Postępowanie w utracie żywotności miazgi w zębach stałych niedojrzałych siecznych po urazie – opis dwóch przypadków

Postępowanie w utracie żywotności miazgi w zębach stałych niedojrzałych siecznych po urazie – opis dwóch przypadków
Opublikowano dnia : 20.02.2025

Dostęp do tego artykułu jest płatny.
Zapraszamy do zakupu!

Cena: 24.00 PLN (z VAT)

Po dokonaniu zakupu artykuł w postaci pliku PDF prześlemy bezpośrednio pod twój adres e-mail.

Kup artykuł
STUDIA PRZYPADKÓW
Postępowanie w utracie żywotności miazgi w zębach stałych niedojrzałych siecznych po urazie – opis dwóch przypadków.
Patrycja Proc
Praca recenzowana
Management of loss of pulp vitality in permanent immature incisors after trauma – report of two cases
Streszczenie
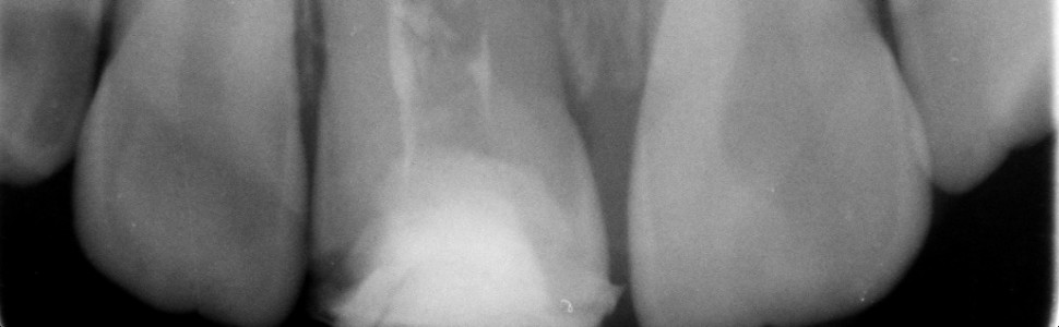
Leczenie endodontyczne zębów stałych niedojrzałych różni się od standardowego leczenia zębów z zakończonym rozwojem. Potrzeba leczenia endodontycznego młodych zębów często wynika z powikłań urazów zębowych u dzieci. Opis przypadków: W pracy opisano dwa przypadki pacjentów w wieku rozwojowym po urazie zębów stałych przednich, którzy zostali skierowani do Zakładu Stomatologii Wieku Rozwojowego (ZSWR) w Łodzi celem pogłębienia diagnostyki żywotności miazgi przy użyciu laserowego Dopplera Laser Doppler Flowmetry (PeriFlux, Szwecja). U pacjentki L.J., lat 6, doszło do złamania korony zęba 11 – rozwój korzenia tego zęba był na wczesnym etapie („F” wg Demirijana). Przez kolejne 2 lata obserwowano zamykanie się wierzchołków korzeni zębów siecznych, wykonywano też badania przepływu naczyniowego miazgi – LDF. Jednak po 2 latach, już po zakończeniu się rozwoju korzenia, u pacjentki wystąpiły objawy bólowe zęba 11. Stwierdzono obumarcie miazgi i wykonano standardowe leczenie endodontyczne. U pacjenta F.M., lat 10, doszło do złamania korony zęba 11 z obnażeniem miazgi. Stwierdzono niezakończony rozwój korzenia (faza przedostatnia „G” wg Demirijana). U pacjenta wykonano amputację częściową miazgi. Początkowo ząb reagował na bodźce zimna, ale przepływ naczyniowy miazgi był obniżony, a po 9 miesiącach wystąpiły objawy bólowe. Po usunięciu martwej miazgi część wierzchołkową kanału wypełniono MTA, a część środkową i koronową płynną gutaperką(Gutta Flow, Roeko). Wnioski: Stan miazgi zębów po urazie u pacjentów w wieku rozwojowym wymaga długotrwałej obserwacji. Wybór metody leczenia jest uzależniony od indywidualnego stanu klinicznego zęba oraz wieku pacjenta.
 
Hasła indeksowe: zęby stałe niedojrzałe, uraz zębowy, badanie żywotności miazgi, leczenie endodontyczne
Key words: permanent immature teeth, dental trauma, pulp vitality tests, root canal treatment

Piśmiennictwo

  1. Olczak-Kowalczyk D, Turska-Szybka A, Studnicki M i wsp. Prevalence, etiology, and types of dental trauma in self-assessment of 18-year-olds in Poland. Int J Environ Res Public Health. 2022; 19(19): 12924.
  2. Burczyński B, Przybylska A, Orlińska B i wsp. Częstość występowania urazów zębów wśród dzieci zgłaszających się do Zakładu Stomatologii Wieku Rozwojowego Uniwersytetu Medycznego w Łodzi. Nowa Stomatol. 2015; 20(3): 98-104.
  3. Wieczorek P, Rudzki M, Drohomyretska M i wsp. Research methodology, description of action and the application of Laser Doppler flowmeter to dentistry. J Stoma. 2015; 68(4): 456-467.
  4. Fang L, Wan Z, Forbes A i wsp. Vectorial Doppler metrology. Nat Commun. 2021; 12(1): 4186.
  5. Balevi Cold pulp testing is the simplest and most accurate of all dental pulp sensibility tests. Evid Based Dent. 2019; 20(1): 22-23.
  6. Bourguignon C, Cohenca N, Lauridsen E i wsp. International Association of Dental Traumatology guidelines for the management of traumatic dental injuries: 1. Fractures and luxations. Dent Traumatol. 2020; 36(4): 314-330.
  7. Levin L, Day PF, Hicks L i wsp. International Association of Dental Traumatology guidelines for the management of traumatic dental injuries: General introduction. Dent Traumatol. 2020; 36(4): 309-313.
  8. Molaasadolah F, Zargar N, Bargrizan M i wsp. Comparison of pulse oximeter, cold test, and electric pulp test for assessment of pulp vitality in permanent immature teeth. Folia Med (Plovdiv). 2022; 64(1): 134-142.
  9. Spinas E, Deias M, Mameli A i wsp. Pulp canal obliteration after extrusive and lateral luxation in young permanent teeth: A scoping review. Eur J Paediatr Dent. 2021; 22(1): 55-60.
  10. Connert T, Weiger R, Krastl G. Present status and future directions – Guided endodontics. Int Endod J. 2022; 55(Suppl 4): 995-1002.