Wieloseansowe leczenie endodontyczne

Wieloseansowe leczenie endodontyczne

Dostęp do tego artykułu jest płatny.
Zapraszamy do zakupu!

Cena: 24.00 PLN (z VAT)

Po dokonaniu zakupu artykuł w postaci pliku PDF prześlemy bezpośrednio pod twój adres e-mail.

Kup artykuł
MS 2024; 7-8: 26-32.

STUDIA PRZYPADKÓW
Wieloseansowe leczenie endodontyczne – opis dwóch przypadków

Multi-seance endodontic treatment – a report of two cases

Martyna Bach-Jackowska, Lidia Buda

Streszczenie
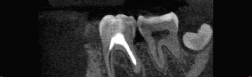
Współcześnie uważa się, że leczenie endodontyczne w przeważającej liczbie przypadków należy przeprowadzić metodą jednoseansową. Praca z mikroskopem, aktywacja płynów płuczących ultradźwiękami, użycie lasera czy szeroka oferta narzędzi endodontycznych i systemów usprawniają i skracają leczenie. Istnieją jednak sytuacje niezależne od operatora, kiedy zarówno stan miejscowy, np. nieuzyskanie suchości w kanale, jak i inne schorzenia pacjenta w postaci dysfunkcji stawów skroniowo-żuchwowych czy odcinka szyjnego kręgosłupa, wymuszają zastosowanie leczenia dwu- lub wieloseansowego. W niniejszej pracy przedstawiono opis dwóch przypadków wieloseansowego powtórnego leczenia endodontycznego.

Abstract
Nowadays, it is believed that in most cases endodontic treatment should be performed in a single session. Working with a microscope, activation of rinsing fluids with ultrasound, the use of a laser, and a wide range of endodontic tools and systems improve and shorten the treatment. However, there are situations beyond the operator’s control when both the local condition, e.g. failure to achieve dryness in the canal, and other patient’s diseases such as dysfunction of the temporomandibular joints or cervical spine require the use of two- or multi-session treatment. This study describes two cases of multi-session endodontic retreatment.

Hasła indeksowe: powtórne leczenie endodontyczne, leczenie wieloseansowe, CBCT, MTA

Key words: endodontic retreatment, multi-seance treatment, CBCT, MTA

Piśmiennictwo

 

  1. Eichenberger M, Biner N, Amato M i wsp. Effect of Magnification on the Precision of Tooth Preparation in Dentistry. Oper Dent. 2018; 43(5): 501-507.
  2. Siqueira Junior JF, das Neves Rôças I, Marceliano-Alves MF i wsp. Unprepared root canal surface areas: causes, clinical implications, and therapeutic strategies. Braz Oral Res. 2018; 32(suppl 1): e65.
  3. Saatchi M, Shokraneh A, Navaei H i wsp. Antibacterial effect of calcium hydroxide combined with chlorhexidine on Enterococcus faecalis: a systematic review and meta-analysis. J Appl Oral Sci. 2014; 22(5): 356-365.
  4. Patel S, Brown J, Pimentel T i wsp. Cone beam computed tomography in Endodontics – a review of the literature. Int Endod J. 2019; 52(8): 1138-1152.
  5. Dong X, Xu X. Bioceramics in Endodontics: Updates and Future Perspectives. Bioengineering (Basel). 2023; 10(3): 354.
  6. Asgary S, Ehsani S. MTA resorption and periradicular healing in an open-apex incisor: A case report. Saudi Dent J. 2012; 24(1): 55-59.
  7. Torabinejad M, Moazzami SM, Moaddel H i wsp. Effect of MTA particle size on periapical healing. Int Endod J. 2017; 50 Suppl 2: e3-e8.
  8. Quaresma SA, Pereira da Costa R, Batalha B i wsp. Management of periapical lesion with persistent exsudate. Braz Dent J. 2022; 33(1): 112-118.
  9. Bassam S, El-Ahmar R, Salloum S i wsp. Endodontic postoperative flare-up: An update. Saudi Dent J. 2021; 33(7): 386-394.
  10. Gauer RL, Semidey MJ. Diagnosis and treatment of temporomandibular disorders. Am Fam Physician. 2015; 91(6): 378-386.
  11. Walczyńska-Dragon K, Baron S, Nitecka-Buchta A i wsp. Correlation between TMD and cervical spine pain and mobility: is the whole body balance TMJ related? Biomed Res Int. 2014; 2014: 582414.
  12. Santos-Junior AO, De Castro Pinto L, Mateo-Castillo JF, Pinheiro CR. Success or failure of endodontic treatments: A retrospective study. J Conserv Dent. 2019 Mar-Apr;22(2):129-132.
  13. Manfredi M, Figini L, Gagliani M i wsp. Single versus multiple visits for endodontic treatment of permanent teeth. Cochrane Database Syst Rev. 2016; 12(12): CD005296.