Leczenie endodontyczne czterokanałowego pierwszego zęba trzonowego żuchwy

Leczenie endodontyczne czterokanałowego pierwszego zęba trzonowego żuchwy
Opublikowano dnia : 09.12.2024

Dostęp do tego artykułu jest płatny.
Zapraszamy do zakupu!

Cena: 24.00 PLN (z VAT)

Po dokonaniu zakupu artykuł w postaci pliku PDF prześlemy bezpośrednio pod twój adres e-mail.

Kup artykuł

OPIS PRZYPADKU

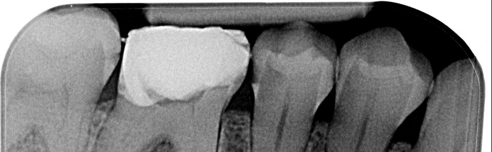
Leczenie endodontyczne czterokanałowego pierwszego zęba trzonowego żuchwy.

Endodontic treatment of a four-canal mandibular first molar.

Kamila Bucka

Praca recenzowana
Streszczenie
W pracy przedstawiono leczenie endodontyczne zęba 46 z przewlekłym ropnym zapaleniem tkanek okołowierzchołkowych skupiając się na istotnych etapach, takich jak opracowanie kanałów, dezynfekcja z użyciem ultradźwięków i dokładna obturacja. Podkreślono wagę skutecznego płukania kanałów jako czynnika kluczowego dla uzyskania pozytywnych rezultatów w leczeniu endodontycznym.
Abstract
The article presents endodontic treatment of tooth 46 with chronic purulent inflammation of the periapical tissues, focusing on important stages such as canal preparation, disinfection using ultrasound, and precise obturation. The importance of effective canal rinsing was emphasized as a crucial factor for achieving positive outcomes in endodontic treatment.
Hasła indeksowe: leczenie kanałowe, przewlekłe ropne zapalenie tkanek okołowierzchołkowych, ultradźwięki, irygacja kanałów
Key words: root canal treatment, chronic periapical inflammation, ultrasound, canal irrigation