oliwia Warmusz, Edyta Reichman-Warmusz

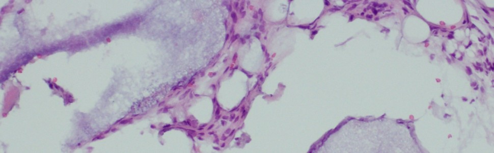
W przedimplantacyjnej chirurgii regeneracyjnej wyrostków zębodołowych szeroko stosowana metoda odtwórcza kości wyrostka w odcinku bocznym szczęk to podniesienie dna zatoki szczękowej i wprowadzenie materiału kościozastępczego pomiędzy błonę śluzową zatoki a kość wyrostka zębodołowego. Bardzo często jest to zabieg z wyboru w przypadku znacznych zaników kostnych w wymiarze pionowym i „nisko schodzącego” zachyłka zębodołowego zatoki szczękowej. Obecnie stosuje się ogromne spektrum zabiegów podnoszenia zatoki zarówno z dostępu od strony przedniej ściany szczęki, jak i z dostępu od strony szczytu wyrostka zębodołowego. Zabiegi wykonywane z dostępu od strony przedniej ściany zatoki szczękowej dają dobry wgląd w pole operacyjne i kontrolę nad preparacją błony śluzowej, jednakże są bardziej inwazyjne i mogą powodować więcej trudności technicznych, co wymaga większego doświadczenia operacyjnego chirurga. Dostęp od strony szczytu wyrostka jest mniej inwazyjny i prostszy w wykonaniu, jednakże żadna z takich metod nie zapewnia stuprocentowej kontroli i bezpieczeństwa zabiegu, co może powodować nieumyślne powikłania jatrogenne. Wobec ogólnych tendencji do minimalizowania ingerencji chirurgii w organizm człowieka poszukuje się takich technik i materiałów, które mogłyby sprostać oczekiwaniom pacjentów i lekarzy, a jednocześnie zapewnić jak największe bezpieczeństwo zabiegu i długotrwałą efektywność kliniczną. Dlatego autorzy chcieliby zaprezentować przypadek zastosowania cementu regeneracyjnego w odtworzeniu deficytu wyrostka zębodołowego szczęki z wykorzystaniem nowatorskiej i bardzo bezpiecznej techniki Baranesa-Yahava podnoszenia błony śluzowej zatoki szczękowej z dostępu przez szczyt wyrostka zębodołowego.

Piśmiennictwo:
 
  1. Yahav A, Kurtzman GM, Katzap M i wsp. Bone regeneration: Properties and clinical applications of biphasic calcium sulfate. Dent Clin North Am. 2020; 64(2): 453-472.
  2. Baranes D, Kurtzman GM, Horowitz RA. Increasing lateral ridge width for implant placement using calcium sulphate bone cement technique. Compend Contin Educ Dent. 2022; 43(4): E1-E4.
  3. Dudek D, Reichmann-Warmusz E, Kurtzman GM i wsp. The use of grafting material biphasic calcium sulfate for the treatment of osseous defects resulting from radicular cysts: Clinical study and six-month follow up. J Osteointegration. 2020; 12(4): 716-721.
  4. Machtei EE, Mayer Y, Horowitz J i wsp. Prospective randomized controlled clinical trial to compare hard tissue changes following socket preservation using alloplasts, xenografts vs no grafting: Clinical and histological findings. Clin Implant Dent Relat Res. 2019; 21(1): 14-20.
  5. Dressman H. Ueber Knochenplombierung bei Hohlenformigen Defekten des Knochens. Beitr Klin Chir. 1892; 9: 804-810.
  6. Baranes D, Kurtzman GM. Biphasic calcium sulfate as an alternative grafting material in various dental applications. J Oral Implantol. 2019; 45(3): 247-255.
  7. Laino L, Troiano G, Giannatempo G i wsp. Sinus lift augmentation by using calcium sulphate: A retrospective 12 months radiographic evaluation over 25 treated Italian patients. Open Dent J. 2015; 9: 414-419.
  8. Baranes D, Kurtzman GM. Use of a biphasic calcium sulphate graft to treat posterior maxillary atrophies by avoiding a lateral sinus approach. Med Res Arch. 2023; 11(2).
  9. Ferreira JC, Kurtzman GM. Minimal invasive horizontal ridge augmentation with Calcium Sulfate bone cement: A case series. Med Res Arch. 2023; 11(10): 1-23.